Suppr超能文献

miR-146a 抑制减轻心肌梗死后大鼠心力衰竭。

Inhibition of microRNA-146a attenuated heart failure in myocardial infarction rats.

机构信息

Lianshui County People's Hospital, Huaian, China.

Department of Laboratory Medicine, The First Affiliated Hospital of Nanjing Medical University, Nanjing, China.

出版信息

Biosci Rep. 2019 Dec 20;39(12). doi: 10.1042/BSR20191732.

Abstract

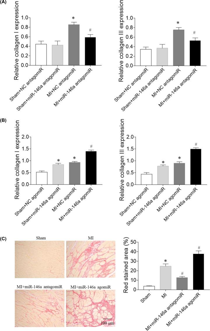
The aim of the present study was to determine the roles of microRNA (miR)-146a on myocardial infarction (MI)-induced heart failure and cardiac remodeling. Experiments were carried out in Sprague-Dawley rats treated with ligation of left coronary artery to induce heart failure, and in primary neonatal rat cardiac fibroblasts (CFs) and cardiomyocytes treated with angiotensin (Ang) II. Four weeks after MI, rats were injected with miR-146a antagomiR or agomiR via tail vein. After 2 weeks of injection, the rats were killed. In MI rats, left ventricle (LV) ejection fraction and fractional shortening were reduced, and LV volumes in diastole and systole were increased, which were reversed by miR-146a antagomiR, and further exacerbated after miR-146a agomiR treatment. Administration of miR-146a antagomiR improved the decreases of LV ±dp/dtmax and LV systolic pressure (LVSP), and the increase in LV end-diastolic pressure (LVEDP) of MI rats, but miR-146a agomiR deteriorated the LV ±dp/dtmax, LVSP and LVEDP. The increases in the levels of atrial natriuretic peptide (ANP), brain natriuretic peptide (BNP), collagen I and collagen III in the heart, and ST2 and norepinephrine in the serum of MI rats were inhibited by miR-146a antagomiR, but aggravated after miR-146a agomiR treatment. The increases of collagen I and collagen III levels induced by Ang II in CFs, and the increases of ANP and BNP levels induced by Ang II in cardiomyocytes were inhibited by miR-146a antagomiR, but aggravated by miR-146a agomiR. These results demonstrated that inhibition of miR-146a improved cardiac dysfunction and cardiac remodeling in heart failure rats.

摘要

本研究旨在探讨 microRNA-146a 在心肌梗死(MI)诱导的心力衰竭和心脏重构中的作用。实验采用结扎左冠状动脉诱导心力衰竭的 Sprague-Dawley 大鼠和血管紧张素(Ang)II 处理的原代乳鼠心肌成纤维细胞(CFs)和心肌细胞进行。MI 后 4 周,通过尾静脉注射 miR-146a 拮抗剂或激动剂。注射 2 周后处死大鼠。在 MI 大鼠中,左心室(LV)射血分数和缩短分数降低,LV 舒张期和收缩期容积增加,这些变化可被 miR-146a 拮抗剂逆转,而 miR-146a 激动剂处理则进一步加重。miR-146a 拮抗剂可改善 MI 大鼠的 LV ±dp/dtmax 和 LV 收缩压(LVSP)降低以及 LV 舒张末压(LVEDP)升高,而 miR-146a 激动剂则恶化 LV ±dp/dtmax、LVSP 和 LVEDP。miR-146a 拮抗剂可抑制 MI 大鼠心脏中心房利钠肽(ANP)、脑利钠肽(BNP)、胶原 I 和胶原 III 水平以及血清中 ST2 和去甲肾上腺素的升高,但 miR-146a 激动剂则加重了这些变化。miR-146a 拮抗剂可抑制 Ang II 诱导的 CFs 中胶原 I 和胶原 III 水平升高,以及 Ang II 诱导的心肌细胞中 ANP 和 BNP 水平升高,但 miR-146a 激动剂则加重了这些变化。这些结果表明,抑制 miR-146a 可改善心力衰竭大鼠的心脏功能障碍和心脏重构。

https://cdn.ncbi.nlm.nih.gov/pmc/blobs/1e02/6928527/623cd7605bf8/bsr-39-bsr20191732-g1.jpg

文献AI研究员

20分钟写一篇综述,助力文献阅读效率提升50倍。

立即体验

用中文搜PubMed

大模型驱动的PubMed中文搜索引擎

马上搜索

文档翻译

学术文献翻译模型,支持多种主流文档格式。

立即体验