Suppr超能文献

基因通过跳过外显子重新启动转录和翻译,从而适应于规避基因靶向策略的突变小鼠品系。

Genes adapt to outsmart gene-targeting strategies in mutant mouse strains by skipping exons to reinitiate transcription and translation.

机构信息

The Jackson Laboratory for Mammalian Genetics, Bar Harbor, ME, USA.

Arthritis and Tissue Degeneration Program, Hospital for Special Surgery at Weill Cornell Medicine, New York, NY, 10021, USA.

出版信息

Genome Biol. 2020 Jul 9;21(1):168. doi: 10.1186/s13059-020-02086-0.

Abstract

BACKGROUND

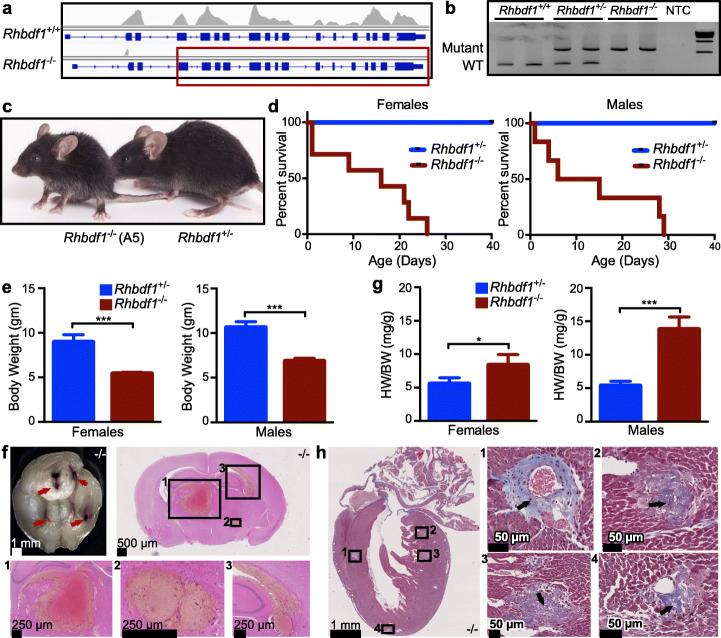
Gene disruption in mouse embryonic stem cells or zygotes is a conventional genetics approach to identify gene function in vivo. However, because different gene disruption strategies use different mechanisms to disrupt genes, the strategies can result in diverse phenotypes in the resulting mouse model. To determine whether different gene disruption strategies affect the phenotype of resulting mutant mice, we characterized Rhbdf1 mouse mutant strains generated by three commonly used strategies-definitive-null, targeted knockout (KO)-first, and CRISPR/Cas9.

RESULTS

We find that Rhbdf1 responds differently to distinct KO strategies, for example, by skipping exons and reinitiating translation to potentially yield gain-of-function alleles rather than the expected null or severe hypomorphic alleles. Our analysis also revealed that at least 4% of mice generated using the KO-first strategy show conflicting phenotypes.

CONCLUSIONS

Exon skipping is a widespread phenomenon occurring across the genome. These findings have significant implications for the application of genome editing in both basic research and clinical practice.

摘要

背景

在小鼠胚胎干细胞或受精卵中进行基因敲除是一种常规的遗传学方法,可用于在体内鉴定基因功能。然而,由于不同的基因敲除策略使用不同的机制来敲除基因,因此这些策略会导致产生的小鼠模型出现不同的表型。为了确定不同的基因敲除策略是否会影响产生的突变小鼠的表型,我们对三种常用策略(确定性敲除、靶向敲除(KO)-优先和 CRISPR/Cas9)产生的 Rhbdf1 小鼠突变株进行了特征描述。

结果

我们发现,Rhbdf1 对不同的 KO 策略有不同的反应,例如跳过外显子并重新起始翻译,从而产生可能具有功能获得的等位基因,而不是预期的缺失或严重的低功能等位基因。我们的分析还表明,至少有 4%的使用 KO-优先策略产生的小鼠表现出相互矛盾的表型。

结论

外显子跳跃是一种广泛存在于基因组中的现象。这些发现对基因组编辑在基础研究和临床实践中的应用具有重要意义。

https://cdn.ncbi.nlm.nih.gov/pmc/blobs/b94b/7350591/ad83b00d0a50/13059_2020_2086_Fig1_HTML.jpg

文献AI研究员

20分钟写一篇综述,助力文献阅读效率提升50倍。

立即体验

用中文搜PubMed

大模型驱动的PubMed中文搜索引擎

马上搜索

文档翻译

学术文献翻译模型,支持多种主流文档格式。

立即体验