Suppr超能文献

常染色体显性遗传性肾小管间质性肾病-URMOD 中肾活检的意义:肾活检真的无特异性吗?

Significance of kidney biopsy in autosomal dominant tubulointerstitial kidney disease-UMOD: is kidney biopsy truly nonspecific?

机构信息

Division of Rheumatology, Department of Internal Medicine, Kanazawa University Graduate School of Medicine, Kanazawa, Ishikawa, Japan.

Kanazawa Medical University, Department of Hematology and Immunology, Uchinada-Machi, Ishikawa, Japan.

出版信息

BMC Nephrol. 2021 Jan 4;22(1):1. doi: 10.1186/s12882-020-02169-x.

Abstract

BACKGROUND

Autosomal dominant tubulointerstitial kidney disease (ADTKD) is a rare hereditary disease caused by a variety of genetic mutations. Carriers of a mutation in the responsible genes are at risk of reaching end-stage kidney disease typically in middle age. The frequency of this disease is assumed to be underestimated because of a lack of disease-specific signs. Pathological findings obtained from kidney of uromodulin related ADTKD (ADTKD-UMOD) patients are regarded as non-specific and less-informative for its diagnosis. This research was undertaken to evaluate the significance of kidney biopsy in ADTKD-UMOD patients.

METHODS

Thirteen patients from 10 families with nine identified uromodulin (UMOD) gene mutations who underwent kidney biopsy in the past were studied. Their kidney tissues were stained with anti-UMOD antibody in addition to conventional methods such as PAS staining. When positive, the numbers of tubules with visible UMOD protein accumulations were calculated based on the total numbers of UMOD expressing tubules. Pathological findings such as tubulointerstitial fibrosis, atrophy, inflammation and glomerulosclerosis were also evaluated and analyzed.

RESULTS

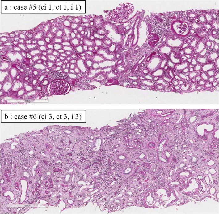
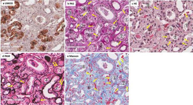
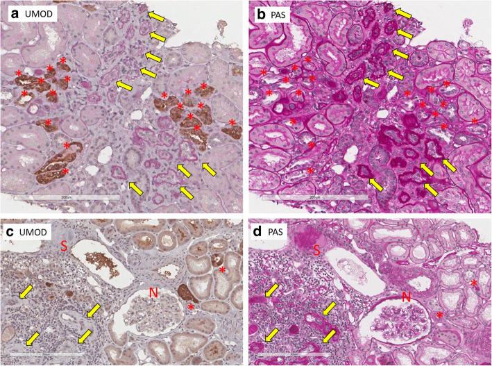
Interstitial fibrosis and tubular atrophy were present in all 13 patients. Most atrophic tubules with thickening and lamellation of tubular basement membranes showed negative UMOD staining. In all but two patients with C94F mutations, massive accumulation of UMOD proteins was observed in the renal endoplasmic reticulum. UMOD accumulations were also detectable by PAS staining as polymorphic unstructured materials in the 11 patients at frequencies of 2.6-53.4%. 80.4% of the UMOD accumulations were surrounded by halos. The detection rate of UMOD accumulations positively correlated with eGFR. Glomerulosclerosis was detected in 11/13 patients, with a frequency of 20.0 to 61.1%, while no cystic dilatations of glomeruli were detected.

CONCLUSIONS

Massively accumulated UMOD proteins in ADTKD-UMOD kidneys are detectable not only by immunostaining using anti-UMOD antibody but also by conventional methods such as PAS staining, although their detection is not easy. These findings can provide important clues to the diagnosis of ADTKD-UMOD. Kidney biopsy in ADTKD-UMOD may be more informative than assumed previously.

摘要

背景

常染色体显性遗传性肾小管间质性肾病(ADTKD)是一种由多种基因突变引起的罕见遗传性疾病。负责基因中突变的携带者通常在中年时就有发展为终末期肾病的风险。由于缺乏特定疾病的迹象,这种疾病的频率被认为被低估了。从尿调蛋白相关 ADTKD(ADTKD-UMOD)患者的肾脏中获得的病理发现被认为对其诊断没有特异性且信息量较少。这项研究旨在评估 ADTKD-UMOD 患者进行肾活检的意义。

方法

研究了过去接受过肾活检的 10 个家族的 13 名患者,他们携带 9 种已确定的尿调蛋白(UMOD)基因突变。除了 PAS 染色等常规方法外,他们的肾脏组织还被抗 UMOD 抗体染色。当阳性时,根据表达 UMOD 的肾小管总数计算可见 UMOD 蛋白积聚的肾小管数量。还评估和分析了间质纤维化、萎缩、炎症和肾小球硬化等病理发现。

结果

13 名患者均存在间质纤维化和肾小管萎缩。大多数伴有肾小管基底膜增厚和板层化的萎缩小管呈 UMOD 染色阴性。除了两位 C94F 突变患者外,所有患者的肾内质网中均观察到大量 UMOD 蛋白积聚。在 11 名患者中,UMOD 积聚物也可通过 PAS 染色作为多形性无结构物质检测到,频率为 2.6-53.4%。80.4%的 UMOD 积聚物周围有晕圈。UMOD 积聚物的检出率与 eGFR 呈正相关。13 名患者中有 11 名检测到肾小球硬化,频率为 20.0%至 61.1%,而未检测到肾小球囊性扩张。

结论

ADTKD-UMOD 肾脏中的大量积聚的 UMOD 蛋白不仅可以通过使用抗 UMOD 抗体的免疫染色检测到,还可以通过 PAS 染色等常规方法检测到,尽管检测并不容易。这些发现可为 ADTKD-UMOD 的诊断提供重要线索。ADTKD-UMOD 患者的肾活检可能比之前认为的更具信息量。

https://cdn.ncbi.nlm.nih.gov/pmc/blobs/6a2d/7784305/7d15c21e2b88/12882_2020_2169_Fig1_HTML.jpg

文献AI研究员

20分钟写一篇综述,助力文献阅读效率提升50倍。

立即体验

用中文搜PubMed

大模型驱动的PubMed中文搜索引擎

马上搜索

文档翻译

学术文献翻译模型,支持多种主流文档格式。

立即体验