Suppr超能文献

鉴定 3'UTR 基序对于体内 mRNA 向髓鞘定位的必要性。

Identification of 3' UTR motifs required for mRNA localization to myelin sheaths in vivo.

机构信息

Department of Pediatrics, University of Colorado Anschutz Medical Campus, Aurora, Colorado, United States of America.

Department of Biology, Winona State University, Winona, Minnesota, United States of America.

出版信息

PLoS Biol. 2021 Jan 13;19(1):e3001053. doi: 10.1371/journal.pbio.3001053. eCollection 2021 Jan.

Abstract

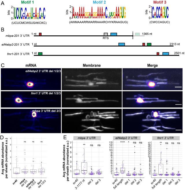
Myelin is a specialized membrane produced by oligodendrocytes that insulates and supports axons. Oligodendrocytes extend numerous cellular processes, as projections of the plasma membrane, and simultaneously wrap multiple layers of myelin membrane around target axons. Notably, myelin sheaths originating from the same oligodendrocyte are variable in size, suggesting local mechanisms regulate myelin sheath growth. Purified myelin contains ribosomes and hundreds of mRNAs, supporting a model that mRNA localization and local protein synthesis regulate sheath growth and maturation. However, the mechanisms by which mRNAs are selectively enriched in myelin sheaths are unclear. To investigate how mRNAs are targeted to myelin sheaths, we tested the hypothesis that transcripts are selected for myelin enrichment through consensus sequences in the 3' untranslated region (3' UTR). Using methods to visualize mRNA in living zebrafish larvae, we identified candidate 3' UTRs that were sufficient to localize mRNA to sheaths and enriched near growth zones of nascent membrane. We bioinformatically identified motifs common in 3' UTRs from 3 myelin-enriched transcripts and determined that these motifs are required and sufficient in a context-dependent manner for mRNA transport to myelin sheaths. Finally, we show that 1 motif is highly enriched in the myelin transcriptome, suggesting that this sequence is a global regulator of mRNA localization during developmental myelination.

摘要

髓鞘是少突胶质细胞产生的一种特殊膜,它起到绝缘和支持轴突的作用。少突胶质细胞延伸出许多细胞突起,作为质膜的突出物,并同时将多层髓鞘膜包裹在目标轴突周围。值得注意的是,来自同一少突胶质细胞的髓鞘鞘是可变的,这表明局部机制调节髓鞘鞘的生长。纯化的髓鞘含有核糖体和数百种 mRNA,支持这样一种模型,即 mRNA 的定位和局部蛋白质合成调节鞘的生长和成熟。然而,mRNA 被选择性富集在髓鞘中的机制尚不清楚。为了研究 mRNA 如何靶向髓鞘,我们测试了这样一种假设,即通过 3'非翻译区(3'UTR)中的保守序列选择用于髓鞘富集的转录本。我们使用在活体斑马鱼幼虫中可视化 mRNA 的方法,鉴定了足以将 mRNA 定位到鞘中的候选 3'UTR,并在新生膜的生长区附近富集。我们在 3 个富含髓鞘的转录本的 3'UTR 中鉴定出了共同的基序,并确定这些基序在依赖上下文的方式中对于 mRNA 向髓鞘的运输是必需和充分的。最后,我们表明 1 个基序在髓鞘转录组中高度富集,这表明该序列是发育性髓鞘形成过程中 mRNA 定位的全局调节剂。

https://cdn.ncbi.nlm.nih.gov/pmc/blobs/b0a4/7837478/aa25abbf7287/pbio.3001053.g002.jpg

文献AI研究员

20分钟写一篇综述,助力文献阅读效率提升50倍。

立即体验

用中文搜PubMed

大模型驱动的PubMed中文搜索引擎

马上搜索

文档翻译

学术文献翻译模型,支持多种主流文档格式。

立即体验