Suppr超能文献

长链非编码RNA-SNHG16/微小RNA-128轴通过WNT/β-连环蛋白通路调节宫颈癌细胞的恶性表型。

Lnc-SNHG16/miR-128 axis modulates malignant phenotype through WNT/β-catenin pathway in cervical cancer cells.

作者信息

Wu Wu, Guo Li, Liang Zhenlong, Liu Yuanbin, Yao Zhi

机构信息

Department of Immunology, Tianjin Key Laboratory of Cellular and Molecular Immunology, Key Laboratory of Educational Ministry of China, Tianjin Medical University, Tianjin 300051, China.

Department of Clinical Laboratory, Laigang Hospital, Jinan 271103, China.

出版信息

J Cancer. 2020 Feb 3;11(8):2201-2212. doi: 10.7150/jca.40319. eCollection 2020.

Abstract

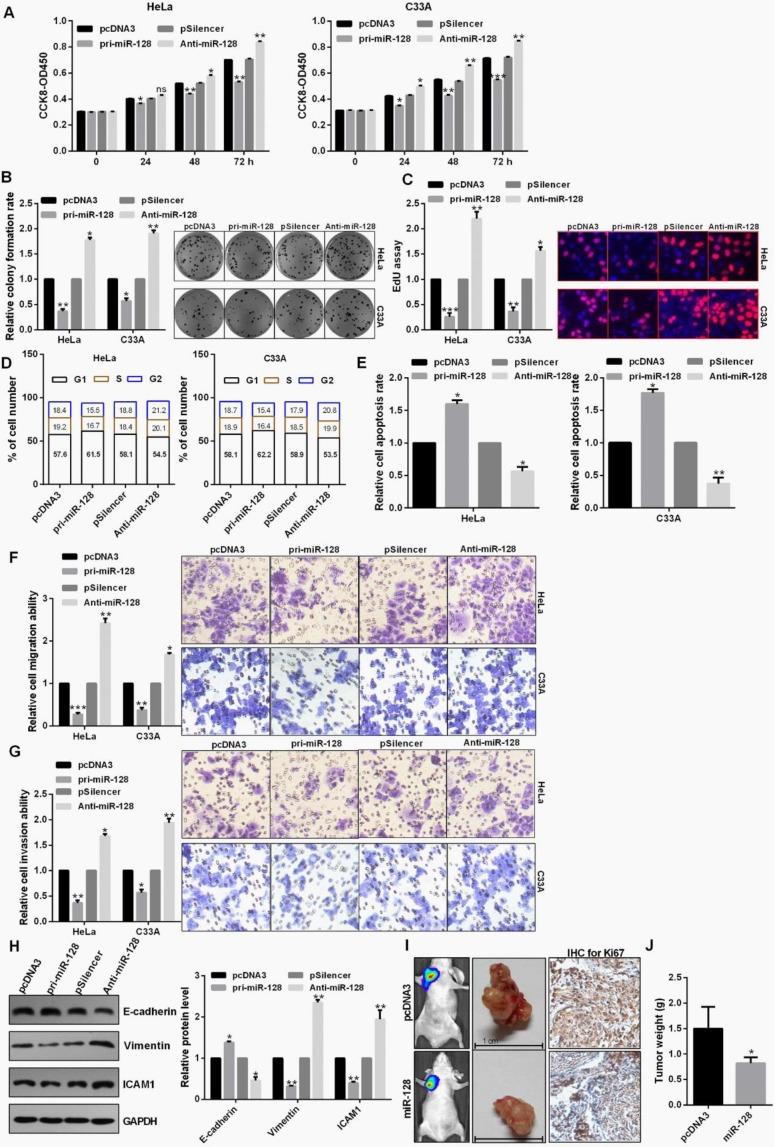
: The lnc-SNHG16 serves as an oncogene and miR-128 acts as a tumor suppressor in various cancers. However, the functional role of lnc-SNHG16 and miR-128 in CC still remain unknown. This study aims to explore the expression level of lnc-SNHG16 and miR-128 and its biological roles in CC. : lnc-SNHG16, miR-128, GSPT1 and WNT3A expression were analyzed using quantitative real-time PCR and bioinformatics in cervical cancer tissues and cells. Cell Counting Kit-8, EdU staining, colony formation assay, western blot, Transwell, immunofluorescence, immunohistochemical staining, luciferase reporter assay, electrophoretic mobility shift, tumor xenograft, and flow cytometry assays were employed to investigate the mechanisms underlying the effect of Lnc-SNHG16/miR-128 axis on cervical cancer. : lnc-SNHG16 was up-regulated in CC cell lines and tissues. lnc-SNHG16 knockdown inhibited proliferation, restrained the epithelial-mesenchymal transition (EMT) process by regulating cell apoptosis and cell cycle. The next study indicated that lnc-SNHG16 knockdown markedly increased miR-128 level which is down-regulated in CC. Moreover, miR-128 overexpression significantly inhibited proliferation, EMT process and tumor growth by directly targeting GSPT1 and WNT3A. Finally, lnc-SNHG16 activates but miR-128 inactivates the WNT/β-catenin pathways in CC cells. : Our data suggest that lnc-SNHG16/miR-128 axis modulates malignant phenotype of CC cells through WNT/β-catenin pathway.

摘要

lnc-SNHG16在多种癌症中作为癌基因发挥作用,而miR-128则作为肿瘤抑制因子。然而,lnc-SNHG16和miR-128在宫颈癌(CC)中的功能作用仍不清楚。本研究旨在探讨lnc-SNHG16和miR-128在CC中的表达水平及其生物学作用。采用定量实时PCR和生物信息学方法分析宫颈癌组织和细胞中lnc-SNHG16、miR-128、GSPT1和WNT3A的表达。运用细胞计数试剂盒-8、EdU染色、集落形成试验、蛋白质免疫印迹法、Transwell实验、免疫荧光、免疫组织化学染色、荧光素酶报告基因检测、电泳迁移率变动分析、肿瘤异种移植和流式细胞术检测等方法,研究Lnc-SNHG16/miR-128轴影响宫颈癌的潜在机制。lnc-SNHG16在CC细胞系和组织中上调。敲低lnc-SNHG16可抑制细胞增殖,通过调节细胞凋亡和细胞周期来抑制上皮-间质转化(EMT)过程。进一步研究表明,敲低lnc-SNHG16可显著提高在CC中表达下调的miR-128水平。此外,miR-128过表达通过直接靶向GSPT1和WNT3A显著抑制细胞增殖、EMT过程和肿瘤生长。最后,lnc-SNHG16激活而miR-128使CC细胞中的WNT/β-连环蛋白信号通路失活。我们的数据表明,lnc-SNHG16/miR-128轴通过WNT/β-连环蛋白信号通路调节CC细胞的恶性表型。

https://cdn.ncbi.nlm.nih.gov/pmc/blobs/4c0f/7052928/7a47cd23871d/jcav11p2201g001.jpg

文献AI研究员

20分钟写一篇综述,助力文献阅读效率提升50倍。

立即体验

用中文搜PubMed

大模型驱动的PubMed中文搜索引擎

马上搜索

文档翻译

学术文献翻译模型,支持多种主流文档格式。

立即体验