Suppr超能文献

XBP1的下调通过抑制HRD1介导的NRF2泛素化保护肾脏免受缺血再灌注损伤。

Downregulation of XBP1 protects kidney against ischemia-reperfusion injury via suppressing HRD1-mediated NRF2 ubiquitylation.

作者信息

Zhang Ji, Zhang Jiasi, Ni Haiqiang, Wang Yanfeng, Katwal Gaurav, Zhao Yuanyuan, Sun Kailun, Wang Mengqin, Li Qingwen, Chen Gen, Miao Yun, Gong Nianqiao

机构信息

Institute of Organ Transplantation, Tongji Hospital, Tongji Medical College, Huazhong University of Science and Technology, Key Laboratory of Organ Transplantation of Ministry of Education, National Health Commission and Chinese Academy of Medical Sciences, 430030, Wuhan, Hubei, China.

Organ Transplant Department, Nanfang Hospital, Southern Medical University, 510515, Guangzhou, China.

出版信息

Cell Death Discov. 2021 Mar 2;7(1):44. doi: 10.1038/s41420-021-00425-z.

Abstract

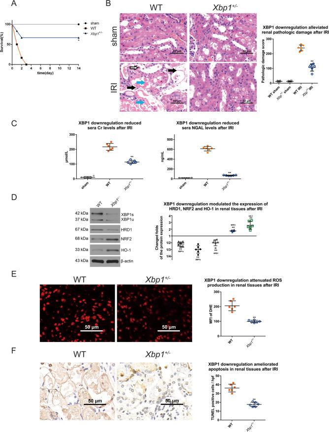
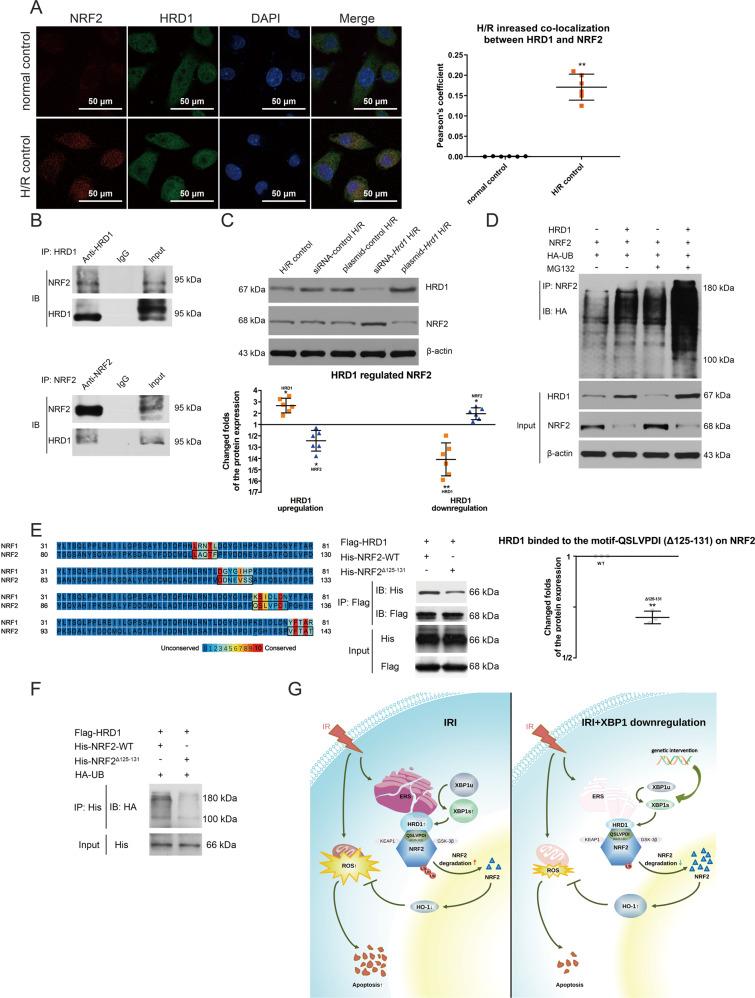
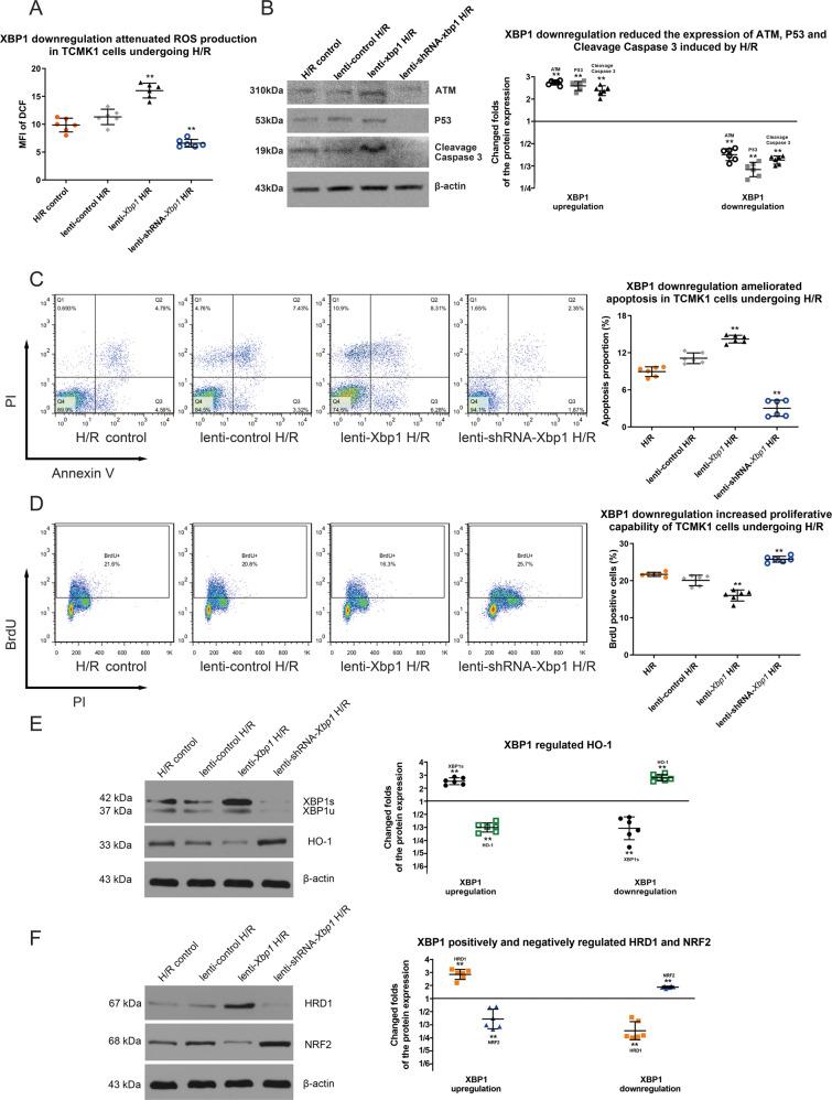
Ischemia-reperfusion (IR) injury to the renal epithelia is associated with endoplasmic reticulum stress (ERS) and mitochondria dysfunction, which lead to oxidative stress-induced acute kidney injury (AKI). X-box binding protein 1 (XBP1), an ERS response protein, could play a prominent role in IR-induced AKI. In this study, we revealed that XBP1 and its downstream target HRD1 participated in the crosstalk between ERS and mitochondrial dysfunction via regulation of NRF2/HO-1-mediated reactive oxidative stress (ROS) signaling. Mice with reduced expression of XBP1 (heterozygous Xbp1±) were resistant to IR-induced AKI due to the enhanced expression of NRF2/HO-1 and diminished ROS in the kidney. Downregulation of XBP1 in renal epithelial cells resulted in reduced HRD1 expression and increased NRF2/HO-1 function, accompanied with enhanced antioxidant response. Furthermore, HRD1 served as an E3-ligase to facilitate the downregulation of NRF2 through ubiquitination-degradation pathway, and the QSLVPDI motif on NRF2 constituted an active site for its interaction with HRD1. Thus, our findings unveil an important physiological role for XBP1/HRD1 in modulating the antioxidant function of NRF2/HO-1 in the kidney under stress conditions. Molecular therapeutic approaches that target XBP1-HRD1-NRF2 pathway may represent potential effective means to treat renal IR injury.

摘要

肾上皮细胞的缺血再灌注(IR)损伤与内质网应激(ERS)和线粒体功能障碍有关,这会导致氧化应激诱导的急性肾损伤(AKI)。X盒结合蛋白1(XBP1)是一种ERS反应蛋白,可能在IR诱导的AKI中起重要作用。在本研究中,我们发现XBP1及其下游靶点HRD1通过调节NRF2/HO-1介导的活性氧化应激(ROS)信号传导参与了ERS和线粒体功能障碍之间的相互作用。XBP1表达降低的小鼠(杂合子Xbp1±)对IR诱导的AKI具有抗性,这是由于肾脏中NRF2/HO-1表达增强和ROS减少。肾上皮细胞中XBP1的下调导致HRD1表达降低和NRF2/HO-1功能增加,同时抗氧化反应增强。此外,HRD1作为一种E3连接酶,通过泛素化降解途径促进NRF2的下调,NRF2上的QSLVPDI基序构成了其与HRD1相互作用的活性位点。因此,我们的研究结果揭示了XBP1/HRD1在应激条件下调节肾脏中NRF2/HO-1抗氧化功能的重要生理作用。靶向XBP1-HRD1-NRF2途径的分子治疗方法可能是治疗肾脏IR损伤的潜在有效手段。

https://cdn.ncbi.nlm.nih.gov/pmc/blobs/da65/7925512/4b43c98c7b4d/41420_2021_425_Fig1_HTML.jpg

文献AI研究员

20分钟写一篇综述,助力文献阅读效率提升50倍。

立即体验

用中文搜PubMed

大模型驱动的PubMed中文搜索引擎

马上搜索

文档翻译

学术文献翻译模型,支持多种主流文档格式。

立即体验