Suppr超能文献

少肌症鉴别诊断中的迟发性神经肌肉疾病

Late-onset neuromuscular disorders in the differential diagnosis of sarcopenia.

作者信息

Hofmeister Fabian, Baber Lisa, Ferrari Uta, Hintze Stefan, Jarmusch Stefanie, Krause Sabine, Meinke Peter, Mehaffey Stefan, Neuerburg Carl, Tangenelli Fabiana, Schoser Benedikt, Drey Michael

机构信息

Department of Medicine IV, Geriatrics, University Hospital, LMU Munich, Munich, Germany.

Department of Neurology, Friedrich-Baur-Institute, University Hospital, LMU Munich, Munich, Germany.

出版信息

BMC Neurol. 2021 Jun 25;21(1):241. doi: 10.1186/s12883-021-02264-y.

Abstract

BACKGROUND

Sarcopenia is the age-related loss of muscle mass and strength. Undiagnosed late-onset neuromuscular disorders need to be considered in the differential diagnosis of sarcopenia.

AIM

Based on emblematic case reports and current neuromuscular diagnostic guidelines for three common late-onset neuromuscular disorders, a differential diagnostic approach for geriatric patients presenting with a sarcopenic phenotype is given.

METHODS

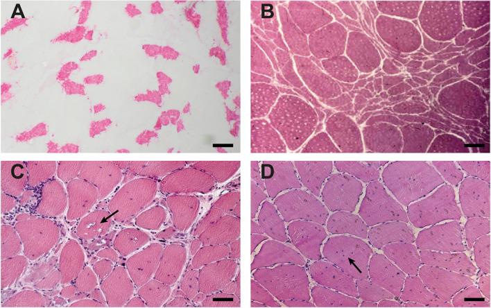
Patients over 65 years of age with sarcopenia, amyotrophic lateral sclerosis, inclusion body myositis and myotonic dystrophy type 2 were recruited. All patients were assessed for sarcopenia based on the revised European consensus definition. Patients with neuromuscular diseases were diagnosed according to the revised El Escorial criteria and the European neuromuscular centre criteria. Phenotypes and diagnostic criteria for all patients were summarized including their specific histopathological findings.

RESULTS

All patients with neuromuscular diseases were positively screened for sarcopenia and classified as severe sarcopenic by means of assessment. The clinical phenotype, the evolution pattern of weakness and muscle atrophy combined with laboratory finding including electromyography could unquestionably distinguish the diseases.

DISCUSSION

Neuromuscular disorders can manifest beyond the age of 65 years and misdiagnosed as sarcopenia. The most common diseases are inclusion body myositis, amyotrophic lateral sclerosis and myotonic dystrophy type 2. A diagnostic work-up for neuromuscular diseases ensures their correct diagnosis by clinical-, electrophysiological, histopathological, and genetic work-up.

CONCLUSIONS

In geriatric patients with a focal or asymmetrical muscular weakness and atrophy, sarcopenia assessment should be extended with patient's history of disease course. Furthermore, concomitant diseases, analysis of serum creatine kinase, electrophysiological examination, and in selected patients muscle biopsy and gene analysis is needed to rule out a late-onset neuromuscular disorder.

摘要

背景

肌肉减少症是与年龄相关的肌肉质量和力量的丧失。在肌肉减少症的鉴别诊断中需要考虑未被诊断出的迟发性神经肌肉疾病。

目的

基于三个常见迟发性神经肌肉疾病的典型病例报告和当前神经肌肉诊断指南,给出一种针对表现为肌肉减少症表型的老年患者的鉴别诊断方法。

方法

招募65岁以上患有肌肉减少症、肌萎缩侧索硬化症、包涵体肌炎和2型强直性肌营养不良的患者。所有患者均根据修订后的欧洲共识定义进行肌肉减少症评估。神经肌肉疾病患者根据修订后的埃尔埃斯科里亚尔标准和欧洲神经肌肉中心标准进行诊断。总结了所有患者的表型和诊断标准,包括其特定的组织病理学发现。

结果

所有神经肌肉疾病患者均通过评估被阳性筛查出肌肉减少症,并被归类为重度肌肉减少症。临床表型、肌无力和肌肉萎缩的演变模式以及包括肌电图在内的实验室检查结果无疑可以区分这些疾病。

讨论

神经肌肉疾病可在65岁以后出现,并被误诊为肌肉减少症。最常见的疾病是包涵体肌炎、肌萎缩侧索硬化症和2型强直性肌营养不良。对神经肌肉疾病进行诊断性检查可通过临床、电生理、组织病理学和基因检查确保正确诊断。

结论

对于有局灶性或不对称性肌无力和萎缩的老年患者,应结合患者的病程病史扩展肌肉减少症评估。此外,需要进行伴发疾病检查、血清肌酸激酶分析、电生理检查,对部分患者还需进行肌肉活检和基因分析,以排除迟发性神经肌肉疾病。

https://cdn.ncbi.nlm.nih.gov/pmc/blobs/e73f/8229316/215afaed48c8/12883_2021_2264_Fig1_HTML.jpg

文献AI研究员

20分钟写一篇综述,助力文献阅读效率提升50倍。

立即体验

用中文搜PubMed

大模型驱动的PubMed中文搜索引擎

马上搜索

文档翻译

学术文献翻译模型,支持多种主流文档格式。

立即体验