Suppr超能文献

MCU 诱导的线粒体钙摄取促进了线粒体生物发生和结直肠癌细胞生长。

MCU-induced mitochondrial calcium uptake promotes mitochondrial biogenesis and colorectal cancer growth.

机构信息

State Key Laboratory of Cancer Biology and Department of Physiology and Pathophysiology, Fourth Military Medical University, Xi'an, China.

Department of Pathology, Basic Medical College, Inner Mongolia Medical University, Huhhot, China.

出版信息

Signal Transduct Target Ther. 2020 May 5;5(1):59. doi: 10.1038/s41392-020-0155-5.

Abstract

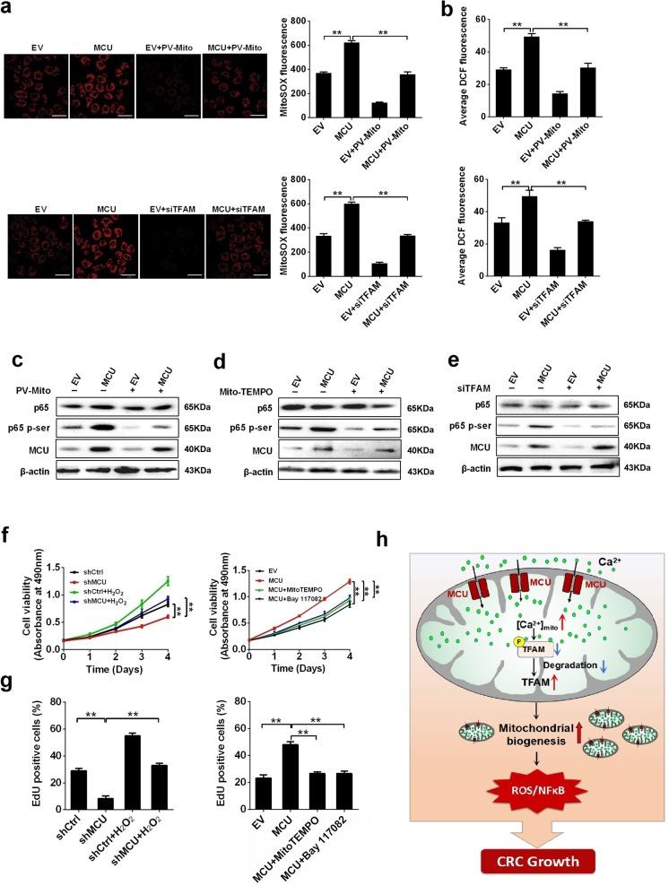
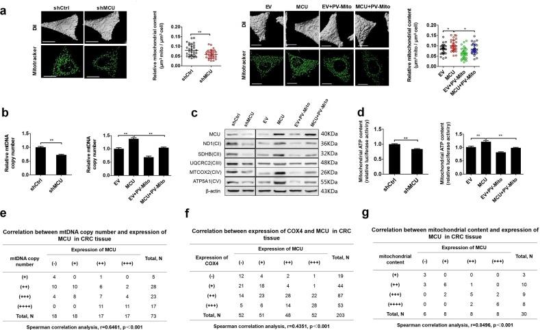
Mitochondrial calcium uniporter (MCU) has an important role in regulating mitochondrial calcium (Ca) homeostasis. Dysregulation of mitochondrial Ca homeostasis has been implicated in various cancers. However, it remains unclear whether MCU regulates mitochondrial Ca uptake to promote cell growth in colorectal cancer (CRC). Therefore, in the present study the expression of MCU in CRC tissues and its clinical significance were examined. Following which, the biological function of MCU-mediated mitochondrial Ca uptake in CRC cell growth and the underlying mechanisms were systematically evaluated using in in vitro and in vivo assays, which included western blotting, cell viability and apoptosis assays, as well as xenograft nude mice models. Our results demonstrated that MCU was markedly upregulated in CRC tissues at both the mRNA and protein levels. Upregulated MCU was associated with poor prognosis in patients with CRC. Our data reported that upregulation of MCU enhanced the mitochondrial Ca uptake to promote mitochondrial biogenesis, which in turn facilitated CRC cell growth in vitro and in vivo. In terms of the underlying mechanism, it was identified that MCU-mediated mitochondrial Ca uptake inhibited the phosphorylation of transcription factor A, mitochondrial (TFAM), and thus enhanced its stability to promote mitochondrial biogenesis. Furthermore, our data indicated that increased mitochondrial Ca uptake led to increased mitochondrial production of ROS via the upregulation of mitochondrial biogenesis, which subsequently activated NF-κB signaling to accelerate CRC growth. In conclusion, the results indicated that MCU-induced mitochondrial Ca uptake promotes mitochondrial biogenesis by suppressing phosphorylation of TFAM, thus contributing to CRC cell growth. Our findings reveal a novel mechanism underlying mitochondrial Ca-mediated CRC cell growth and may provide a potential pharmacological target for CRC treatment.

摘要

线粒体钙单向转运体(MCU)在调节线粒体钙(Ca)稳态中具有重要作用。线粒体 Ca 稳态失调与各种癌症有关。然而,MCU 是否调节线粒体 Ca 摄取以促进结直肠癌(CRC)中的细胞生长仍不清楚。因此,本研究检测了 CRC 组织中 MCU 的表达及其临床意义。随后,通过体外和体内实验系统评估了 MCU 介导的线粒体 Ca 摄取对 CRC 细胞生长的生物学功能及其潜在机制,包括 Western blot、细胞活力和凋亡测定以及异种移植裸鼠模型。我们的结果表明,MCU 在 CRC 组织中的 mRNA 和蛋白水平均明显上调。上调的 MCU 与 CRC 患者的预后不良相关。我们的数据表明,MCU 的上调增强了线粒体 Ca 的摄取,促进了线粒体生物发生,从而促进了体外和体内的 CRC 细胞生长。就潜在机制而言,确定 MCU 介导线粒体 Ca 摄取通过抑制转录因子 A,线粒体(TFAM)的磷酸化,从而增强其稳定性来促进线粒体生物发生。此外,我们的数据表明,增加的线粒体 Ca 摄取通过上调线粒体生物发生导致线粒体产生更多的 ROS,从而激活 NF-κB 信号通路加速 CRC 生长。总之,结果表明,MCU 诱导的线粒体 Ca 摄取通过抑制 TFAM 的磷酸化促进线粒体生物发生,从而促进 CRC 细胞生长。我们的发现揭示了线粒体 Ca 介导的 CRC 细胞生长的新机制,并可为 CRC 的治疗提供潜在的药物靶点。

https://cdn.ncbi.nlm.nih.gov/pmc/blobs/4ce5/7200750/11af33a133c8/41392_2020_155_Fig1_HTML.jpg

文献AI研究员

20分钟写一篇综述,助力文献阅读效率提升50倍。

立即体验

用中文搜PubMed

大模型驱动的PubMed中文搜索引擎

马上搜索

文档翻译

学术文献翻译模型,支持多种主流文档格式。

立即体验