Suppr超能文献

PCC7942 通过分泌细胞外囊泡促进血管生成来加速皮肤伤口愈合。

PCC7942 secretes extracellular vesicles to accelerate cutaneous wound healing by promoting angiogenesis.

机构信息

Department of Orthopedics, Xiangya Hospital, Central South University, Changsha, Hunan 410008, China.

Movement System Injury and Repair Research Center, Xiangya Hospital, Central South University, Changsha, Hunan 410008, China.

出版信息

Theranostics. 2019 Apr 13;9(9):2678-2693. doi: 10.7150/thno.31884. eCollection 2019.

Abstract

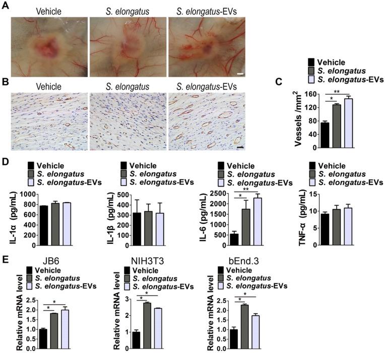
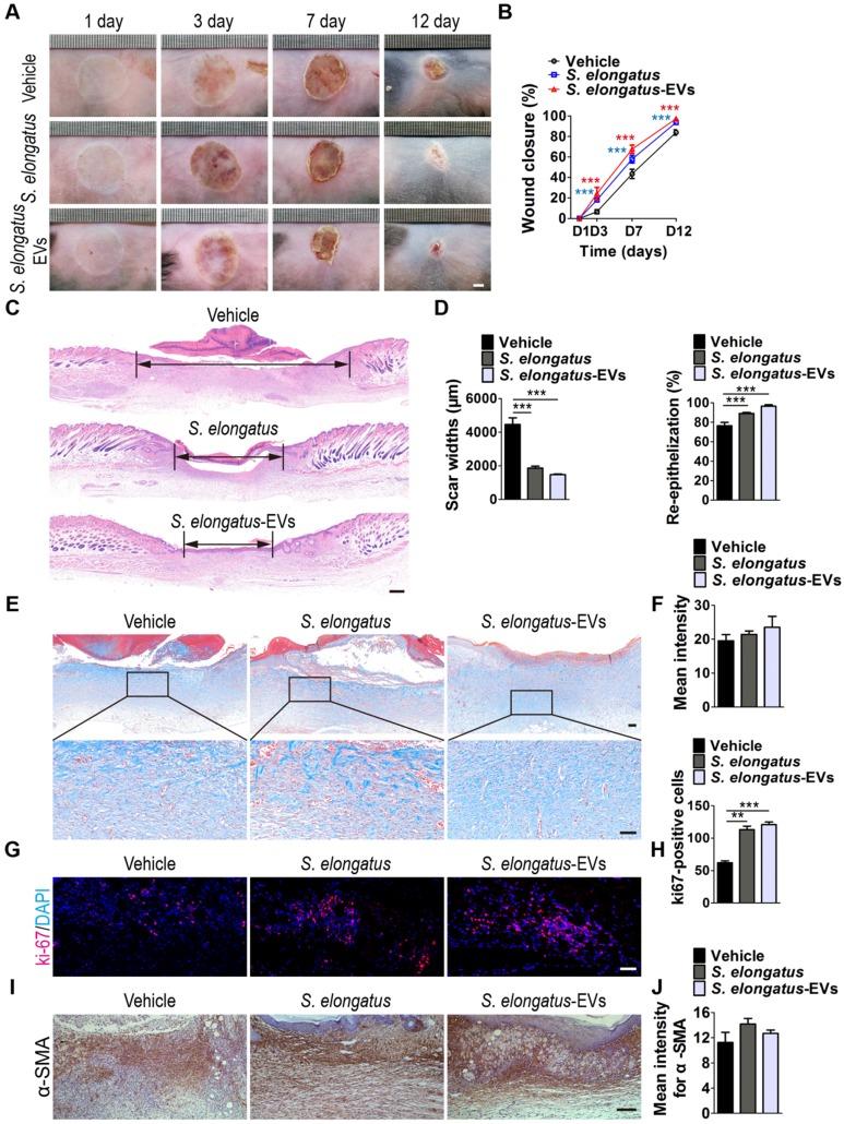
Poor wound healing affects millions of people worldwide each year and needs better therapeutic strategies. PCC 7942 is a naturally occurring photoautotrophic cyanobacterium that can be easily obtained and large-scale expanded. Here, we investigated the therapeutic efficacy of this cyanobacterium in a mouse model of acute burn injury and whether the secretion of extracellular vesicles (EVs), important mediators of cell paracrine activity, is a key mechanism of the cyanobacterium-induced regulation of wound healing. : The effects of PCC 7942 on burn wound healing in mice under light or dark conditions were evaluated by measuring wound closure rates, histological and immunofluorescence analyses. A series of assays and were conducted to assess the impact of the cyanobacterium on angiogenesis. GW4869 was used to interfere with the secretion of EVs by the cyanobacterium and the abilities of the GW4869-pretreated and untreated PCC 7942 to regulate endothelial angiogenesis were compared. The direct effects of the cyanobacterium-derived EVs (-EVs) on angiogenesis, wound healing and expressions of a class of pro-inflammatory factors that have regulatory roles in wound healing were also examined. : PCC 7942 treatment under light and dark conditions both significantly promoted angiogenesis and burn wound repair in mice. , the cyanobacterium enhanced angiogenic activities of endothelial cells, but the effects were markedly blocked by GW4869 pretreatment. -EVs were capable of augmenting endothelial angiogenesis , and stimulating new blood vessel formation and burn wound healing in mice. The expression of interleukin 6 (IL-6), which has an essential role in angiogenesis during skin wound repair, was induced in wound tissues and wound healing-related cells by -EVs and PCC 7942. : PCC 7942 has the potential as a promising strategy for therapeutic angiogenesis and wound healing primarily by the delivery of functional EVs, not by its photosynthetic activity. The promotion of IL-6 expression may be a mechanism of the cyanobacterium and its EVs-induced pro-angiogenic and -wound healing effects.

摘要

伤口愈合不良影响着全球每年数以百万计的人群,因此需要更好的治疗策略。PCC 7942 是一种天然存在的光自养蓝藻,可以很容易地获得和大规模扩展。在这里,我们研究了这种蓝藻在急性烧伤小鼠模型中的治疗效果,以及细胞旁分泌活动的重要介质——细胞外囊泡(EVs)的分泌是否是蓝藻诱导调节伤口愈合的关键机制。

通过测量伤口闭合率、组织学和免疫荧光分析,评估了 PCC 7942 在光照和黑暗条件下对小鼠烧伤伤口愈合的影响。进行了一系列实验来评估蓝藻对血管生成的影响。使用 GW4869 干扰蓝藻 EVs 的分泌,并比较未经 GW4869 预处理和未经预处理的 PCC 7942 调节内皮血管生成的能力。还研究了蓝藻衍生的 EVs(-EVs)对血管生成、伤口愈合和一类在伤口愈合中具有调节作用的促炎因子表达的直接影响。

结果表明,光照和黑暗条件下的 PCC 7942 治疗均显著促进了小鼠的血管生成和烧伤伤口修复。此外,蓝藻增强了内皮细胞的血管生成活性,但 GW4869 预处理明显阻断了这些作用。-EVs 能够增强内皮血管生成,并刺激新血管形成和小鼠烧伤伤口愈合。IL-6 的表达在皮肤伤口修复过程中的血管生成中起关键作用,-EVs 和 PCC 7942 诱导伤口组织和伤口愈合相关细胞中 IL-6 的表达。

因此,PCC 7942 具有作为一种有前途的治疗性血管生成和伤口愈合策略的潜力,主要是通过功能性 EVs 的传递,而不是通过其光合作用。促进 IL-6 表达可能是蓝藻及其 EVs 诱导的促血管生成和伤口愈合作用的机制。

https://cdn.ncbi.nlm.nih.gov/pmc/blobs/cd7f/6525994/25dddc972099/thnov09p2678g001.jpg

文献AI研究员

20分钟写一篇综述,助力文献阅读效率提升50倍。

立即体验

用中文搜PubMed

大模型驱动的PubMed中文搜索引擎

马上搜索

文档翻译

学术文献翻译模型,支持多种主流文档格式。

立即体验