Suppr超能文献

变种。在脂多糖诱导的急性肺损伤小鼠模型和肿瘤坏死因子-α刺激的NCI-H292细胞中减轻氧化应激和炎症反应。

var. Attenuates Oxidative Stress and Inflammatory Responses in a Murine Model of Lipopolysaccharide-Induced Acute Lung Injury and TNF-α-Stimulated NCI-H292 Cells.

作者信息

Lee Ba-Wool, Ha Ji-Hye, Shin Han-Gyo, Jeong Seong-Hun, Jeon Da-Bin, Kim Ju-Hong, Park Ji-Young, Kwon Hyung-Jun, Jung Kyungsook, Lee Woo-Song, Kim Hyeon-Young, Kim Sung-Hwan, Jang Hyun-Jae, Ryu Young-Bae, Lee In-Chul

机构信息

Functional Biomaterial Research Center, Korea Research Institute of Bioscience and Biotechnology, Jeongeup-si, Jeollabuk-do 56212, Korea.

National Center for Efficacy Evaluation of Respiratory Disease Product, Korea Institute of Toxicology, Jeongeup-si, Jeollabuk-do 56212, Korea.

出版信息

Antioxidants (Basel). 2020 Feb 26;9(3):198. doi: 10.3390/antiox9030198.

Abstract

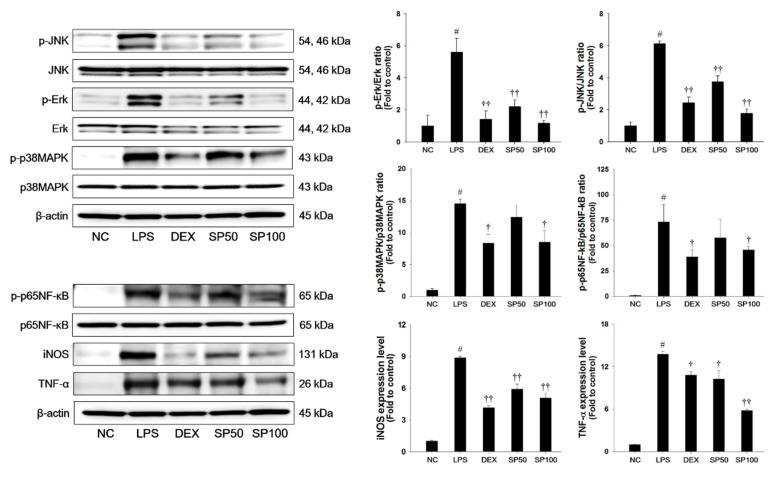
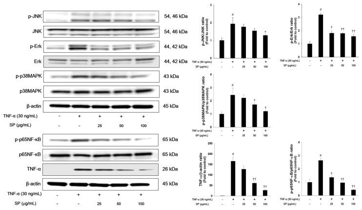
var. (SP) is traditionally used as an herbal remedy to treat fever, malaria, and emesis. This study aimed to evaluate the anti-oxidative and anti-inflammatory properties of the methanol extract of SP leaves in tumor necrosis factor (TNF)-α-stimulated NCI-H292 cells and in a lipopolysaccharide (LPS)-induced acute lung injury (ALI) mouse model. SP decreased the number of inflammatory cells and the levels of TNF-α, interleukin (IL)-1β, and IL-6 in the bronchoalveolar lavage fluid, and inflammatory cell infiltration in the lung tissues of SP-treated mice. In addition, SP significantly suppressed the mRNA and protein levels of TNF-α, IL-1β, and IL-6 in TNF-α-stimulated NCI-H292 cells. SP significantly suppressed the phosphorylation of the mitogen-activated protein kinases (MAPKs) and p65-nuclear factor-kappa B (NF-κB) in LPS-induced ALI mice and TNF-α-stimulated NCI-H292 cells. SP treatment enhanced the nuclear translocation of nuclear factor erythroid 2-related factor (Nrf2) with upregulated antioxidant enzymes and suppressed reactive oxygen species (ROS)-mediated oxidative stress in the lung tissues of LPS-induced ALI model and TNF-α-stimulated NCI-H292 cells. Collectively, SP effectively inhibited airway inflammation and ROS-mediated oxidative stress, which was closely related to its ability to induce activation of Nrf2 and inhibit the phosphorylation of MAPKs and NF-κB. These findings suggest that SP has therapeutic potential for the treatment of ALI.

摘要

变种(SP)传统上用作草药治疗发热、疟疾和呕吐。本研究旨在评估SP叶甲醇提取物在肿瘤坏死因子(TNF)-α刺激的NCI-H292细胞和脂多糖(LPS)诱导的急性肺损伤(ALI)小鼠模型中的抗氧化和抗炎特性。SP减少了支气管肺泡灌洗液中炎症细胞的数量以及TNF-α、白细胞介素(IL)-1β和IL-6的水平,以及SP处理小鼠肺组织中的炎症细胞浸润。此外,SP显著抑制了TNF-α刺激的NCI-H292细胞中TNF-α、IL-1β和IL-6的mRNA和蛋白水平。SP显著抑制了LPS诱导的ALI小鼠和TNF-α刺激的NCI-H292细胞中丝裂原活化蛋白激酶(MAPKs)和p65-核因子-κB(NF-κB)的磷酸化。SP处理增强了核因子红细胞2相关因子(Nrf2)的核转位,上调了抗氧化酶,并抑制了LPS诱导的ALI模型肺组织和TNF-α刺激的NCI-H292细胞中活性氧(ROS)介导的氧化应激。总体而言,SP有效抑制气道炎症和ROS介导的氧化应激,这与其诱导Nrf2活化以及抑制MAPKs和NF-κB磷酸化的能力密切相关。这些发现表明SP对ALI的治疗具有潜在的应用价值。

https://cdn.ncbi.nlm.nih.gov/pmc/blobs/a159/7139931/ea5eea71a962/antioxidants-09-00198-g001.jpg

文献AI研究员

20分钟写一篇综述,助力文献阅读效率提升50倍。

立即体验

用中文搜PubMed

大模型驱动的PubMed中文搜索引擎

马上搜索

文档翻译

学术文献翻译模型,支持多种主流文档格式。

立即体验