Suppr超能文献

端粒外 DNA 甲基化对 TERRA 表达的抑制依赖于 NRF1 结合。

Repression of TERRA Expression by Subtelomeric DNA Methylation Is Dependent on NRF1 Binding.

机构信息

Structure et Instabilité des Génomes, Muséum National d'Histoire Naturelle, CNRS UMR 7196, INSERM U1154, 43 rue Cuvier, F-75005 Paris, France.

出版信息

Int J Mol Sci. 2019 Jun 7;20(11):2791. doi: 10.3390/ijms20112791.

Abstract

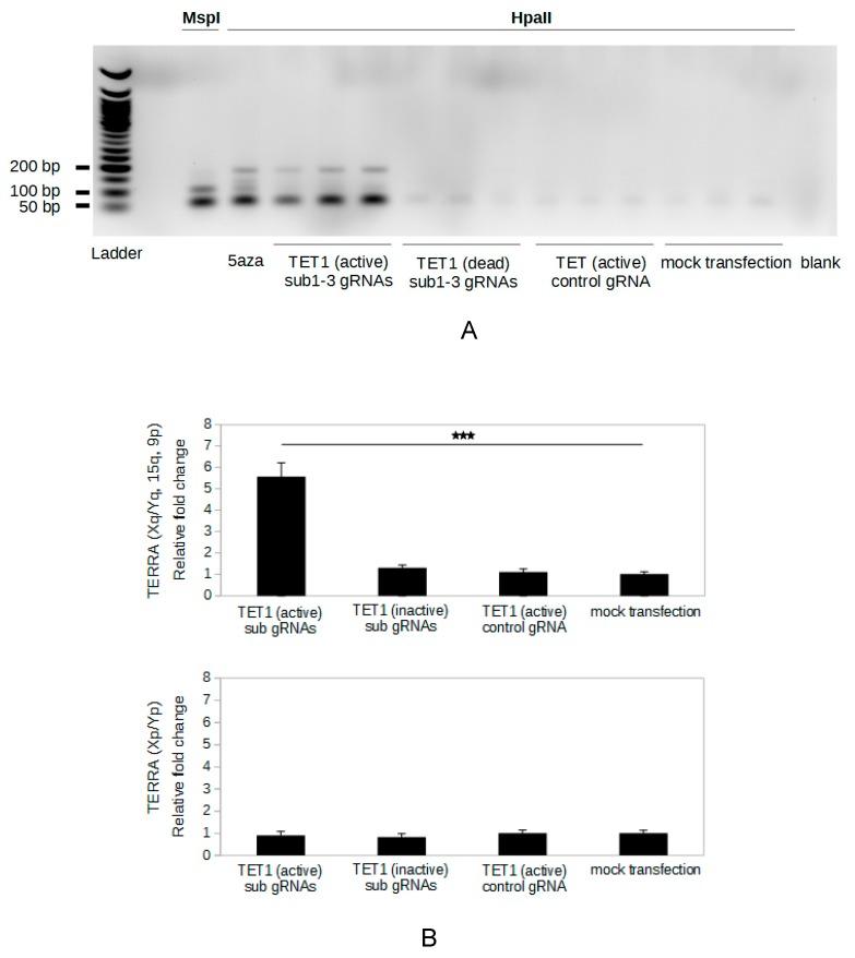
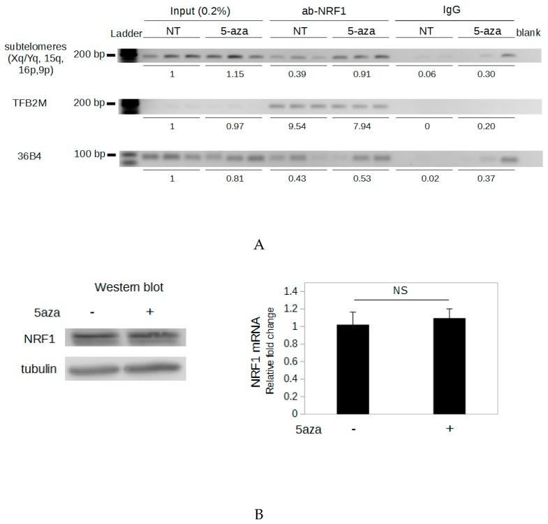
Chromosome ends are transcribed into long noncoding telomeric repeat-containing RNA (TERRA) from subtelomeric promoters. A class of TERRA promoters are associated with CpG islands embedded in repetitive DNA tracts. Cytosines in these subtelomeric CpG islands are frequently methylated in telomerase-positive cancer cells, and demethylation induced by depletion of DNA methyltransferases is associated with increased TERRA levels. However, the direct evidence and the underlying mechanism regulating TERRA expression through subtelomeric CpG islands methylation are still to establish. To analyze TERRA regulation by subtelomeric DNA methylation in human cell line (HeLa), we used an epigenetic engineering tool based on CRISPR-dCas9 (clustered regularly interspaced short palindromic repeats - dead CRISPR associated protein 9) associated with TET1 (ten-eleven 1 hydroxylase) to specifically demethylate subtelomeric CpG islands. This targeted demethylation caused an up-regulation of TERRA, and the enhanced TERRA production depended on the methyl-sensitive transcription factor NRF1 (nuclear respiratory factor 1). Since AMPK (AMP-activated protein kinase) is a well-known activator of NRF1, we treated cells with an AMPK inhibitor (compound C). Surprisingly, compound C treatment increased TERRA levels but did not inhibit AMPK activity in these experimental conditions. Altogether, our results provide new insight in the fine-tuning of TERRA at specific subtelomeric promoters and could allow identifying new regulators of TERRA.

摘要

端粒末端从端粒启动子转录成长链非编码端粒重复 RNA(TERRA)。一类 TERRA 启动子与重复 DNA 片段中嵌入的 CpG 岛相关。这些端粒 CpG 岛中的胞嘧啶在端粒酶阳性癌细胞中经常被甲基化,而 DNA 甲基转移酶耗竭诱导的去甲基化与 TERRA 水平的增加有关。然而,通过端粒重复 DNA 甲基化调节 TERRA 表达的直接证据和潜在机制仍有待建立。为了分析人细胞系(HeLa)中端粒 DNA 甲基化对 TERRA 的调节,我们使用了一种基于 CRISPR-dCas9(成簇规律间隔短回文重复 - 死亡 CRISPR 相关蛋白 9)与 TET1(十 - 十一羟化酶)的表观遗传工程工具,特异性地去甲基化端粒 CpG 岛。这种靶向去甲基化导致 TERRA 的上调,增强的 TERRA 产生依赖于甲基敏感转录因子 NRF1(核呼吸因子 1)。由于 AMPK(AMP 激活的蛋白激酶)是 NRF1 的已知激活剂,我们用 AMPK 抑制剂(化合物 C)处理细胞。令人惊讶的是,在这些实验条件下,化合物 C 处理虽然增加了 TERRA 水平,但并没有抑制 AMPK 活性。总之,我们的研究结果为特定端粒启动子处 TERRA 的精细调控提供了新的见解,并可能有助于鉴定 TERRA 的新调节剂。

https://cdn.ncbi.nlm.nih.gov/pmc/blobs/3f7e/6600276/615941fb6979/ijms-20-02791-g001a.jpg

文献AI研究员

20分钟写一篇综述,助力文献阅读效率提升50倍。

立即体验

用中文搜PubMed

大模型驱动的PubMed中文搜索引擎

马上搜索

文档翻译

学术文献翻译模型,支持多种主流文档格式。

立即体验