Suppr超能文献

联合抑制 JAK2-STAT3 和 SMO-GLI1/tGLI1 通路可抑制乳腺癌干细胞、肿瘤生长和转移。

Combined inhibition of JAK2-STAT3 and SMO-GLI1/tGLI1 pathways suppresses breast cancer stem cells, tumor growth, and metastasis.

机构信息

Department of Cancer Biology, Wake Forest University School of Medicine, Winston-Salem, NC, USA.

Department of Biochemistry and Molecular Biology, Indiana University School of Medicine-Bloomington, JH 308 1001 E. 3rd St., Bloomington, IN, 47405, USA.

出版信息

Oncogene. 2020 Oct;39(42):6589-6605. doi: 10.1038/s41388-020-01454-1. Epub 2020 Sep 14.

Abstract

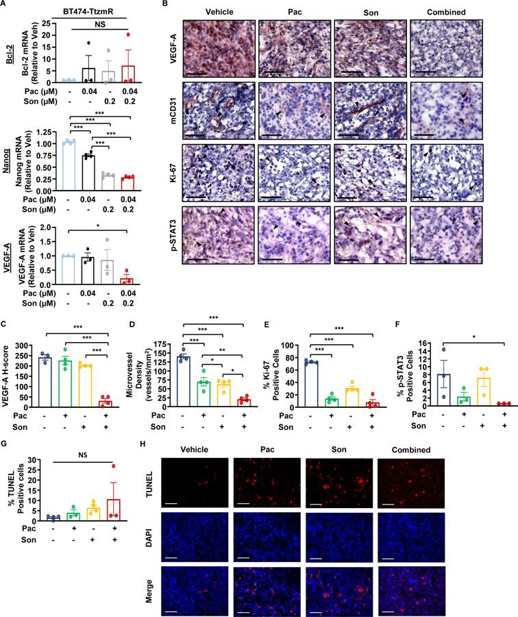
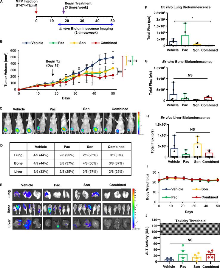
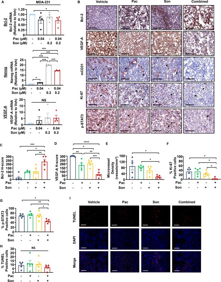
Triple-negative breast cancer (TNBC) and HER2-positive breast cancer are particularly aggressive and associated with unfavorable prognosis. TNBC lacks effective treatments. HER2-positive tumors have treatment options but often acquire resistance to HER2-targeted therapy after initial response. To address these challenges, we determined whether novel combinations of JAK2-STAT3 and SMO-GLI1/tGLI1 inhibitors synergistically target TNBC and HER2 breast cancer since these two pathways are concurrently activated in both tumor types and enriched in metastatic tumors. Herein, we show that novel combinations of JAK2 inhibitors (ruxolitinib and pacritinib) with SMO inhibitors (vismodegib and sonidegib) synergistically inhibited in vitro growth of TNBC and HER2-positive trastuzumab-resistant BT474-TtzmR cells. Synergy was also observed against breast cancer stem cells. To determine if the combination is efficacious in inhibiting metastasis, we treated mice with intracardially inoculated TNBC cells and found the combination to inhibit lung and liver metastases, and prolong host survival without toxicity. The combination inhibited orthotopic growth, VEGF-A expression, and tumor vasculature of both TNBC and HER2-positive trastuzumab-refractory breast cancer. Lung metastasis of orthotopic BT474-TtzmR xenografts was suppressed by the combination. Together, our results indicated that dual targeting of JAK2 and SMO resulted in synergistic suppression of breast cancer growth and metastasis, thereby supporting future clinical testing.

摘要

三阴性乳腺癌(TNBC)和 HER2 阳性乳腺癌具有侵袭性,预后不良。TNBC 缺乏有效治疗方法。HER2 阳性肿瘤有治疗选择,但在初始反应后常对 HER2 靶向治疗产生耐药性。为了解决这些挑战,我们确定了 JAK2-STAT3 和 SMO-GLI1/tGLI1 抑制剂的新组合是否能协同靶向 TNBC 和 HER2 乳腺癌,因为这两种途径在两种肿瘤类型中同时被激活,并在转移性肿瘤中富集。在此,我们表明 JAK2 抑制剂(ruxolitinib 和 pacritinib)与 SMO 抑制剂(vismodegib 和 sonidegib)的新组合协同抑制了 TNBC 和 HER2 阳性曲妥珠单抗耐药 BT474-TtzmR 细胞的体外生长。对乳腺癌干细胞也观察到协同作用。为了确定该组合在抑制转移方面的疗效,我们用心脏内接种的 TNBC 细胞治疗小鼠,发现该组合抑制肺和肝转移,并延长宿主存活而无毒性。该组合抑制了 TNBC 和 HER2 阳性曲妥珠单抗耐药乳腺癌的原位生长、VEGF-A 表达和肿瘤血管生成。组合抑制了原位 BT474-TtzmR 异种移植物的肺转移。总之,我们的结果表明 JAK2 和 SMO 的双重靶向导致乳腺癌生长和转移的协同抑制,从而支持未来的临床测试。

https://cdn.ncbi.nlm.nih.gov/pmc/blobs/ba9e/7572897/83ac86d62b00/nihms-1625836-f0001.jpg

文献AI研究员

20分钟写一篇综述,助力文献阅读效率提升50倍。

立即体验

用中文搜PubMed

大模型驱动的PubMed中文搜索引擎

马上搜索

文档翻译

学术文献翻译模型,支持多种主流文档格式。

立即体验