Suppr超能文献

柴胡皂苷A诱导的肠道微生物群变化通过激活Keap1/Nrf2-ARE抗氧化信号减轻重症急性胰腺炎。

Saikosaponin A-Induced Gut Microbiota Changes Attenuate Severe Acute Pancreatitis through the Activation of Keap1/Nrf2-ARE Antioxidant Signaling.

作者信息

Li Jing, Han Jinfeng, Lv Juan, Wang Shiji, Qu Lai, Jiang Yanfang

机构信息

Department of Intensive Care Unit, The First Hospital of Jilin University, Changchun 130021, China.

Genetic Diagnosis Center, The First Hospital of Jilin University, Changchun 130021, China.

出版信息

Oxid Med Cell Longev. 2020 Nov 1;2020:9217219. doi: 10.1155/2020/9217219. eCollection 2020.

Abstract

OBJECTIVE

Severe acute pancreatitis (SAP) is a serious and life-threatening disease associated with multiple organ failure and a high mortality rate and is accompanied by distinct oxidative stress and inflammatory responses. Saikosaponin A has strong antioxidant properties and can affect the composition of gut microbiota. We sought to determine the effects of Saikosaponin A interventions on SAP by investigating the changes of gut microbiota and related antioxidant signaling.

METHODS

A SAP model was established in Sprague-Dawley (SD) rats through the injection of sodium taurocholate into the biliopancreatic duct and confirmed by elevated levels of serum lipase and amylase. The model was fed a standard diet either with saline solution or with Saikosaponin A. Fecal microbiota transplantation (FMT) from Saikosaponin A-induced rats into the rat model was performed to test the effects of gut microbiota. The composition of gut microbiota was analyzed by using 16S rRNA gene sequencing. We measured apoptotic status, inflammatory biomarkers, and Keap1-Nrf2-ARE ((Kelch-like ECH-associated protein 1) nuclear factor erythroid 2-related factor 2-antioxidant response element) antioxidant signaling.

RESULTS

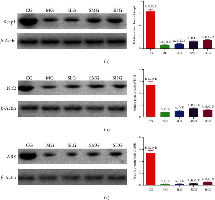
Saikosaponin A intervention attenuated SAP lesions and reduced the levels of serum amylase and lipase, oxidative stress, and inflammatory responses by reducing pathological scores and affecting the serum level of oxidative and inflammatory factors. Meanwhile, the expression of Keap1-Nrf2-ARE was increased. Saikosaponin A intervention improved microbiota composition by increasing the relative abundance of Lactobacillus and Prevotella species. FMT resulted in similar results as those caused by the Saikosaponin A intervention, suggesting Saikosaponin A may exert its function via the improvement of gut microbiota composition.

CONCLUSIONS

Saikosaponin A-induced gut microbiota changes attenuate SAP progression in the rat model and may be a potential natural drug for adjuvant treatment of SAP. Further work is needed to clear up the points.

摘要

目的

重症急性胰腺炎(SAP)是一种严重的、危及生命的疾病,与多器官功能衰竭和高死亡率相关,并伴有明显的氧化应激和炎症反应。柴胡皂苷A具有强大的抗氧化特性,且能影响肠道微生物群的组成。我们试图通过研究肠道微生物群的变化及相关抗氧化信号,来确定柴胡皂苷A干预对SAP的影响。

方法

通过向Sprague-Dawley(SD)大鼠的胆胰管注射牛磺胆酸钠建立SAP模型,并通过血清脂肪酶和淀粉酶水平升高来确认。将模型大鼠分为两组,分别给予生理盐水或柴胡皂苷A的标准饮食。将来自柴胡皂苷A诱导大鼠的粪便微生物群移植(FMT)到大鼠模型中,以测试肠道微生物群的作用。使用16S rRNA基因测序分析肠道微生物群的组成。我们检测了细胞凋亡状态、炎症生物标志物以及Keap1-Nrf2-ARE(kelch样ECH相关蛋白1-核因子红细胞2相关因子2-抗氧化反应元件)抗氧化信号。

结果

柴胡皂苷A干预减轻了SAP病变,通过降低病理评分和影响氧化及炎症因子的血清水平,降低了血清淀粉酶和脂肪酶水平、氧化应激和炎症反应。同时,Keap1-Nrf2-ARE的表达增加。柴胡皂苷A干预通过增加乳酸杆菌和普雷沃氏菌属的相对丰度改善了微生物群组成。FMT产生了与柴胡皂苷A干预相似的结果,表明柴胡皂苷A可能通过改善肠道微生物群组成发挥其功能。

结论

柴胡皂苷A诱导的肠道微生物群变化减轻了大鼠模型中SAP的进展,可能是一种用于SAP辅助治疗的潜在天然药物。需要进一步的研究来阐明这些问题。

https://cdn.ncbi.nlm.nih.gov/pmc/blobs/a2f9/7652616/6b93e7200ae9/OMCL2020-9217219.001.jpg

文献AI研究员

20分钟写一篇综述,助力文献阅读效率提升50倍。

立即体验

用中文搜PubMed

大模型驱动的PubMed中文搜索引擎

马上搜索

文档翻译

学术文献翻译模型,支持多种主流文档格式。

立即体验