Suppr超能文献

精氨酸琥珀酸合成酶 1 通过激活 PERK/eIF2α/ATF4/CHOP 轴抑制肝癌肿瘤进展。

Argininosuccinate synthase 1 suppresses tumor progression through activation of PERK/eIF2α/ATF4/CHOP axis in hepatocellular carcinoma.

机构信息

Cancer Biology Research Laboratory, Institut Pasteur Korea, 16, Daewangpangyo-ro 712 beon-gil, Bundang-gu, Seongnam-si, Gyeonggi-do, 463-400, Republic of Korea.

Medicinal Chemistry, Institut Pasteur Korea, 16, Daewangpangyo-ro 712 beon-gil, Bundang-gu, Seongnam-si, Gyeonggi-do, 13488, South Korea.

出版信息

J Exp Clin Cancer Res. 2021 Apr 10;40(1):127. doi: 10.1186/s13046-021-01912-y.

Abstract

BACKGROUND

Hepatocellular carcinoma (HCC) is one of the most common malignant cancers worldwide, and liver cancer has increased in mortality due to liver cancer because it was detected at an advanced stages in patients with liver dysfunction, making HCC a lethal cancer. Accordingly, we aim to new targets for HCC drug discovery using HCC tumor spheroids.

METHODS

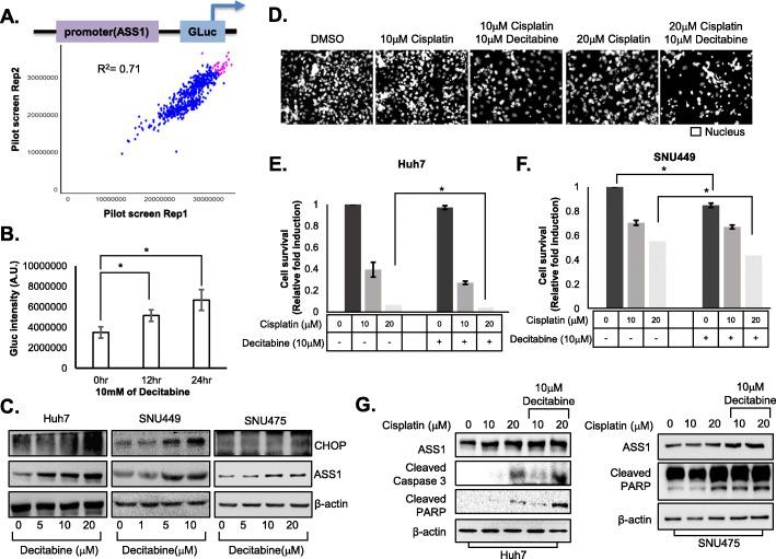
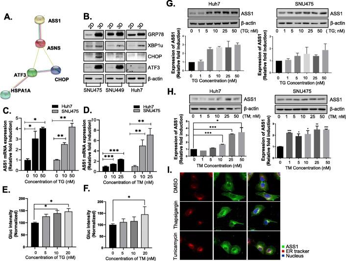
Our comparative proteomic analysis of HCC cells grown in culture as monolayers (2D) and spheroids (3D) revealed that argininosuccinate synthase 1 (ASS1) expression was higher in 3D cells than in 2D cells due to upregulated endoplasmic reticulum (ER) stress responses. We investigated the clinical value of ASS1 in Korean patients with HCC. The mechanism underlying ASS1-mediated tumor suppression was investigated in HCC spheroids. ASS1-mediated improvement of chemotherapy efficiency was observed using high content screening in an HCC xenograft mouse model.

RESULTS

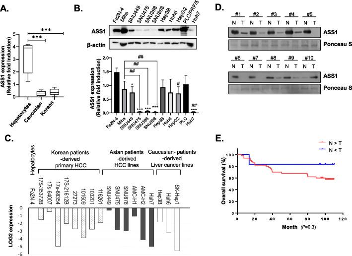
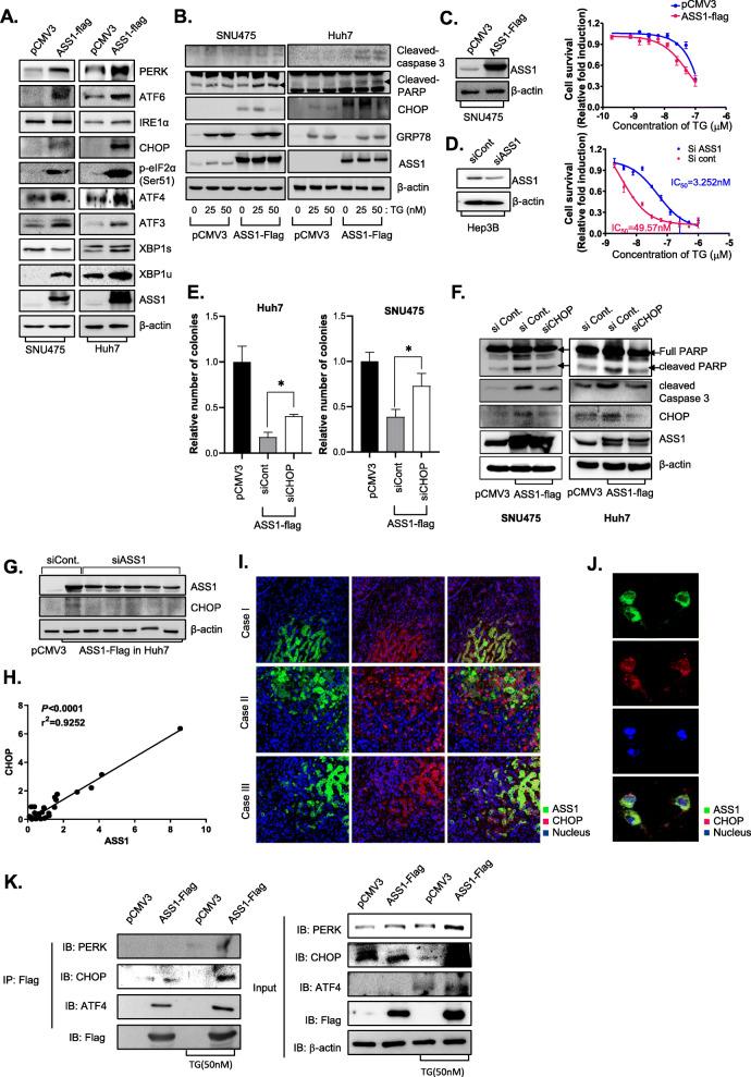
Studies of tumor tissue from Korean HCC patients showed that, although ASS1 expression was low in most samples, high levels of ASS1 were associated with favorable overall survival of patients. Here, we found that bidirectional interactions between ASS1 ER stress responses in HCC-derived multicellular tumor spheroids can limit HCC progression. ASS1 overexpression effectively inhibited tumor growth and enhanced the efficacy of in vitro and in vivo anti-HCC combination chemotherapy via activation of the PERK/eIF2α/ATF4/CHOP axis, but was not dependent on the status of p53 and arginine metabolism.

CONCLUSIONS

These results demonstrate the critical functional roles for the arginine metabolism-independent tumor suppressor activity of ASS1 in HCC and suggest that upregulating ASS1 in these tumors is a potential strategy in HCC cells with low ASS1 expression.

摘要

背景

肝细胞癌(HCC)是全球最常见的恶性癌症之一,由于肝功能障碍患者在晚期才发现肝癌,导致肝癌死亡率上升,使 HCC 成为一种致命的癌症。因此,我们旨在使用 HCC 肿瘤球体为 HCC 药物发现寻找新的靶点。

方法

我们对在培养物中以单层(2D)和球体(3D)形式生长的 HCC 细胞进行比较蛋白质组学分析,结果表明由于内质网(ER)应激反应上调,ASS1 在 3D 细胞中的表达高于 2D 细胞。我们研究了 ASS1 在韩国 HCC 患者中的临床价值。在 HCC 球体中研究了 ASS1 介导的肿瘤抑制的机制。在 HCC 异种移植小鼠模型中使用高内涵筛选观察 ASS1 介导的化疗效率改善。

结果

对韩国 HCC 患者的肿瘤组织研究表明,尽管大多数样本中 ASS1 表达水平较低,但高水平的 ASS1 与患者的总生存时间延长相关。在这里,我们发现 HCC 衍生的多细胞肿瘤球体中 ASS1 ER 应激反应的双向相互作用可以限制 HCC 的进展。ASS1 过表达通过激活 PERK/eIF2α/ATF4/CHOP 轴,有效地抑制肿瘤生长并增强体外和体内抗 HCC 联合化疗的疗效,但不依赖于 p53 状态和精氨酸代谢。

结论

这些结果表明,ASS1 的这种精氨酸代谢非依赖性肿瘤抑制活性在 HCC 中具有关键的功能作用,并表明在 ASS1 表达水平较低的 HCC 细胞中上调 ASS1 是一种潜在的策略。

https://cdn.ncbi.nlm.nih.gov/pmc/blobs/6897/8035787/d7bc7d57449d/13046_2021_1912_Fig1_HTML.jpg

文献AI研究员

20分钟写一篇综述,助力文献阅读效率提升50倍。

立即体验

用中文搜PubMed

大模型驱动的PubMed中文搜索引擎

马上搜索

文档翻译

学术文献翻译模型,支持多种主流文档格式。

立即体验