Suppr超能文献

口服靶向 Cyp46A1 的已上市药物可延长朊病毒感染小鼠的存活时间。

Oral administration of repurposed drug targeting Cyp46A1 increases survival times of prion infected mice.

机构信息

Calgary Prion Research Unit, Department of Comparative Biology and Experimental Medicine, Faculty of Veterinary Medicine, University of Calgary, 3330 Hospital Drive NW, Calgary, AB, T2N 4Z6, Canada.

Hotchkiss Brain Institute, Cumming School of Medicine, University of Calgary, Calgary, AB, Canada.

出版信息

Acta Neuropathol Commun. 2021 Apr 1;9(1):58. doi: 10.1186/s40478-021-01162-1.

Abstract

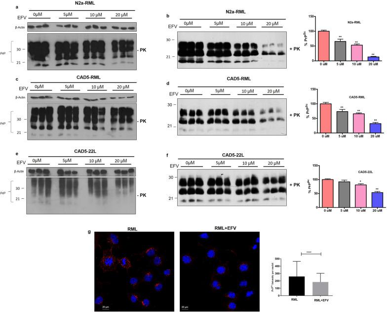
Prion diseases are fatal, infectious, and incurable neurodegenerative disorders caused by misfolding of the cellular prion protein (PrP) into the infectious isoform (PrP). In humans, there are sporadic, genetic and infectious etiologies, with sporadic Creutzfeldt-Jakob disease (sCJD) being the most common form. Currently, no treatment is available for prion diseases. Cellular cholesterol is known to impact prion conversion, which in turn results in an accumulation of cholesterol in prion-infected neurons. The major elimination of brain cholesterol is achieved by the brain specific enzyme, cholesterol 24-hydroxylase (CYP46A1). Cyp46A1 converts cholesterol into 24(S)-hydroxycholesterol, a membrane-permeable molecule that exits the brain. We have demonstrated for the first time that Cyp46A1 levels are reduced in the brains of prion-infected mice at advanced disease stage, in prion-infected neuronal cells and in post-mortem brains of sCJD patients. We have employed the Cyp46A1 activator efavirenz (EFV) for treatment of prion-infected neuronal cells and mice. EFV is an FDA approved anti-HIV medication effectively crossing the blood brain barrier and has been used for decades to chronically treat HIV patients. EFV significantly mitigated PrP propagation in prion-infected cells while preserving physiological PrP and lipid raft integrity. Notably, oral administration of EFV treatment chronically at very low dosage starting weeks to months after intracerebral prion inoculation of mice significantly prolonged the lifespan of animals. In summary, our results suggest that Cyp46A1 as a novel therapeutic target and that its activation through repurposing the anti-retroviral medication EFV might be valuable treatment approach for prion diseases.

摘要

朊病毒病是由细胞朊蛋白(PrP)错误折叠为感染性异构体(PrP)引起的致命、传染性和不可治愈的神经退行性疾病。在人类中,有散发性、遗传性和传染性病因,其中散发性克雅氏病(sCJD)是最常见的形式。目前,尚无治疗朊病毒病的方法。已知细胞胆固醇会影响朊病毒的转化,从而导致感染朊病毒的神经元中胆固醇的积累。大脑胆固醇的主要清除是通过大脑特异性酶胆固醇 24-羟化酶(CYP46A1)实现的。Cyp46A1 将胆固醇转化为 24(S)-羟胆固醇,这是一种可穿透细胞膜的分子,从大脑中排出。我们首次证明,在疾病晚期的朊病毒感染小鼠、朊病毒感染的神经元细胞和 sCJD 患者的死后大脑中,Cyp46A1 水平降低。我们已经使用 Cyp46A1 激活剂 efavirenz(EFV)治疗朊病毒感染的神经元细胞和小鼠。EFV 是一种 FDA 批准的抗 HIV 药物,能有效地穿过血脑屏障,已被用于数十年慢性治疗 HIV 患者。EFV 显著减轻了朊病毒感染细胞中的 PrP 传播,同时保持了生理 PrP 和脂质筏的完整性。值得注意的是,口服 EFV 治疗,在脑内接种朊病毒后数周到数月开始,以非常低的剂量长期给药,显著延长了动物的寿命。总之,我们的结果表明,Cyp46A1 作为一种新的治疗靶点,通过重新利用抗逆转录病毒药物 EFV 激活它可能是朊病毒病的有价值的治疗方法。

https://cdn.ncbi.nlm.nih.gov/pmc/blobs/0c6a/8017635/b2ad3b5dece3/40478_2021_1162_Fig1_HTML.jpg

文献AI研究员

20分钟写一篇综述,助力文献阅读效率提升50倍。

立即体验

用中文搜PubMed

大模型驱动的PubMed中文搜索引擎

马上搜索

文档翻译

学术文献翻译模型,支持多种主流文档格式。

立即体验