Suppr超能文献

人诱导多能干细胞衍生的肝类器官和肝细胞的联合模型揭示了 DGUOK 突变型 mtDNA 耗竭综合征中的铁死亡。

A Combined Model of Human iPSC-Derived Liver Organoids and Hepatocytes Reveals Ferroptosis in DGUOK Mutant mtDNA Depletion Syndrome.

机构信息

University of Science and Technology of China Bioland Laboratory (Guangzhou Regenerative Medicine and Health Guangdong Laboratory) Joint School of Life Sciences Guangzhou Institutes of Biomedicine and Health Chinese Academy of Sciences Guangzhou Medical University Hefei 230026 China.

CAS Key Laboratory of Regenerative Biology Guangdong Provincial Key Laboratory of Stem Cell and Regenerative Medicine Institute for Stem Cell and Regeneration Guangzhou Institutes of Biomedicine and Health University of Chinese Academy of Sciences Chinese Academy of Sciences Guangzhou 510530 China.

出版信息

Adv Sci (Weinh). 2021 Mar 8;8(10):2004680. doi: 10.1002/advs.202004680. eCollection 2021 May.

Abstract

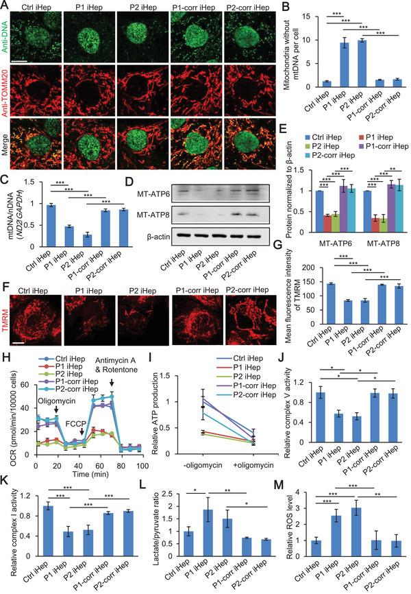
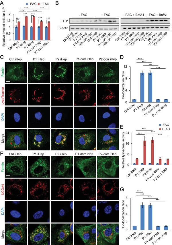
Mitochondrial DNA depletion syndrome (MDS) is a group of severe inherited disorders caused by mutations in genes, such as deoxyribonucleoside kinase (DGUOK). A great majority of DGUOK mutant MDS patients develop iron overload progressing to severe liver failure. However, the pathological mechanisms connecting iron overload and hepatic damage remains uncovered. Here, two patients' skin fibroblasts are reprogrammed to induced pluripotent stem cells (iPSCs) and then corrected by CRISPR/Cas9. Patient-specific iPSCs and corrected iPSCs-derived high purity hepatocyte organoids (iHep-Orgs) and hepatocyte-like cells (iHep) are generated as cellular models for studying hepatic pathology. DGUOK mutant iHep and iHep-Orgs, but not control and corrected one, are more sensitive to iron overload-induced ferroptosis, which can be rescued by N-Acetylcysteine (NAC). Mechanically, this ferroptosis is a process mediated by nuclear receptor co-activator 4 (NCOA4)-dependent degradation of ferritin in lysosome and cellular labile iron release. This study reveals the underlying pathological mechanisms and the viable therapeutic strategies of this syndrome, and is the first pure iHep-Orgs model in hereditary liver diseases.

摘要

线粒体 DNA 耗竭综合征 (MDS) 是一组由基因突变引起的严重遗传性疾病,如脱氧核苷激酶 (DGUOK)。大多数 DGUOK 突变 MDS 患者会发生铁过载,进而发展为严重的肝衰竭。然而,铁过载和肝损伤之间的病理机制仍未被揭示。在这里,两名患者的皮肤成纤维细胞被重编程为诱导多能干细胞 (iPSC),然后用 CRISPR/Cas9 进行校正。以患者特异性 iPSC 和校正后的 iPSC 衍生的高纯度肝细胞类器官 (iHep-Orgs) 和肝细胞样细胞 (iHep) 作为研究肝病理的细胞模型。与对照和校正组相比,DGUK 突变的 iHep 和 iHep-Orgs 对铁过载诱导的铁死亡更为敏感,而 N-乙酰半胱氨酸 (NAC) 可挽救这种铁死亡。从机制上讲,这种铁死亡是由核受体共激活因子 4 (NCOA4) 介导的溶酶体中铁蛋白的降解和细胞不稳定铁释放所介导的过程。本研究揭示了该综合征的潜在病理机制和可行的治疗策略,并且是遗传性肝病中首个纯 iHep-Orgs 模型。

https://cdn.ncbi.nlm.nih.gov/pmc/blobs/cfb0/8132052/a1014afc68a1/ADVS-8-2004680-g006.jpg

文献AI研究员

20分钟写一篇综述,助力文献阅读效率提升50倍。

立即体验

用中文搜PubMed

大模型驱动的PubMed中文搜索引擎

马上搜索

文档翻译

学术文献翻译模型,支持多种主流文档格式。

立即体验