Suppr超能文献

烟酰胺腺嘌呤二核苷酸(NAD)补充通过改善线粒体自噬预防共济失调毛细血管扩张症中由干扰素基因刺激蛋白(STING)诱导的衰老。

NAD supplementation prevents STING-induced senescence in ataxia telangiectasia by improving mitophagy.

作者信息

Yang Beimeng, Dan Xiuli, Hou Yujun, Lee Jong-Hyuk, Wechter Noah, Krishnamurthy Sudarshan, Kimura Risako, Babbar Mansi, Demarest Tyler, McDevitt Ross, Zhang Shiliang, Zhang Yongqing, Mattson Mark P, Croteau Deborah L, Bohr Vilhelm A

机构信息

Laboratory of Molecular Gerontology, National Institute on Aging, NIH, Baltimore, MD, USA.

Mouse Phenotyping Unit, National Institute on Aging, NIH, Baltimore, MD, USA.

出版信息

Aging Cell. 2021 Apr;20(4):e13329. doi: 10.1111/acel.13329. Epub 2021 Mar 18.

Abstract

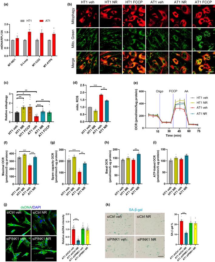
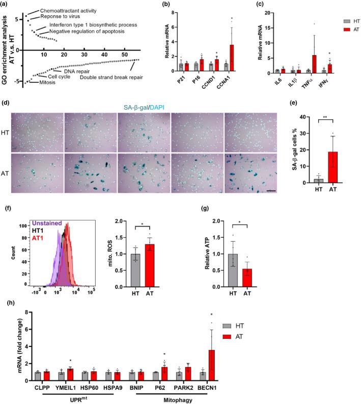
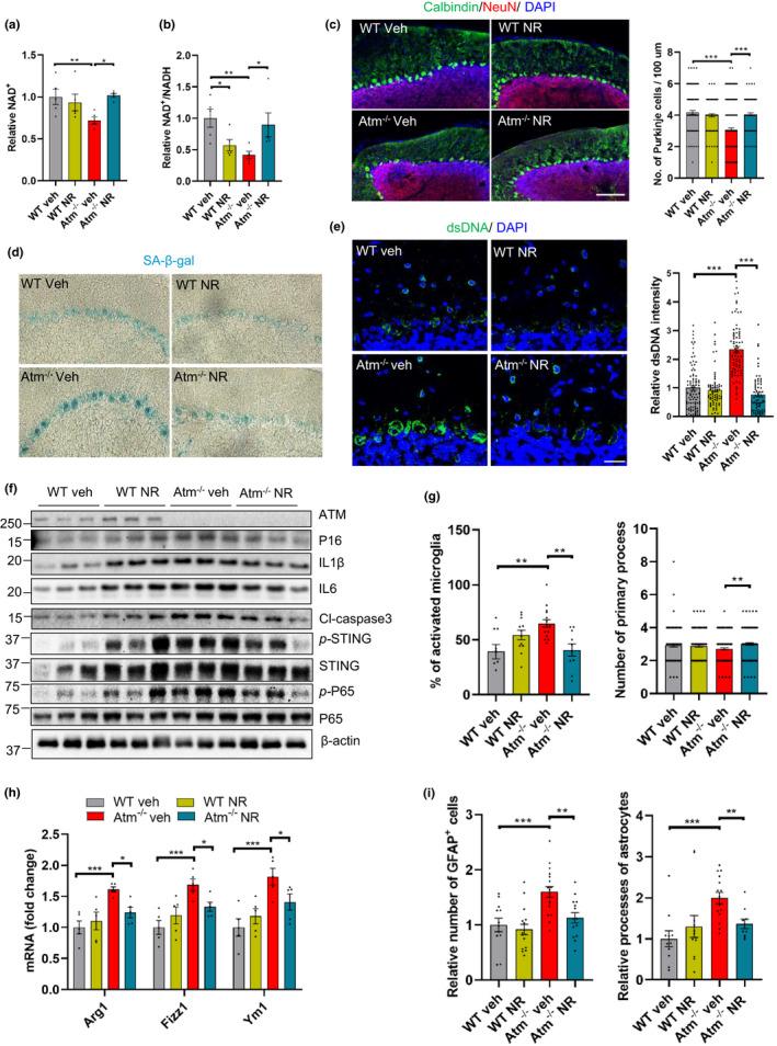
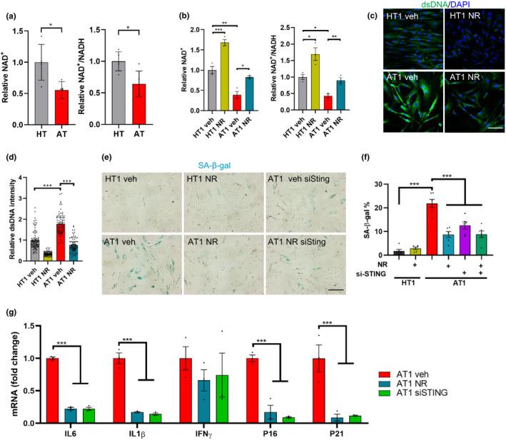
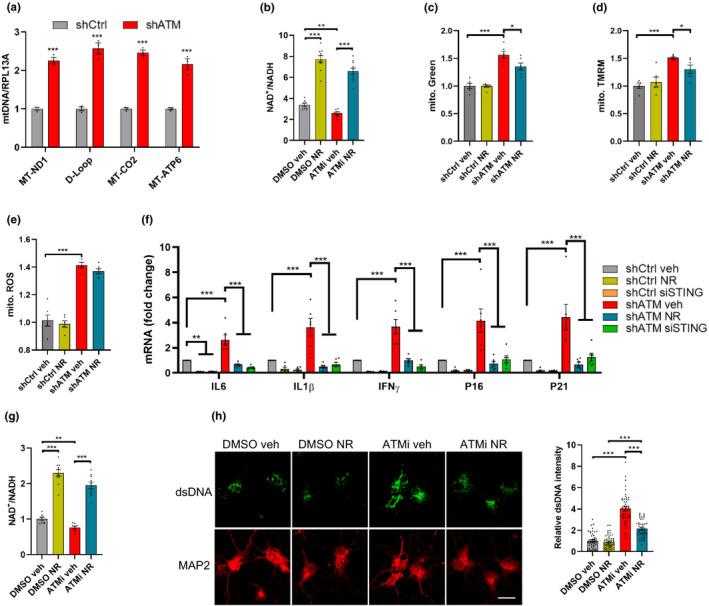
Senescence phenotypes and mitochondrial dysfunction are implicated in aging and in premature aging diseases, including ataxia telangiectasia (A-T). Loss of mitochondrial function can drive age-related decline in the brain, but little is known about whether improving mitochondrial homeostasis alleviates senescence phenotypes. We demonstrate here that mitochondrial dysfunction and cellular senescence with a senescence-associated secretory phenotype (SASP) occur in A-T patient fibroblasts, and in ATM-deficient cells and mice. Senescence is mediated by stimulator of interferon genes (STING) and involves ectopic cytoplasmic DNA. We further show that boosting intracellular NAD levels with nicotinamide riboside (NR) prevents senescence and SASP by promoting mitophagy in a PINK1-dependent manner. NR treatment also prevents neurodegeneration, suppresses senescence and neuroinflammation, and improves motor function in Atm mice. Our findings suggest a central role for mitochondrial dysfunction-induced senescence in A-T pathogenesis, and that enhancing mitophagy as a potential therapeutic intervention.

摘要

衰老表型和线粒体功能障碍与衰老以及早衰性疾病有关,包括共济失调毛细血管扩张症(A-T)。线粒体功能丧失会导致大脑中与年龄相关的衰退,但关于改善线粒体稳态是否能减轻衰老表型却知之甚少。我们在此证明,A-T患者成纤维细胞、ATM缺陷细胞和小鼠中会出现线粒体功能障碍以及具有衰老相关分泌表型(SASP)的细胞衰老。衰老是由干扰素基因刺激物(STING)介导的,涉及异位细胞质DNA。我们进一步表明,用烟酰胺核糖(NR)提高细胞内NAD水平可通过以PINK1依赖的方式促进线粒体自噬来预防衰老和SASP。NR治疗还可预防Atm小鼠的神经退行性变,抑制衰老和神经炎症,并改善运动功能。我们的研究结果表明线粒体功能障碍诱导的衰老在A-T发病机制中起核心作用,并且增强线粒体自噬是一种潜在的治疗干预措施。

https://cdn.ncbi.nlm.nih.gov/pmc/blobs/6dc5/8045911/69bea94b86e8/ACEL-20-e13329-g007.jpg

文献AI研究员

20分钟写一篇综述,助力文献阅读效率提升50倍。

立即体验

用中文搜PubMed

大模型驱动的PubMed中文搜索引擎

马上搜索

文档翻译

学术文献翻译模型,支持多种主流文档格式。

立即体验