Suppr超能文献

ADAM10和ADAM17裂解程序性死亡配体1(PD-L1)以介导程序性死亡受体1(PD-1)/程序性死亡配体1(PD-L1)抑制剂耐药。

ADAM10 and ADAM17 cleave PD-L1 to mediate PD-(L)1 inhibitor resistance.

作者信息

Orme Jacob J, Jazieh Khalid A, Xie Tiancheng, Harrington Susan, Liu Xin, Ball Matthew, Madden Benjamin, Charlesworth M Cristine, Azam Tariq U, Lucien Fabrice, Wootla Bharath, Li Yanli, Villasboas Jose Caetano, Mansfield Aaron S, Dronca Roxana S, Dong Haidong

机构信息

Division of Medical Oncology, Mayo Clinic, Rochester, MN, USA.

Department of Urology, Mayo Clinic, Rochester, MN, USA.

出版信息

Oncoimmunology. 2020 Apr 14;9(1):1744980. doi: 10.1080/2162402X.2020.1744980. eCollection 2020.

Abstract

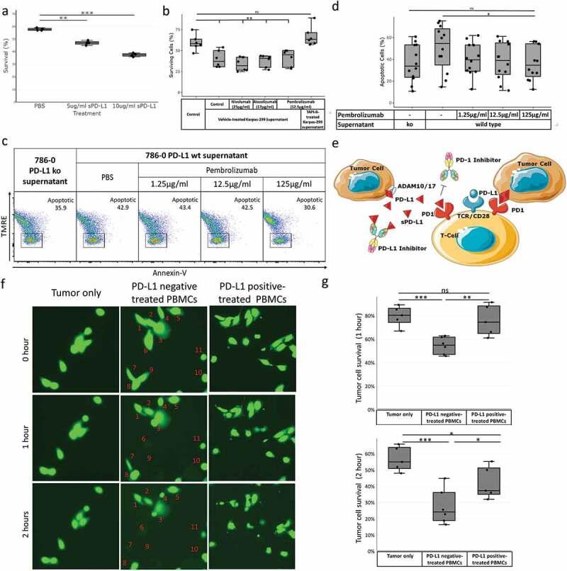
ADAM10 and ADAM17 expression and soluble PD-L1 (sPD-L1) predict poor prognosis in many malignancies, including in patients treated with PD-(L)1 inhibitors. The mechanism of soluble PD-L1 production and its effects are unknown. Here we uncover a novel mechanism of ADAM10- and ADAM17-mediated resistance to PD-(L)1 inhibitors. ADAM10 and ADAM17 cleave PD-L1 from the surface of malignant cells and extracellular vesicles. This cleavage produces an active sPD-L1 fragment that induces apoptosis in CD8 + T cells and compromises the killing of tumor cells by CD8 + T cells. Reduced tumor site PD-L1 protein-to-mRNA ratios predict poor outcomes and are correlated with elevated ADAM10 and ADAM17 expression in multiple cancers. These results may explain the discordance between PD-L1 immunohistochemistry and PD-(L)1 inhibitor response. Thus, including ADAM10 and ADAM17 tissue staining may improve therapy selection. Furthermore, treatment with an ADAM10/ADAM17 inhibitor may abrogate PD-(L)1 inhibitor resistance and improve clinical responses to PD-(L)1 immunotherapy.

摘要

ADAM10和ADAM17的表达以及可溶性PD-L1(sPD-L1)在许多恶性肿瘤中预示着不良预后,包括接受PD-(L)1抑制剂治疗的患者。可溶性PD-L1产生的机制及其作用尚不清楚。在此,我们揭示了一种由ADAM10和ADAM17介导的对PD-(L)1抑制剂耐药的新机制。ADAM10和ADAM17从恶性细胞和细胞外囊泡表面切割PD-L1。这种切割产生一个活性sPD-L1片段,该片段诱导CD8 + T细胞凋亡,并损害CD8 + T细胞对肿瘤细胞的杀伤作用。肿瘤部位PD-L1蛋白与mRNA比率降低预示着不良预后,并且在多种癌症中与ADAM10和ADAM17表达升高相关。这些结果可能解释了PD-L1免疫组化与PD-(L)1抑制剂反应之间的不一致性。因此,包括ADAM10和ADAM17组织染色可能会改善治疗选择。此外,用ADAM10/ADAM17抑制剂治疗可能会消除PD-(L)1抑制剂耐药性,并改善对PD-(L)1免疫疗法的临床反应。

https://cdn.ncbi.nlm.nih.gov/pmc/blobs/e4aa/7185206/de50195c1f8b/koni-09-01-1744980-g001.jpg

文献AI研究员

20分钟写一篇综述,助力文献阅读效率提升50倍。

立即体验

用中文搜PubMed

大模型驱动的PubMed中文搜索引擎

马上搜索

文档翻译

学术文献翻译模型,支持多种主流文档格式。

立即体验