Suppr超能文献

NADPH 氧化酶-2 在纹状体兴奋毒性损伤继发炎症反应进展中的作用。

Role of NADPH oxidase-2 in the progression of the inflammatory response secondary to striatum excitotoxic damage.

机构信息

Instituto de Fisiología Celular, División de Neurociencias, Universidad Nacional Autónoma de México (UNAM), Apartado Postal 70-253, 04510, Ciudad de México, Mexico.

出版信息

J Neuroinflammation. 2019 Apr 17;16(1):91. doi: 10.1186/s12974-019-1478-4.

Abstract

BACKGROUND

During excitotoxic damage, neuronal death results from the increase in intracellular calcium, the induction of oxidative stress, and a subsequent inflammatory response. NADPH oxidases (NOX) are relevant sources of reactive oxygen species (ROS) during excitotoxic damage. NADPH oxidase-2 (NOX-2) has been particularly related to neuronal damage and death, as well as to the resolution of the subsequent inflammatory response. As ROS are crucial components of the regulation of inflammatory response, in this work, we evaluated the role of NOX-2 in the progression of inflammation resulting from glutamate-induced excitotoxic damage of the striatum in an in vivo model.

METHODS

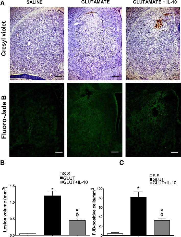
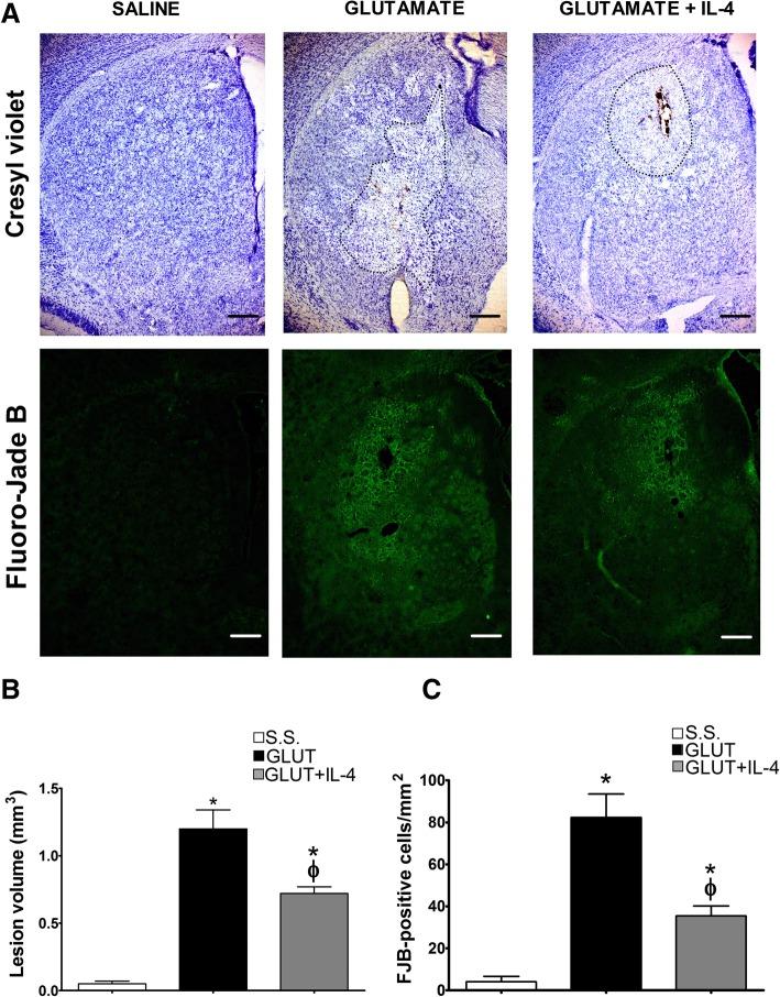
The striata of wild-type C57BL/6 J and NOX-2 KO mice (gp91) were stereotactically injected with monosodium glutamate either alone or in combination with IL-4 or IL-10. The damage was evaluated in histological sections stained with cresyl violet and Fluoro-Jade B. The enzymatic activity of caspase-3 and NOX were also measured. Additionally, the cytokine profile was identified by ELISA and motor activity was verified by the tests of the cylinder, the adhesive tape removal, and the inverted grid.

RESULTS

Our results show a neuroprotective effect in mice with a genetic inhibition of NOX-2, which is partially due to a differential response to excitotoxic damage, characterized by the production of anti-inflammatory cytokines. In NOX-2 KO animals, the excitotoxic condition increased the production of interleukin-4, which could contribute to the production of interleukin-10 that decreased neuronal apoptotic death and the magnitude of striatal injury. Treatment with interleukin-4 and interleukin-10 protected from excitotoxic damage in wild-type animals.

CONCLUSIONS

The release of proinflammatory cytokines during the excitotoxic event promotes an additional apoptotic death of neurons that survived the initial damage. During the subsequent inflammatory response to excitotoxic damage, ROS generated by NOX-2 play a decisive role in the extension of the lesion and consequently in the severity of the functional compromise, probably by regulating the anti-inflammatory cytokines production.

摘要

背景

在兴奋毒性损伤过程中,神经元死亡是由于细胞内钙离子增加、氧化应激诱导和随后的炎症反应引起的。NADPH 氧化酶(NOX)是兴奋毒性损伤过程中活性氧(ROS)的相关来源。NADPH 氧化酶-2(NOX-2)与神经元损伤和死亡以及随后炎症反应的解决特别相关。由于 ROS 是炎症反应调节的关键组成部分,因此在这项工作中,我们评估了 NOX-2 在谷氨酸诱导的纹状体兴奋毒性损伤引起的体内模型中的炎症进展中的作用。

方法

野生型 C57BL/6J 和 NOX-2 KO 小鼠(gp91)的纹状体通过立体定向注射单谷氨酸盐,单独或与 IL-4 或 IL-10 联合注射。用 cresyl violet 和 Fluoro-Jade B 染色的组织切片评估损伤。还测量了 caspase-3 和 NOX 的酶活性。此外,通过 ELISA 鉴定细胞因子谱,并通过圆筒、胶带去除和倒置网格测试验证运动活动。

结果

我们的结果显示,NOX-2 基因抑制的小鼠具有神经保护作用,这部分是由于对兴奋毒性损伤的反应不同,其特征是产生抗炎细胞因子。在 NOX-2 KO 动物中,兴奋毒性条件增加了白细胞介素-4 的产生,这可能有助于白细胞介素-10 的产生,从而减少神经元凋亡死亡和纹状体损伤的程度。白细胞介素-4 和白细胞介素-10 的治疗可防止野生型动物的兴奋毒性损伤。

结论

在兴奋毒性事件中释放的促炎细胞因子促进了幸存于初始损伤的神经元的额外凋亡死亡。在随后的兴奋毒性损伤炎症反应中,NOX-2 产生的 ROS 在损伤的扩展中起决定性作用,因此在功能障碍的严重程度中起决定性作用,可能通过调节抗炎细胞因子的产生。

https://cdn.ncbi.nlm.nih.gov/pmc/blobs/85d1/6471795/feb803050fa4/12974_2019_1478_Fig1_HTML.jpg

文献AI研究员

20分钟写一篇综述,助力文献阅读效率提升50倍。

立即体验

用中文搜PubMed

大模型驱动的PubMed中文搜索引擎

马上搜索

文档翻译

学术文献翻译模型,支持多种主流文档格式。

立即体验