Suppr超能文献

氧化锌纳米颗粒可改善苯并[a]芘染毒大鼠的睾丸甾体生成功能障碍。

Zinc oxide nanoparticles improve testicular steroidogenesis machinery dysfunction in benzo[α]pyrene-challenged rats.

机构信息

Veterinary Research Division, Animal Reproduction and A. I. Department, National Research Center, El-Buhouth Street, Dokki, Cairo, Egypt.

Medical Research Division, Hormones Department, National Research Center, El-Buhouth Street, Dokki, Cairo, Egypt.

出版信息

Sci Rep. 2021 Jun 3;11(1):11675. doi: 10.1038/s41598-021-91226-y.

Abstract

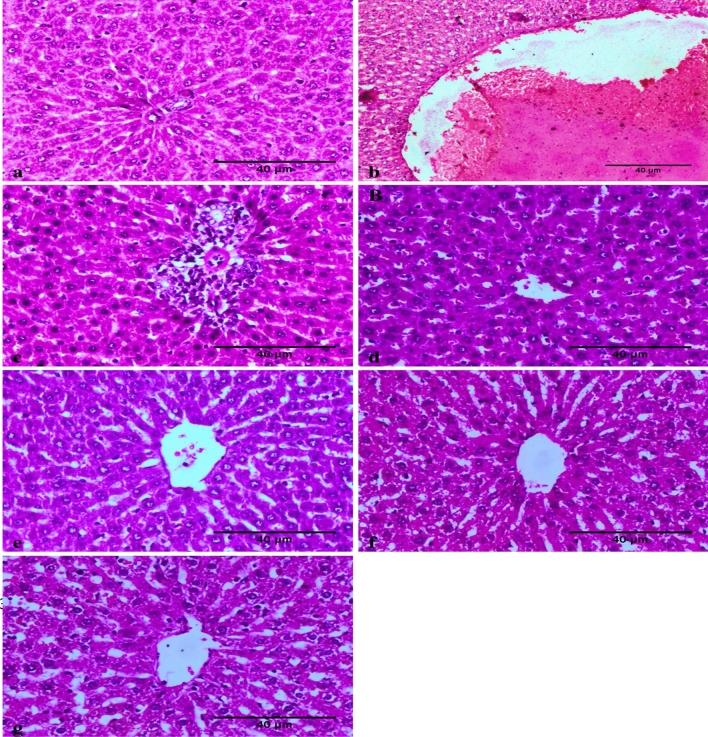
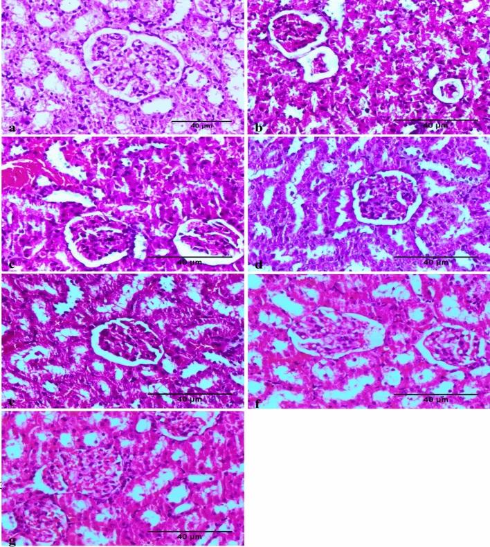
Zinc oxide nanoparticles (ZnO NPs) demonstrate potential positive effects on reproduction. However, their protective role against the reproductive toxicity pollutants has not yet been adequately studied at the molecular level. This study was designed to assess this objective using Benzo[α]pyrene B[a]P as reproductive toxic agent . Forty-eight mature male rats were randomly distributed into six groups: Group1 (negative control); Groups 2 and 3 (positive control I and II, wherein the animals were treated with 10 and 30 mg ZnO NPs/kg BW, respectively); Group 4 (B[a]P group; treated with 150 mg B[a]P/kg BW); and Groups 5 and 6 (subjected to B[a]P treatment co-administered with different concentrations of ZnO NPs). We investigated oxidative stress biomarkers; cholesterol side-chain cleavage enzyme (CYP11A1), steroidogenic acute regulatory protein (StAR), and 3β-hydroxysteroid dehydrogenase (3β-HSD) gene expression; testosterone levels; and histopathology of the liver, kidney, and testicles. The B[a]P-treated group showed significant deterioration in all reproductive parameters and displayed induced oxidative stress. ZnO NPs remarkably reduced oxidative stress, effectively upregulated the mRNA levels of CY11A1, StAR, and 3β-HSD, and improved the histological pictures in the examined organs. At their investigated doses and given their NPs properties, ZnO NPs demonstrated a marked ameliorative effect against the reproductive toxic effects of B[a]P. Further studies are needed to thoroughly investigate the molecular mechanisms of ZnO NPs.

摘要

氧化锌纳米粒子(ZnO NPs)在生殖方面表现出潜在的积极影响。然而,其在分子水平上对生殖毒性污染物的保护作用尚未得到充分研究。本研究旨在使用苯并[a]芘(B[a]P)作为生殖毒性剂来评估这一目标。将 48 只成熟雄性大鼠随机分为六组:第 1 组(阴性对照组);第 2 组和第 3 组(阳性对照组 I 和 II,其中动物分别接受 10 和 30 mg ZnO NPs/kg BW 治疗);第 4 组(B[a]P 组;接受 150 mg B[a]P/kg BW 治疗);第 5 组和第 6 组(同时接受不同浓度 ZnO NPs 与 B[a]P 处理)。我们研究了氧化应激生物标志物;胆固醇侧链裂解酶(CYP11A1)、类固醇急性调节蛋白(StAR)和 3β-羟甾脱氢酶(3β-HSD)基因表达;睾丸酮水平;以及肝脏、肾脏和睾丸的组织病理学。B[a]P 处理组所有生殖参数均显著恶化,并表现出诱导的氧化应激。ZnO NPs 显著降低了氧化应激,有效地上调了 CYP11A1、StAR 和 3β-HSD 的 mRNA 水平,并改善了所检查器官的组织学图片。在研究剂量下,基于其 NPs 特性,ZnO NPs 对 B[a]P 的生殖毒性作用表现出显著的改善作用。需要进一步研究以彻底研究 ZnO NPs 的分子机制。

https://cdn.ncbi.nlm.nih.gov/pmc/blobs/4309/8175368/582df7572cf6/41598_2021_91226_Fig1_HTML.jpg

文献AI研究员

20分钟写一篇综述,助力文献阅读效率提升50倍。

立即体验

用中文搜PubMed

大模型驱动的PubMed中文搜索引擎

马上搜索

文档翻译

学术文献翻译模型,支持多种主流文档格式。

立即体验