Suppr超能文献

保护SH-SY5Y细胞免受邻苯二甲酸二(2-乙基己基)酯诱导的内质网应激和细胞凋亡。

Protects SH-SY5YCells from DEHP-Induced Endoplasmic Reticulum Stress and Apoptosis.

作者信息

Amara Ines, Ontario Maria Laura, Scuto Maria, Lo Dico Gianluigi Maria, Sciuto Sebastiano, Greco Valentina, Abid-Essefi Salwa, Signorile Anna, Salinaro Angela Trovato, Calabrese Vittorio

机构信息

Department of Biomedical and Biotechnological Sciences, University of Catania, Torre Biologica, Via Santa Sofia 97, 95125 Catania, Italy.

Laboratory for Research on Biologically Compatible Compounds, Faculty of Dental Medicine, University of Monastir, Rue Avicenne, Monastir 5019, Tunisia.

出版信息

Antioxidants (Basel). 2021 Mar 29;10(4):532. doi: 10.3390/antiox10040532.

Abstract

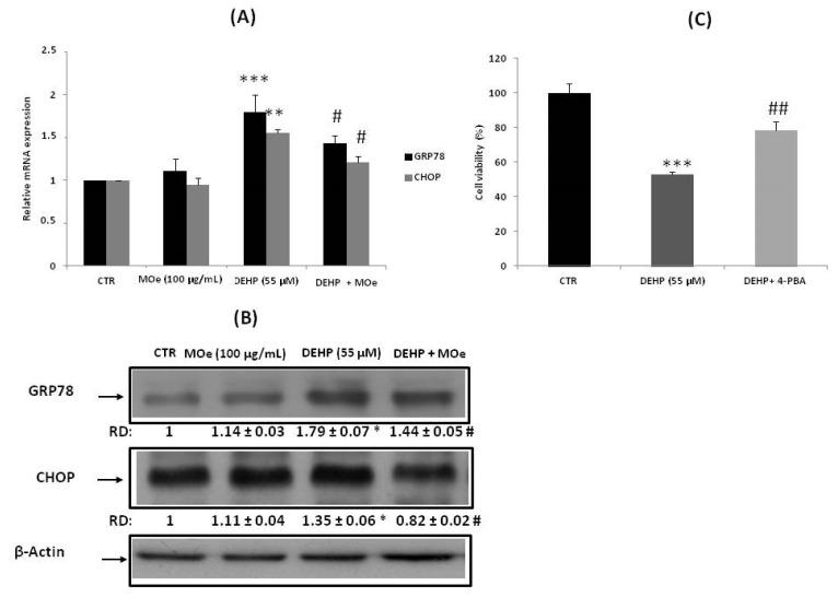
(MO) is a medicinal plant that has been shown to possess antioxidant, anticarcinogenic and antibiotic activities. In a rat model, MO extract (MOe) has been shown to have a protective effect against brain damage and memory decline. As an extending study, here, we have examined the protective effect of MOe against oxidative stress and apoptosis caused in human neuroblastome (SH-SY5Y) cells by di-(2-ethylhexyl) phthalate (DEHP), a plasticizer known to induce neurotoxicity. Our data show that MOe prevents oxidative damage by lowering reactive oxygen species (ROS) formation, restoring mitochondrial respiratory chain complex activities, and, in addition, by modulating the expression of vitagenes, i.e., antioxidant proteins Nrf2 and HO-1. Moreover, MOe prevented neuronal damage by partly inhibiting endoplasmic reticulum (ER) stress response, as indicated by decreased expression of CCAAT-enhancer-binding protein homologous protein (CHOP) and Glucose-regulated protein 78 (GRP78) proteins. MOe also protected SH-SY5Y cells from DEHP-induced apoptosis, preserving mitochondrial membrane permeability and caspase-3 activation. Our findings provide insight into understanding of molecular mechanisms involved in neuroprotective effects by MOe against DEHP damage.

摘要

莫能菌素(MO)是一种药用植物,已被证明具有抗氧化、抗癌和抗菌活性。在大鼠模型中,莫能菌素提取物(MOe)已被证明对脑损伤和记忆衰退具有保护作用。作为一项拓展研究,在此我们研究了MOe对邻苯二甲酸二(2-乙基己基)酯(DEHP)诱导的人神经母细胞瘤(SH-SY5Y)细胞氧化应激和细胞凋亡的保护作用,DEHP是一种已知可诱导神经毒性的增塑剂。我们的数据表明,MOe通过降低活性氧(ROS)的形成、恢复线粒体呼吸链复合物活性,以及调节维生素相关基因(即抗氧化蛋白Nrf2和HO-1)的表达来预防氧化损伤。此外,如CCAAT增强子结合蛋白同源蛋白(CHOP)和葡萄糖调节蛋白78(GRP78)蛋白表达降低所示,MOe通过部分抑制内质网(ER)应激反应来预防神经元损伤。MOe还保护SH-SY5Y细胞免受DEHP诱导的细胞凋亡,维持线粒体膜通透性和半胱天冬酶-3激活。我们的研究结果为理解MOe对DEHP损伤的神经保护作用所涉及的分子机制提供了见解。

https://cdn.ncbi.nlm.nih.gov/pmc/blobs/9192/8065568/1109f1ed37fe/antioxidants-10-00532-g001.jpg

文献AI研究员

20分钟写一篇综述,助力文献阅读效率提升50倍。

立即体验

用中文搜PubMed

大模型驱动的PubMed中文搜索引擎

马上搜索

文档翻译

学术文献翻译模型,支持多种主流文档格式。

立即体验