Suppr超能文献

尼克罗米胺通过抑制白细胞介素 6/STAT3 信号通路逆转脂肪细胞诱导的乳腺癌细胞上皮-间充质转化。

Niclosamide reverses adipocyte induced epithelial-mesenchymal transition in breast cancer cells via suppression of the interleukin-6/STAT3 signalling axis.

机构信息

College of Pharmacy, Yonsei Institute of Pharmaceutical Sciences, Yonsei University, Incheon, Republic of Korea.

College of Pharmacy and Research Institute of Pharmaceutical Sciences, Seoul National University, Seoul, Republic of Korea.

出版信息

Sci Rep. 2019 Aug 5;9(1):11336. doi: 10.1038/s41598-019-47707-2.

Abstract

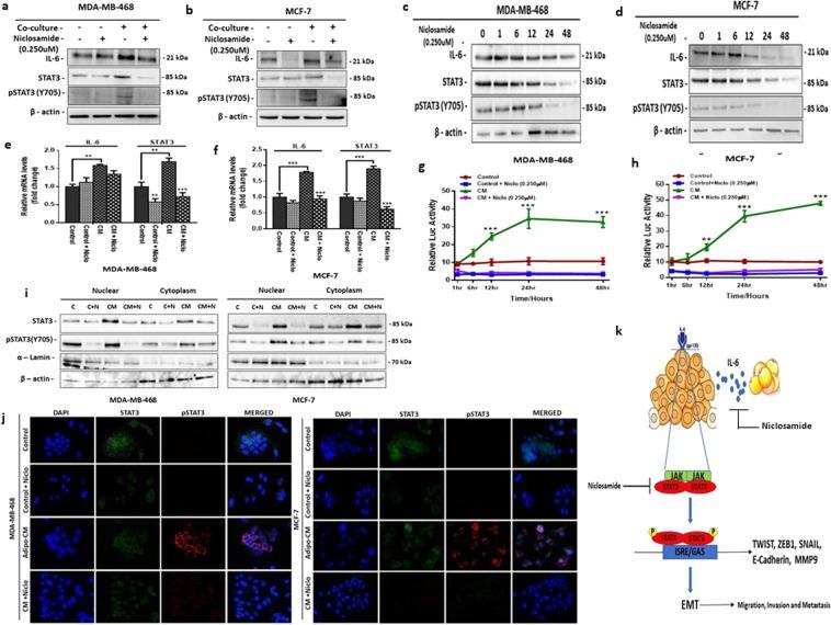
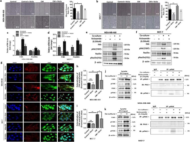
The microenvironment of breast cancer comprises predominantly of adipocytes. Adipocytes drive cancer progression through the secretion adipocytokines. Adipocytes induce epithelial mesenchymal transition of breast cancer cells through paracrine IL-6/Stat3 signalling. Treatment approaches that can target adipocytes in the microenvironment and abrogate paracrine signals that drive breast cancer growth and metastasis are urgently needed. Repositioning of old drugs has become an effective approach for discovering new cancer drugs. In this study, niclosamide, an FDA approved anthelminthic drug was evaluated for its anti-breast cancer activity and its ability to inhibit adipocytes induced EMT. Niclosamide potently inhibited proliferation, migration and invasion at low concentration and induced significant apoptosis at high concentrations in human breast cancer cell lines MDA-MB-468 and MCF-7. Additionally, niclosamide reversed adipocyte-induced EMT with a correlated inhibition of IL-6/Stat3 activation and downregulation of EMT-TFs TWIST and SNAIL. Moreover, niclosamide markedly impaired MDA-MB-468 and MCF-7 migration and invasion. We further found that the inhibitory effects of niclosamide on MDA-MB-468 and MCF-7 motility was closely related to destabilization of focal adhesion complex formation. With decreased co-localization of focal adhesion kinase (FAK) and phosphorylated paxillin (pPAX). Collectively, these results demonstrate that niclosamide could be used to inhibit adipocyte-induced breast cancer growth and metastasis.

摘要

乳腺癌的微环境主要由脂肪细胞组成。脂肪细胞通过分泌脂肪细胞因子来促进癌症的进展。脂肪细胞通过旁分泌 IL-6/Stat3 信号诱导乳腺癌细胞发生上皮间质转化。目前迫切需要能够靶向微环境中的脂肪细胞并阻断促进乳腺癌生长和转移的旁分泌信号的治疗方法。重新定位旧药物已成为发现新抗癌药物的有效方法。在这项研究中,评估了已获美国食品和药物管理局批准的驱虫药尼氯硝唑(niclosamide)抑制乳腺癌的活性及其抑制脂肪细胞诱导的 EMT 的能力。尼氯硝唑在低浓度下可强烈抑制人乳腺癌细胞系 MDA-MB-468 和 MCF-7 的增殖、迁移和侵袭,并在高浓度下诱导明显的细胞凋亡。此外,尼氯硝唑逆转了脂肪细胞诱导的 EMT,同时抑制了 IL-6/Stat3 的激活和 EMT-TFs TWIST 和 SNAIL 的下调。此外,尼氯硝唑显著损害了 MDA-MB-468 和 MCF-7 的迁移和侵袭。我们进一步发现,尼氯硝唑对 MDA-MB-468 和 MCF-7 运动的抑制作用与破坏粘着斑复合物的形成密切相关。粘着斑激酶(FAK)和磷酸化的桩蛋白(pPAX)的共定位减少。综上所述,这些结果表明尼氯硝唑可用于抑制脂肪细胞诱导的乳腺癌生长和转移。

https://cdn.ncbi.nlm.nih.gov/pmc/blobs/9c7c/6683291/1e884b97fb7d/41598_2019_47707_Fig1_HTML.jpg

文献AI研究员

20分钟写一篇综述,助力文献阅读效率提升50倍。

立即体验

用中文搜PubMed

大模型驱动的PubMed中文搜索引擎

马上搜索

文档翻译

学术文献翻译模型,支持多种主流文档格式。

立即体验