Suppr超能文献

抗疟药物阿莫地喹通过核糖体生物合成应激使p53稳定,与其自噬抑制活性无关。

The antimalarial drug amodiaquine stabilizes p53 through ribosome biogenesis stress, independently of its autophagy-inhibitory activity.

作者信息

Espinoza Jaime A, Zisi Asimina, Kanellis Dimitris C, Carreras-Puigvert Jordi, Henriksson Martin, Hühn Daniela, Watanabe Kenji, Helleday Thomas, Lindström Mikael S, Bartek Jiri

机构信息

Science for Life Laboratory, Division of Genome Biology, Department of Medical Biochemistry and Biophysics, Karolinska Institutet, S-171 21, Stockholm, Sweden.

Science for Life Laboratory, Department of Oncology-Pathology, Karolinska Institutet, S-171 76, Stockholm, Sweden.

出版信息

Cell Death Differ. 2020 Feb;27(2):773-789. doi: 10.1038/s41418-019-0387-5. Epub 2019 Jul 8.

Abstract

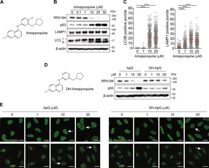
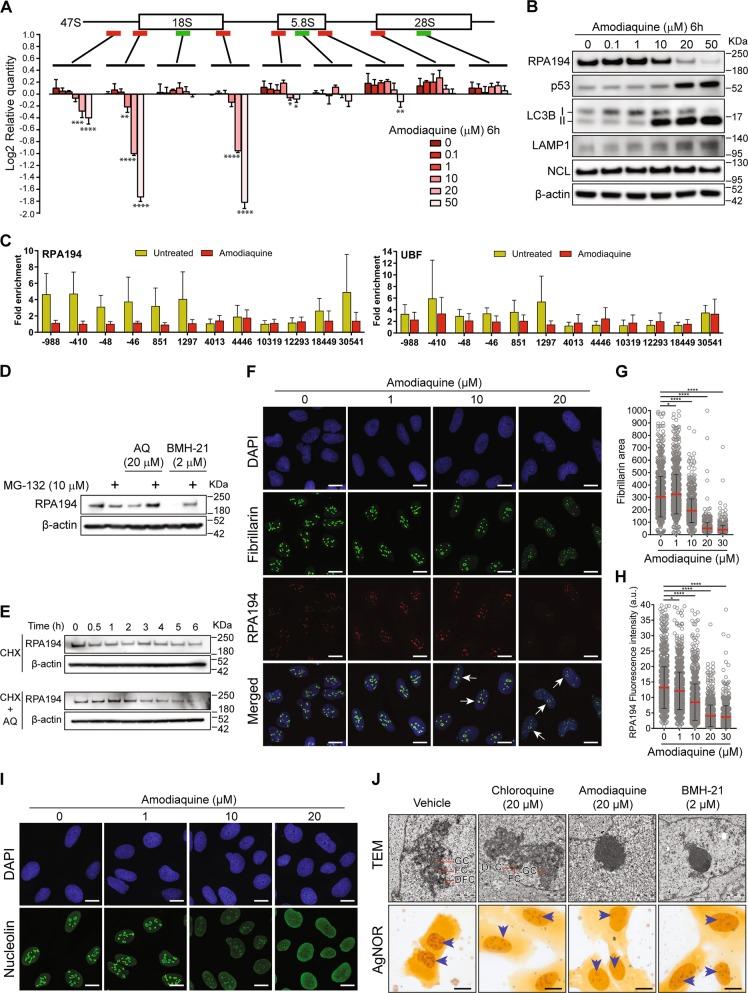
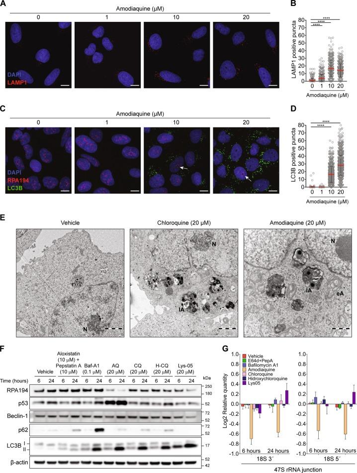
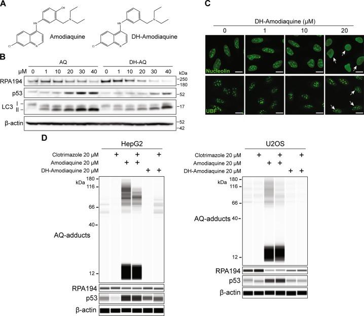
Pharmacological inhibition of ribosome biogenesis is a promising avenue for cancer therapy. Herein, we report a novel activity of the FDA-approved antimalarial drug amodiaquine which inhibits rRNA transcription, a rate-limiting step for ribosome biogenesis, in a dose-dependent manner. Amodiaquine triggers degradation of the catalytic subunit of RNA polymerase I (Pol I), with ensuing RPL5/RPL11-dependent stabilization of p53. Pol I shutdown occurs in the absence of DNA damage and without the subsequent ATM-dependent inhibition of rRNA transcription. RNAseq analysis revealed mechanistic similarities of amodiaquine with BMH-21, the first-in-class Pol I inhibitor, and with chloroquine, the antimalarial analog of amodiaquine, with well-established autophagy-inhibitory activity. Interestingly, autophagy inhibition caused by amodiaquine is not involved in the inhibition of rRNA transcription, suggesting two independent anticancer mechanisms. In vitro, amodiaquine is more efficient than chloroquine in restraining the proliferation of human cell lines derived from colorectal carcinomas, a cancer type with predicted susceptibility to ribosome biogenesis stress. Taken together, our data reveal an unsuspected activity of a drug approved and used in the clinics for over 30 years, and provide rationale for repurposing amodiaquine in cancer therapy.

摘要

对核糖体生物合成进行药理抑制是癌症治疗的一个有前景的途径。在此,我们报告了美国食品药品监督管理局(FDA)批准的抗疟药物阿莫地喹的一种新活性,它以剂量依赖的方式抑制核糖体生物合成的限速步骤——rRNA转录。阿莫地喹触发RNA聚合酶I(Pol I)催化亚基的降解,随后p53依赖RPL5/RPL11实现稳定。Pol I关闭发生在没有DNA损伤且没有随后ATM依赖的rRNA转录抑制的情况下。RNA测序分析揭示了阿莫地喹与一流的Pol I抑制剂BMH - 21以及与阿莫地喹的抗疟类似物氯喹在机制上的相似性,氯喹具有公认的自噬抑制活性。有趣的是,阿莫地喹引起的自噬抑制并不参与rRNA转录的抑制,这表明存在两种独立的抗癌机制。在体外,阿莫地喹在抑制源自结直肠癌的人类细胞系增殖方面比氯喹更有效,结直肠癌是一种预计对核糖体生物合成应激敏感的癌症类型。综上所述,我们的数据揭示了一种已在临床批准使用30多年的药物的意外活性,并为在癌症治疗中重新利用阿莫地喹提供了理论依据。

https://cdn.ncbi.nlm.nih.gov/pmc/blobs/e4b7/7205879/de26cb4226f3/41418_2019_387_Fig1_HTML.jpg

文献AI研究员

20分钟写一篇综述,助力文献阅读效率提升50倍。

立即体验

用中文搜PubMed

大模型驱动的PubMed中文搜索引擎

马上搜索

文档翻译

学术文献翻译模型,支持多种主流文档格式。

立即体验