Suppr超能文献

长链非编码 RNA CARMN 通过作为 miR143-3p 的宿主基因并抑制 DNA 复制来促进三阴性乳腺癌的预后和化疗敏感性。

LncRNA CARMN overexpression promotes prognosis and chemosensitivity of triple negative breast cancer via acting as miR143-3p host gene and inhibiting DNA replication.

机构信息

Department of Breast Surgery, Renji Hospital, School of Medicine, Shanghai Jiao Tong University, Shanghai, P.R. China.

出版信息

J Exp Clin Cancer Res. 2021 Jun 23;40(1):205. doi: 10.1186/s13046-021-02015-4.

Abstract

BACKGROUND

Triple negative breast cancer (TNBC) is a subtype of breast cancer with poor prognosis and lack of effective treatment target. Here we screened differentially expressed lncRNAs through bioinformatics analysis and identified CARMN as a downregulated lncRNA which is lowest expressed in TNBC. We aimed to identify the potential role and molecular mechanisms of CARMN in TNBC.

METHODS

Predictive value of CARMN was explored in breast cancer cohorts. TNBC cell lines with CARMN overexpression or CARMN silence and were used for in vitro and in vivo experiments. RNA-seq of CARMN overexpressed cells was performed for exploring downstream of CARMN.

RESULTS

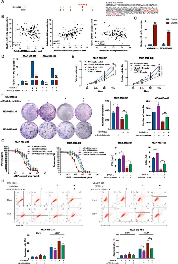
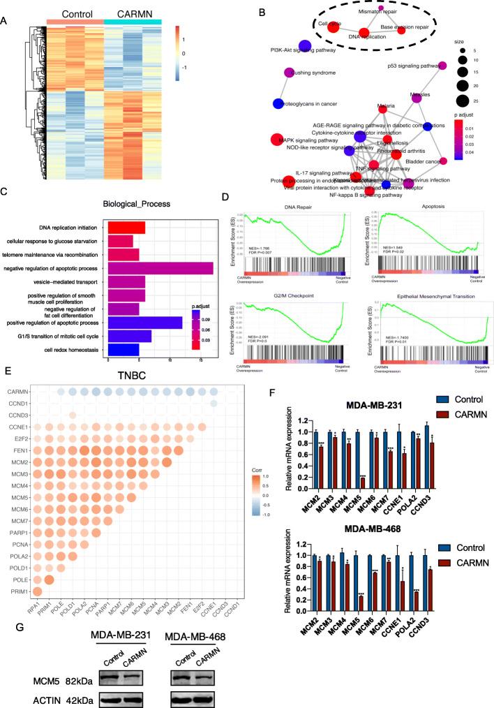
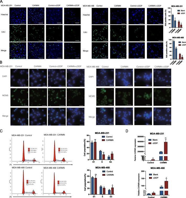
CARMN is downregulated at different phase of malignant transformation of breast tissue. CARMN can predict both better prognosis and higher response rate of cisplatin-based neoadjuvant chemotherapy in breast cancer. A nomogram is built to predict cisplatin-based chemotherapy response in breast cancer. Through in vitro and in vivo studies, we confirmed CARMN can also inhibit tumorigenesis and enhance sensitivity to cisplatin in TNBC cells. RNA-seq and further experiments revealed CARMN can inhibit DNA replication. MCM5, an important DNA replication initiation factor, is the most downregulated gene in DNA replication pathway following CARMN overexpression. We confirmed CARMN can produce miR143-3p from its exon5 which is DROSHA and DICER dependent, resulting binding and decrease of MCM5. Moreover, suppressing miR143-3p can weaken function of CARMN in suppressing tumorigenesis and promoting chemosensitivity.

CONCLUSIONS

Our results indicated lncRNA CARMN is a predictive biomarker of better prognosis and enhanced cisplatin sensitivity in TNBC. CARMN is the host gene of miR143-3p which downregulates MCM5, causing inhibited DNA replication.

摘要

背景

三阴性乳腺癌(TNBC)是一种预后不良且缺乏有效治疗靶点的乳腺癌亚型。在这里,我们通过生物信息学分析筛选出差异表达的长链非编码 RNA,并鉴定出 CARMN 是一种下调的 lncRNA,在 TNBC 中表达最低。我们旨在确定 CARMN 在 TNBC 中的潜在作用和分子机制。

方法

在乳腺癌队列中探索 CARMN 的预测价值。使用 CARMN 过表达或 CARMN 沉默的 TNBC 细胞系进行体外和体内实验。对 CARMN 过表达细胞进行 RNA-seq 分析,以探索 CARMN 的下游靶基因。

结果

CARMN 在乳腺组织恶性转化的不同阶段下调。CARMN 可预测乳腺癌更好的预后和更高的顺铂新辅助化疗反应率。构建了一个列线图来预测乳腺癌的顺铂化疗反应。通过体外和体内研究,我们证实 CARMN 还可以抑制 TNBC 细胞的肿瘤发生并增强对顺铂的敏感性。RNA-seq 及进一步的实验表明,CARMN 可以抑制 DNA 复制。MCM5,一种重要的 DNA 复制起始因子,是 CARMN 过表达后 DNA 复制途径下调最明显的基因。我们证实 CARMN 可以从其外显子 5 产生 miR143-3p,该过程依赖于 DROSHA 和 DICER,导致 MCM5 结合和减少。此外,抑制 miR143-3p 可以削弱 CARMN 在抑制肿瘤发生和促进化疗敏感性方面的功能。

结论

我们的结果表明,lncRNA CARMN 是 TNBC 预后更好和增强顺铂敏感性的预测生物标志物。CARMN 是 miR143-3p 的宿主基因,下调 MCM5,导致 DNA 复制受到抑制。

https://cdn.ncbi.nlm.nih.gov/pmc/blobs/a7ae/8220716/db56523f252c/13046_2021_2015_Fig2_HTML.jpg

文献AI研究员

20分钟写一篇综述,助力文献阅读效率提升50倍。

立即体验

用中文搜PubMed

大模型驱动的PubMed中文搜索引擎

马上搜索

文档翻译

学术文献翻译模型,支持多种主流文档格式。

立即体验