Suppr超能文献

皮肤免疫治疗有效治疗对 PD1 阻断和 Braf 抑制剂耐药的多灶性黑色素瘤。

Skin immunization for effective treatment of multifocal melanoma refractory to PD1 blockade and Braf inhibitors.

机构信息

Department of Dermatology, University of Pittsburgh School of Medicine, Pittsburgh, Pennsylvania, USA.

Dietrich School of Arts & Sciences, University of Pittsburgh, Pittsburgh, Pennsylvania, USA.

出版信息

J Immunother Cancer. 2021 Jan;9(1). doi: 10.1136/jitc-2020-001179.

Abstract

BACKGROUND

Despite the remarkable benefits associated with the interventional treatment of melanomas (and other solid cancers) with immune checkpoint and Braf inhibitors (Brafi), most patients ultimately progress on therapy. The presence of multifocal/disseminated disease in patients increases their mortality risk. Hence, the development of novel strategies to effectively treat patients with melanomas that are resistant to anti-PD1 mAb (αPD1) and/or Brafi, particularly those with multifocal/disseminated disease remains a major unmet clinical need.

METHODS

Mice developing induced/spontaneous Braf/Pten melanomas were treated by cutaneous immunization with a DNA vaccine encoding the melanoma-associated antigen TRP2, with Brafi or αPD1 alone, or with a combination of these treatments. Tumor progression, tumor-infiltration by CD4 and CD8 T cells, and the development of TRP2-specific CD8 T cells were then monitored over time.

RESULTS

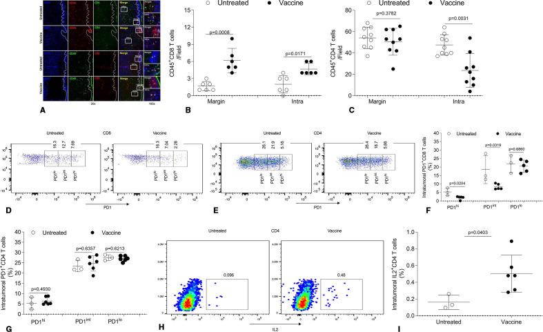
Vaccination led to durable antitumor immunity against PD1/Brafi-resistant melanomas in both single lesion and multifocal disease models, and it sensitized PD1-resistant melanomas to salvage therapy with αPD1. The therapeutic efficacy of the vaccine was associated with host skin-resident cells, the induction of a systemic, broadly reactive IFNγCD8 T cell repertoire, increased frequencies of CD8 TIL and reduced levels of PD1CD8 T cells. Extended survival was associated with improved TIL functionality, exemplified by the presence of enhanced levels of IFNγCD8 TIL and IL2CD4 TIL.

CONCLUSIONS

These data support the use of a novel genetic vaccine for the effective treatment of localized or multifocal melanoma refractory to conventional αPD1-based and/or Brafi-based (immune)therapy.

摘要

背景

尽管免疫检查点和 Braf 抑制剂(Brafi)介入治疗黑色素瘤(和其他实体瘤)具有显著益处,但大多数患者最终仍会出现治疗进展。患者存在多灶/播散性疾病会增加其死亡风险。因此,开发新的策略来有效治疗对抗 PD1 mAb(αPD1)和/或 Brafi 耐药的黑色素瘤患者,特别是那些有多灶/播散性疾病的患者,仍然是一个重大的未满足的临床需求。

方法

用编码黑色素瘤相关抗原 TRP2 的 DNA 疫苗对诱导/自发发生的 Braf/Pten 黑色素瘤小鼠进行皮肤免疫接种,单独使用 Brafi 或 αPD1,或联合使用这些治疗方法。然后,随时间监测肿瘤进展、CD4 和 CD8 T 细胞浸润肿瘤情况,以及 TRP2 特异性 CD8 T 细胞的发展情况。

结果

疫苗接种可对单一病灶和多灶疾病模型中的 PD1/Brafi 耐药黑色素瘤产生持久的抗肿瘤免疫,并使 PD1 耐药黑色素瘤对 αPD1 的挽救治疗敏感。疫苗的治疗效果与宿主皮肤驻留细胞相关,可诱导系统的、广泛反应的 IFNγCD8 T 细胞库,增加 CD8 TIL 的频率,并降低 PD1CD8 T 细胞的水平。延长的生存与改善的 TIL 功能相关,具体表现为增强的 IFNγCD8 TIL 和 IL2CD4 TIL 水平。

结论

这些数据支持使用新型基因疫苗有效治疗局部或多灶性黑色素瘤,这些黑色素瘤对常规基于αPD1 和/或 Brafi 的(免疫)治疗耐药。

https://cdn.ncbi.nlm.nih.gov/pmc/blobs/633c/7789470/1f106e7e68fa/jitc-2020-001179f01.jpg

文献AI研究员

20分钟写一篇综述,助力文献阅读效率提升50倍。

立即体验

用中文搜PubMed

大模型驱动的PubMed中文搜索引擎

马上搜索

文档翻译

学术文献翻译模型,支持多种主流文档格式。

立即体验