Suppr超能文献

MSC-AS1 通过调控 miR-373-3p/CPEB4 轴抑制 PI3K/Akt 通路抑制胶质瘤细胞生长和替莫唑胺耐药性

MSC-AS1 knockdown inhibits cell growth and temozolomide resistance by regulating miR-373-3p/CPEB4 axis in glioma through PI3K/Akt pathway.

机构信息

Department of Neurosurgery, Chinese PLA General Hospital, No. 28, Fuxing Rd, Haidian District, Beijing, 100853, China.

出版信息

Mol Cell Biochem. 2021 Feb;476(2):699-713. doi: 10.1007/s11010-020-03937-x. Epub 2020 Oct 26.

Abstract

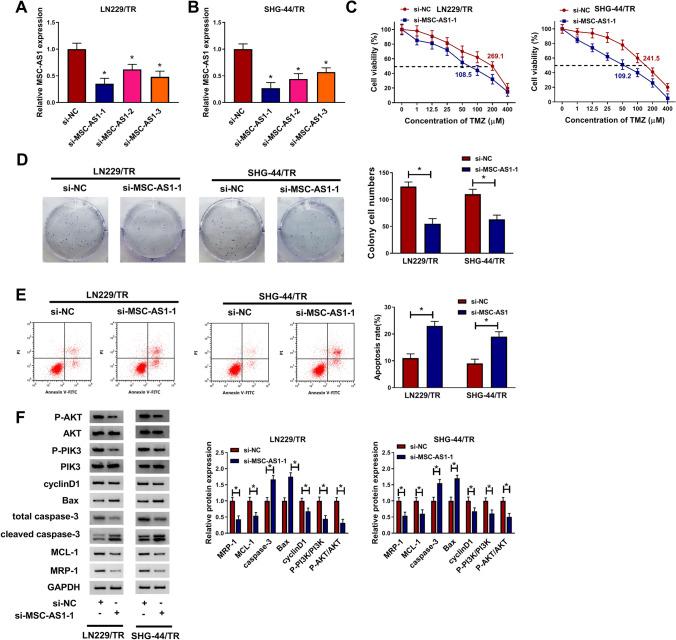
Long non-coding RNAs (lncRNAs) have been widely reported to regulate the development and chemoresistance of a variety of tumors. Temozolomide (TMZ) is a first-line chemotherapy for treatment of glioma. However, the effect and the regulatory mechanism of lncRNA MSC-AS1 (MSC-AS1) in TMZ-resistant glioma remain unrevealed. Levels of MSC-AS1, microRNA-373-3p (miR-373-3p), and cytoplasmic polyadenylation element binding protein 4 (CPEB4) were determined by quantitative real-time polymerase chain reaction (qRT-PCR). All protein expression was detected by western blot. Cell viability and the half maximal inhibitory concentration (IC) value of TMZ was assessed by cell counting kit-8 (CCK-8) assay. Cell cloning ability and apoptosis were examined by colony formation and flow cytometry assays, respectively. Dual-luciferase reporter and RNA immunoprecipitation (RIP) assays were performed to verify the correlation between miR-373-3p and MSC-AS1 or CPEB4. The xenograft models were established to determine the effect of MSC-AS1 in vivo. MSC-AS1 was up-regulated in TMZ-resistant glioma tissues and cells, and glioma patients with high MSC-AS1 expression tend to have lower overall survival rate. MSC-AS1 suppression reduced the IC value of TMZ and proliferation, promoted apoptosis and TMZ sensitivity, and affected PI3K/Akt pathway in TMZ-resistant glioma cells. MSC-AS1 acted as miR-373-3p sponge, and miR-373-3p directly targeted CPEB4. Silencing miR-373-3p reversed the promoting effect of MSC-AS1 or CPEB4 knockdown on TMZ sensitivity. Furthermore, MSC-AS1 knockdown inhibited TMZ-resistant glioma growth in vivo by regulating miR-373-3p/CPEB4 axis through PI3K/Akt pathway. Collectively, MSC-AS1 knockdown suppressed cell growth and the chemoresistance of glioma cells to TMZ by regulating miR-373-3p/CPEB4 axis in vitro and in vivo through activating PI3K/Akt pathway.

摘要

长链非编码 RNA(lncRNA)已被广泛报道可调节多种肿瘤的发生发展和化疗耐药性。替莫唑胺(TMZ)是治疗脑胶质瘤的一线化疗药物。然而,lncRNA MSC-AS1(MSC-AS1)在 TMZ 耐药性脑胶质瘤中的作用和调节机制仍未被揭示。通过实时定量聚合酶链反应(qRT-PCR)测定 MSC-AS1、微小 RNA-373-3p(miR-373-3p)和细胞质多聚腺苷酸化元件结合蛋白 4(CPEB4)的水平。通过蛋白质印迹法检测所有蛋白表达。通过细胞计数试剂盒-8(CCK-8)测定法评估细胞活力和 TMZ 的半最大抑制浓度(IC)值。通过集落形成和流式细胞术分别检测细胞克隆能力和凋亡。双荧光素酶报告和 RNA 免疫沉淀(RIP)测定法验证了 miR-373-3p 与 MSC-AS1 或 CPEB4 之间的相关性。建立异种移植模型以确定 MSC-AS1 在体内的作用。在 TMZ 耐药性脑胶质瘤组织和细胞中上调 MSC-AS1,且 MSC-AS1 高表达的脑胶质瘤患者总生存率较低。MSC-AS1 抑制降低了 TMZ 的 IC 值和增殖,促进了凋亡和 TMZ 敏感性,并影响了 TMZ 耐药性脑胶质瘤细胞中的 PI3K/Akt 通路。MSC-AS1 作为 miR-373-3p 的海绵,miR-373-3p 直接靶向 CPEB4。沉默 miR-373-3p 逆转了 MSC-AS1 或 CPEB4 敲低对 TMZ 敏感性的促进作用。此外,通过调节 PI3K/Akt 通路,MSC-AS1 敲低通过 miR-373-3p/CPEB4 轴抑制体内 TMZ 耐药性脑胶质瘤的生长。总之,通过在体外和体内通过激活 PI3K/Akt 通路调节 miR-373-3p/CPEB4 轴,MSC-AS1 敲低抑制 TMZ 耐药性脑胶质瘤细胞的生长和对 TMZ 的化疗耐药性。

https://cdn.ncbi.nlm.nih.gov/pmc/blobs/8e8b/7873112/7870a26029ba/11010_2020_3937_Fig1_HTML.jpg

文献AI研究员

20分钟写一篇综述,助力文献阅读效率提升50倍。

立即体验

用中文搜PubMed

大模型驱动的PubMed中文搜索引擎

马上搜索

文档翻译

学术文献翻译模型,支持多种主流文档格式。

立即体验