Suppr超能文献

转录和剪接在特定隔室中的空间整合维持了非洲锥虫中单基因抗原的表达。

Spatial integration of transcription and splicing in a dedicated compartment sustains monogenic antigen expression in African trypanosomes.

机构信息

Wellcome Centre for Anti-Infectives Research, School of Life Sciences, University of Dundee, Dundee, UK.

Department of Veterinary Sciences, Experimental Parasitology, Ludwig-Maximilians-Universität München, Munich, Germany.

出版信息

Nat Microbiol. 2021 Mar;6(3):289-300. doi: 10.1038/s41564-020-00833-4. Epub 2021 Jan 11.

Abstract

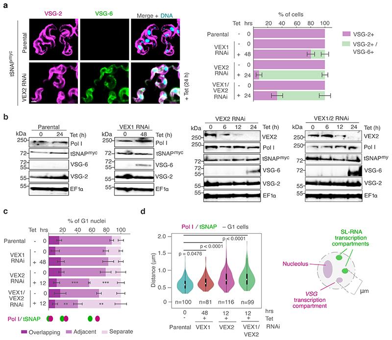
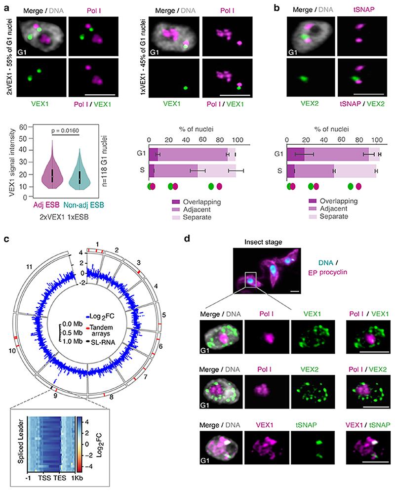
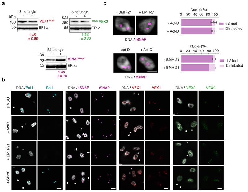
Highly selective gene expression is a key requirement for antigenic variation in several pathogens, allowing evasion of host immune responses and maintenance of persistent infections. African trypanosomes-parasites that cause lethal diseases in humans and livestock-employ an antigenic variation mechanism that involves monogenic antigen expression from a pool of >2,600 antigen-coding genes. In other eukaryotes, the expression of individual genes can be enhanced by mechanisms involving the juxtaposition of otherwise distal chromosomal loci in the three-dimensional nuclear space. However, trypanosomes lack classical enhancer sequences or regulated transcription initiation. In this context, it has remained unclear how genome architecture contributes to monogenic transcription elongation and transcript processing. Here, we show that the single expressed antigen-coding gene displays a specific inter-chromosomal interaction with a major messenger RNA splicing locus. Chromosome conformation capture (Hi-C) revealed a dynamic reconfiguration of this inter-chromosomal interaction upon activation of another antigen. Super-resolution microscopy showed the interaction to be heritable and splicing dependent. We found a specific association of the two genomic loci with the antigen exclusion complex, whereby VSG exclusion 1 (VEX1) occupied the splicing locus and VEX2 occupied the antigen-coding locus. Following VEX2 depletion, loss of monogenic antigen expression was accompanied by increased interactions between previously silent antigen genes and the splicing locus. Our results reveal a mechanism to ensure monogenic expression, where antigen transcription and messenger RNA splicing occur in a specific nuclear compartment. These findings suggest a new means of post-transcriptional gene regulation.

摘要

高度选择性的基因表达是几种病原体抗原变异的关键要求,使它们能够逃避宿主免疫反应并维持持续性感染。引起人类和家畜致命疾病的非洲锥虫——寄生虫——采用一种抗原变异机制,涉及从超过 2600 个抗原编码基因池中表达单基因抗原。在其他真核生物中,个体基因的表达可以通过将 otherwise distal chromosomal loci 在三维核空间中并置的机制来增强。然而,锥虫缺乏经典的增强子序列或调控的转录起始。在这种情况下,基因组结构如何促进单基因转录延伸和转录产物加工仍不清楚。在这里,我们表明,单个表达的抗原编码基因与主要的信使 RNA 剪接位点显示出特定的染色体间相互作用。染色体构象捕获(Hi-C)显示,在另一个抗原被激活时,这种染色体间相互作用发生了动态重排。超分辨率显微镜显示,这种相互作用是可遗传的,并且依赖于剪接。我们发现两个基因组位点与抗原排除复合物有特定的关联,其中 VSG 排除 1(VEX1)占据剪接位点,而 VEX2 占据抗原编码基因座。在 VEX2 耗尽后,单基因抗原表达的丧失伴随着先前沉默的抗原基因与剪接位点之间相互作用的增加。我们的研究结果揭示了一种确保单基因表达的机制,其中抗原转录和信使 RNA 剪接发生在特定的核区室中。这些发现表明了一种新的转录后基因调控方式。

https://cdn.ncbi.nlm.nih.gov/pmc/blobs/f372/7610597/07c648f88e45/EMS118390-f005.jpg

文献AI研究员

20分钟写一篇综述,助力文献阅读效率提升50倍。

立即体验

用中文搜PubMed

大模型驱动的PubMed中文搜索引擎

马上搜索

文档翻译

学术文献翻译模型,支持多种主流文档格式。

立即体验