Suppr超能文献

L-OPA1 的恢复通过抑制神经元凋亡和保护线粒体功能减轻大鼠急性缺血性脑卒中损伤。

Restoration of L-OPA1 alleviates acute ischemic stroke injury in rats via inhibiting neuronal apoptosis and preserving mitochondrial function.

机构信息

Department of Neurology, Fujian Medical University Union Hospital, Fuzhou, 350001, China; Department of Rehabilitation, Fujian Medical University Union Hospital, Fuzhou, 350001, China; Institute of Cerebral Vascular Disease of Fujian Province, Fuzhou, 350001, China; Key Laboratory of Brain Aging and Neurodegenerative Diseases, Fujian Key Laboratory of Molecular Neurology, Fujian Medical University, Fuzhou, 350001, China.

Department of Neurology, Fujian Medical University Union Hospital, Fuzhou, 350001, China; Institute of Cerebral Vascular Disease of Fujian Province, Fuzhou, 350001, China; Key Laboratory of Brain Aging and Neurodegenerative Diseases, Fujian Key Laboratory of Molecular Neurology, Fujian Medical University, Fuzhou, 350001, China.

出版信息

Redox Biol. 2020 Jul;34:101503. doi: 10.1016/j.redox.2020.101503. Epub 2020 Mar 13.

Abstract

BACKGROUND

Ischemic stroke can induce changes in mitochondrial morphology and function. As a regulatory gene in mitochondria, optic atrophy 1 (OPA1) plays a pivotal role in the regulation of mitochondrial dynamics and other related functions. However, its roles in cerebral ischemia-related conditions are barely understood.

METHODS

Cultured rat primary cortical neurons were respectively transfected with OPA1-v1ΔS1-encoding and OPA1-v1-encoding lentivirus before exposure to 2-h oxygen-glucose deprivation (OGD) and subsequent reoxygenation (OGD/R). Adult male SD rats received an intracranial injection of AAV-OPA1-v1ΔS1 and were subjected to 90 min of transient middle cerebral artery occlusion (tMCAO) followed by reperfusion. OPA1 expression and function were detected by in vitro and in vivo assays.

RESULTS

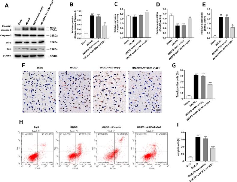
OPA1 was excessively cleaved after cerebral ischemia/reperfusion injury, both in vitro and in vivo. Under OGD/R condition, compared with that of the LV-OPA1-v1-treated group, the expression of OPA1-v1ΔS1 efficiently restored L-OPA1 level and alleviated neuronal death and mitochondrial morphological damage. Meanwhile, the expression of OPA1-v1ΔS1 markedly improved cerebral ischemia/reperfusion-induced motor function damage, attenuated brain infarct volume, neuronal apoptosis, mitochondrial bioenergetics deficits, oxidative stress, and restored the morphology of mitochondrial cristae and mitochondrial length. It also preserved the mitochondrial integrity and reinforced the mtDNA content and expression of mitochondrial biogenesis factors in ischemic rats.

INTERPRETATION

Our results demonstrate that the stabilization of L-OPA1 protects ischemic brains by reducing neuronal apoptosis and preserving mitochondrial function, suggesting its significance as a promising therapeutic target for stroke prevention and treatment.

摘要

背景

缺血性中风可引起线粒体形态和功能的变化。OPA1 作为线粒体的调节基因,在调节线粒体动力学和其他相关功能方面起着关键作用。然而,其在与脑缺血相关的情况下的作用知之甚少。

方法

培养的大鼠原代皮质神经元分别转染 OPA1-v1ΔS1 编码和 OPA1-v1 编码慢病毒,然后暴露于 2 小时氧葡萄糖剥夺(OGD)和随后的再氧合(OGD/R)。成年雄性 SD 大鼠接受 AAV-OPA1-v1ΔS1 颅内注射,并进行 90 分钟短暂性大脑中动脉闭塞(tMCAO),随后再灌注。通过体外和体内测定检测 OPA1 的表达和功能。

结果

脑缺血再灌注损伤后,OPA1 在体外和体内均过度裂解。在 OGD/R 条件下,与 LV-OPA1-v1 处理组相比,OPA1-v1ΔS1 的表达有效地恢复了 L-OPA1 水平,并减轻了神经元死亡和线粒体形态损伤。同时,OPA1-v1ΔS1 的表达显著改善了脑缺血再灌注引起的运动功能损伤,减轻了脑梗死体积、神经元凋亡、线粒体生物能缺陷、氧化应激,并恢复了线粒体嵴和线粒体长度的形态。它还保持了线粒体的完整性,并增强了缺血大鼠中线粒体 DNA 的形态和线粒体生物发生因子的表达。

结论

我们的结果表明,L-OPA1 的稳定通过减少神经元凋亡和保护线粒体功能来保护缺血性大脑,这表明其作为预防和治疗中风的有希望的治疗靶点的重要性。

https://cdn.ncbi.nlm.nih.gov/pmc/blobs/c392/7327985/1e7461042666/fx1.jpg

文献AI研究员

20分钟写一篇综述,助力文献阅读效率提升50倍。

立即体验

用中文搜PubMed

大模型驱动的PubMed中文搜索引擎

马上搜索

文档翻译

学术文献翻译模型,支持多种主流文档格式。

立即体验