Suppr超能文献

抗凝剂萘莫司他在细胞融合检测系统中能强力抑制 SARS-CoV-2 S 蛋白介导的融合,并以细胞类型依赖的方式在体外抑制病毒感染。

The Anticoagulant Nafamostat Potently Inhibits SARS-CoV-2 S Protein-Mediated Fusion in a Cell Fusion Assay System and Viral Infection In Vitro in a Cell-Type-Dependent Manner.

机构信息

Research Center for Asian Infectious Diseases, Institute of Medical Science, University of Tokyo, Tokyo 108-8639, Japan.

Division of Virology, Department of Microbiology and Immunology, Institute of Medical Science, University of Tokyo, Tokyo 108-8639, Japan.

出版信息

Viruses. 2020 Jun 10;12(6):629. doi: 10.3390/v12060629.

Abstract

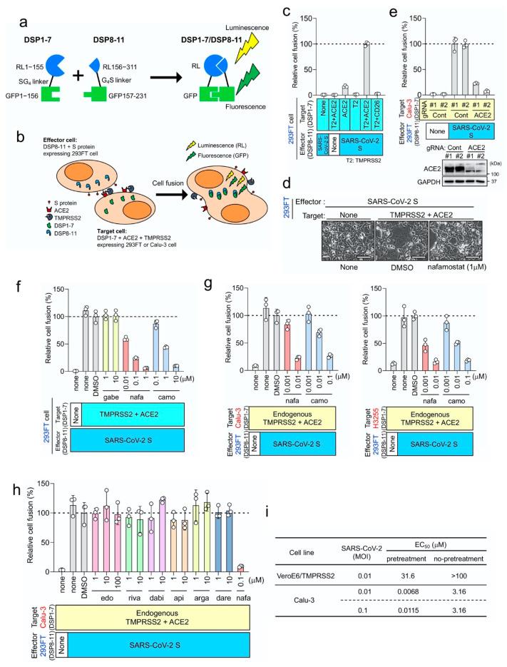
Although infection by SARS-CoV-2, the causative agent of coronavirus pneumonia disease (COVID-19), is spreading rapidly worldwide, no drug has been shown to be sufficiently effective for treating COVID-19. We previously found that nafamostat mesylate, an existing drug used for disseminated intravascular coagulation (DIC), effectively blocked Middle East respiratory syndrome coronavirus (MERS-CoV) S protein-mediated cell fusion by targeting transmembrane serine protease 2 (TMPRSS2), and inhibited MERS-CoV infection of human lung epithelium-derived Calu-3 cells. Here we established a quantitative fusion assay dependent on severe acute respiratory syndrome coronavirus 2 (SARS-CoV-2) S protein, angiotensin I converting enzyme 2 (ACE2) and TMPRSS2, and found that nafamostat mesylate potently inhibited the fusion while camostat mesylate was about 10-fold less active. Furthermore, nafamostat mesylate blocked SARS-CoV-2 infection of Calu-3 cells with an effective concentration (EC) around 10 nM, which is below its average blood concentration after intravenous administration through continuous infusion. On the other hand, a significantly higher dose (EC around 30 mM) was required for VeroE6/TMPRSS2 cells, where the TMPRSS2-independent but cathepsin-dependent endosomal infection pathway likely predominates. Together, our study shows that nafamostat mesylate potently inhibits SARS-CoV-2 S protein-mediated fusion in a cell fusion assay system and also inhibits SARS-CoV-2 infection in vitro in a cell-type-dependent manner. These findings, together with accumulated clinical data regarding nafamostat's safety, make it a likely candidate drug to treat COVID-19.

摘要

虽然导致冠状病毒肺炎(COVID-19)的 SARS-CoV-2 感染在全球迅速传播,但尚无药物被证明对 COVID-19 的治疗足够有效。我们之前发现,一种用于弥散性血管内凝血(DIC)的现有药物甲磺酸萘莫司他通过靶向跨膜丝氨酸蛋白酶 2(TMPRSS2),有效阻断中东呼吸综合征冠状病毒(MERS-CoV)S 蛋白介导的细胞融合,并抑制 MERS-CoV 感染人肺上皮细胞衍生的 Calu-3 细胞。在此,我们建立了一种依赖严重急性呼吸综合征冠状病毒 2(SARS-CoV-2)S 蛋白、血管紧张素转换酶 1(ACE2)和 TMPRSS2 的定量融合测定法,并发现甲磺酸萘莫司他能强烈抑制融合,而甲磺酸卡莫司他的活性约低 10 倍。此外,甲磺酸萘莫司他以约 10 nM 的有效浓度(EC)阻断 SARS-CoV-2 对 Calu-3 细胞的感染,这低于其通过连续输注静脉内给药后的平均血液浓度。另一方面,VeroE6/TMPRSS2 细胞需要显著更高的剂量(EC 约 30 mM),因为其中可能主要存在 TMPRSS2 非依赖性但组织蛋白酶依赖性内体感染途径。总之,我们的研究表明,甲磺酸萘莫司他在细胞融合测定系统中强烈抑制 SARS-CoV-2 S 蛋白介导的融合,并且以细胞类型依赖性方式抑制 SARS-CoV-2 在体外的感染。这些发现,加上关于甲磺酸萘莫司他安全性的累积临床数据,使它成为治疗 COVID-19 的候选药物。

https://cdn.ncbi.nlm.nih.gov/pmc/blobs/01c7/7354595/bd9fce88987d/viruses-12-00629-g001.jpg

文献AI研究员

20分钟写一篇综述,助力文献阅读效率提升50倍。

立即体验

用中文搜PubMed

大模型驱动的PubMed中文搜索引擎

马上搜索

文档翻译

学术文献翻译模型,支持多种主流文档格式。

立即体验