Suppr超能文献

开发一种简单的方法来增强多能干细胞衍生的视网膜类器官中视锥和视杆光感受器的生成。

Developing a simple method to enhance the generation of cone and rod photoreceptors in pluripotent stem cell-derived retinal organoids.

机构信息

Institute of Genetic Medicine, Newcastle University, Newcastle upon Tyne, UK.

Princess Al-Jawhara Center of Excellence in Research of Hereditary Disorders and Department of Medical Technology, Faculty of Applied Medical Sciences, King Abdulaziz University, Jeddah, Saudi Arabia.

出版信息

Stem Cells. 2020 Jan;38(1):45-51. doi: 10.1002/stem.3082. Epub 2019 Oct 31.

Abstract

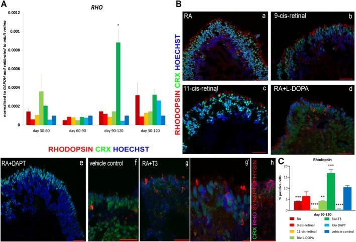
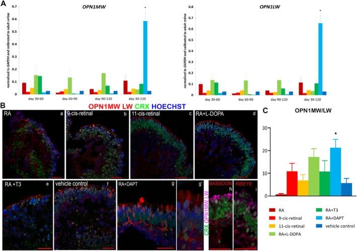
Cell replacement therapy is a promising treatment for irreversible retinal cell death in diverse diseases such as Stargardt's disease, age-related macular degeneration, and retinitis pigmentosa. The final impact of all retinal dystrophies is the loss of photoreceptors; hence, there is a pressing need for research into replacement. Seminal work has shown that a simple three-dimensional culture system enables differentiation of human pluripotent stem cells to retinal organoids containing large numbers of photoreceptors developing alongside retinal neurons and Müller glia cells in a laminated structure that resembles the native retina. Despite these promising developments, current protocols show different efficiencies across pluripotent stem cells and result in retinal organoids with a mixture of photoreceptor cells at varying maturation states, along with nonphotoreceptor cell types. In this study, we investigated the impact of stage-specific addition of retinoic acid (RA), 9-cis-retinal, 11-cis-retinal, levodopa (l-DOPA), triiodothyronine (T3), and γ-secretase inhibitor ((2S)-N-[(3,5-Difluorophenyl)acetyl]-l-alanyl-2-phenyl]glycine1,1-dimethylethyl ester2L [DAPT]) in the generation of cone and rod photoreceptors. Our results indicate that addition of RA + T3 during days 90 to 120 of differentiation enhanced the generation of rod and S-cone photoreceptor formation, while the combined addition of DAPT from days 28 to 42 with RA during days 30 to 120 of differentiation led to enhanced generation of L/M-cones at the expense of rods. l-DOPA when added together with RA during days 90 to 120 of differentiation also promoted the emergence of S-cones at the expense of rod photoreceptors. Collectively, these data represent an advance in our ability to direct generation of rod and cone photoreceptors in vitro.

摘要

细胞替代疗法是治疗多种疾病(如斯塔加特病、年龄相关性黄斑变性和色素性视网膜炎)中不可逆转的视网膜细胞死亡的一种有前途的治疗方法。所有视网膜营养不良的最终影响都是光感受器的丧失;因此,迫切需要进行替代研究。开创性的工作表明,一个简单的三维培养系统能够使人类多能干细胞分化为视网膜类器官,其中包含大量光感受器,这些光感受器与视网膜神经元和 Müller 胶质细胞一起在类似于天然视网膜的分层结构中发育。尽管这些有希望的发展,但目前的方案在不同的多能干细胞中显示出不同的效率,并导致视网膜类器官中含有不同成熟状态的光感受器细胞与非光感受器细胞类型的混合物。在这项研究中,我们研究了在特定阶段添加视黄酸 (RA)、9-顺式视黄醛、11-顺式视黄醛、左旋多巴 (l-DOPA)、三碘甲状腺原氨酸 (T3) 和 γ-分泌酶抑制剂 ((2S)-N-[(3,5-二氟苯基)乙酰基]-l-丙氨酰-2-苯基]甘氨酸 1,1-二甲基乙基酯 2L [DAPT]) 在产生视锥细胞和视杆细胞光感受器中的影响。我们的结果表明,在分化的第 90 天至 120 天期间添加 RA+T3 增强了视杆和 S-视锥光感受器的形成,而在分化的第 28 天至 42 天期间添加 DAPT 与 RA 一起,导致在视杆的代价下,L/M-视锥的生成增加。当在分化的第 90 天至 120 天期间与 RA 一起添加 l-DOPA 也促进了 S-视锥的出现,而牺牲了视杆光感受器。总的来说,这些数据代表了我们在体外指导视杆和视锥光感受器生成能力的提高。

https://cdn.ncbi.nlm.nih.gov/pmc/blobs/3831/7004057/4746e6ae71dc/STEM-38-45-g001.jpg

文献AI研究员

20分钟写一篇综述,助力文献阅读效率提升50倍。

立即体验

用中文搜PubMed

大模型驱动的PubMed中文搜索引擎

马上搜索

文档翻译

学术文献翻译模型,支持多种主流文档格式。

立即体验