Suppr超能文献

Lin28,一种主要的翻译重编程因子,通过其冷休克结构域获得与 YB-1 结合的 mRNA。

Lin28, a major translation reprogramming factor, gains access to YB-1-packaged mRNA through its cold-shock domain.

机构信息

SABNP, Univ Evry, INSERM U1204, Université Paris-Saclay, 91025, Evry, France.

SYNSIGHT, 4 rue Pierre Fontaine, 91058, Evry, France.

出版信息

Commun Biol. 2021 Mar 19;4(1):359. doi: 10.1038/s42003-021-01862-3.

Abstract

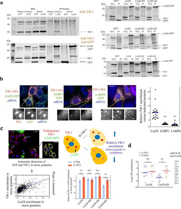
The RNA-binding protein Lin28 (Lin28a) is an important pluripotency factor that reprograms translation and promotes cancer progression. Although Lin28 blocks let-7 microRNA maturation, Lin28 also binds to a large set of cytoplasmic mRNAs directly. However, how Lin28 regulates the processing of many mRNAs to reprogram global translation remains unknown. We show here, using a structural and cellular approach, a mixing of Lin28 with YB-1 (YBX1) in the presence of mRNA owing to their cold-shock domain, a conserved β-barrel structure that binds to ssRNA cooperatively. In contrast, the other RNA binding-proteins without cold-shock domains tested, HuR, G3BP-1, FUS and LARP-6, did not mix with YB-1. Given that YB-1 is the core component of dormant mRNPs, a model in which Lin28 gains access to mRNPs through its co-association with YB-1 to mRNA may provide a means for Lin28 to reprogram translation. We anticipate that the translational plasticity provided by mRNPs may contribute to Lin28 functions in development and adaptation of cancer cells to an adverse environment.

摘要

RNA 结合蛋白 Lin28(Lin28a)是一种重要的多能性因子,可重新编程翻译并促进癌症进展。尽管 Lin28 阻断了 let-7 微 RNA 的成熟,但 Lin28 也直接与一大组细胞质 mRNA 结合。然而,Lin28 如何调节许多 mRNA 的加工以重新编程全局翻译仍然未知。在这里,我们使用结构和细胞方法表明,由于其冷休克结构域,Lin28 与 YB-1(YBX1)在 mRNA 存在下混合,这是一种保守的β桶结构,可协同结合 ssRNA。相比之下,其他没有冷休克结构域的 RNA 结合蛋白,HuR、G3BP-1、FUS 和 LARP-6,没有与 YB-1 混合。鉴于 YB-1 是休眠 mRNP 的核心成分,Lin28 通过与 YB-1 共同结合到 mRNA 上进入 mRNP 的模型可能为 Lin28 重新编程翻译提供了一种手段。我们预计,mRNP 提供的翻译可塑性可能有助于 Lin28 在发育和癌细胞适应不利环境中的功能。

https://cdn.ncbi.nlm.nih.gov/pmc/blobs/bd58/7979924/3f71990c6b79/42003_2021_1862_Fig1_HTML.jpg

文献AI研究员

20分钟写一篇综述,助力文献阅读效率提升50倍。

立即体验

用中文搜PubMed

大模型驱动的PubMed中文搜索引擎

马上搜索

文档翻译

学术文献翻译模型,支持多种主流文档格式。

立即体验