Suppr超能文献

血管紧张素转换酶抑制状态促进非小细胞肺癌血供模式向血管生成拟态形成转变。

The Angiotensin-Converting Enzyme Inhibitory State Promotes the Transformation of Non-Small Cell Lung Cancer Blood Supply Pattern Toward Vasculogenic Mimicry Formation.

作者信息

Xu Kandi, Han Huize, Luo Yexin, Ye Hong, Lin Hongxia, Ni Lei

机构信息

Department of Respiration and Critical Care Diseases, Ruijin Hospital, School of Medicine, Shanghai Jiao Tong University, Shanghai, China.

Institute of Respiratory Diseases, School of Medicine, Shanghai Jiao Tong University, Shanghai, China.

出版信息

Front Oncol. 2021 Jun 16;11:663671. doi: 10.3389/fonc.2021.663671. eCollection 2021.

Abstract

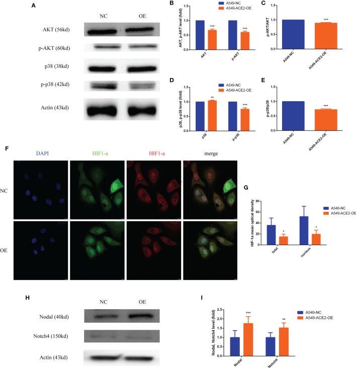
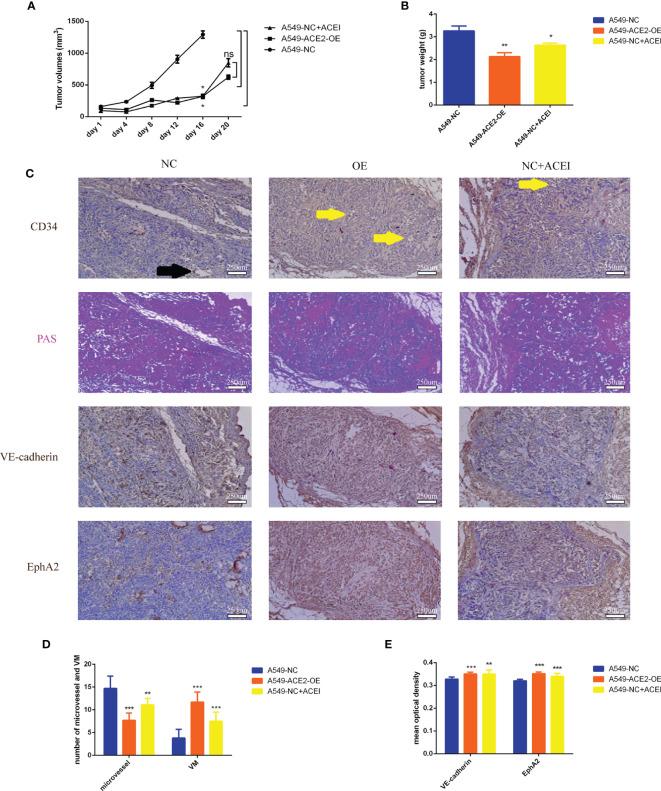
Tumor microenvironment plays an important role in tumor proliferation, metastasis, and angiogenesis. Local RAS is a key factor to tumor proliferation and metastasis in NSCLC microenvironment, but its role on angiogenesis and VM formation remains unclear. Although overwhelming majority of previous studies suggested that VM is well established in aggressive tumor and facilitates tumor growth and metastasis, we put forward different views from another angle. We proved that status of tumor blood supply patterns, including VM channels and endothelial vessels, can dynamically exchange with each other along with local RAS fluctuations in microenvironment. Quantitatively, ACE2/ACEI promotes VM formation Nodal/Notch4 activation; while structurally, ACE2/ACEI leads to a strong and solid structure of VM inhibition of VE-cadherin internalization. These changes induced by ACE2/ACEI relate to relatively low metastasis rate and comforting prognoses of NSCLC patients.

摘要

肿瘤微环境在肿瘤增殖、转移和血管生成中起着重要作用。局部RAS是NSCLC微环境中肿瘤增殖和转移的关键因素,但其在血管生成和VM形成中的作用仍不清楚。尽管绝大多数先前的研究表明VM在侵袭性肿瘤中形成良好并促进肿瘤生长和转移,但我们从另一个角度提出了不同观点。我们证明,肿瘤血供模式的状态,包括VM通道和内皮血管,可随着微环境中局部RAS的波动而相互动态交换。在数量上,ACE2/ACEI促进VM形成 Nodal/Notch4激活;而在结构上,ACE2/ACEI导致VM结构坚固 抑制VE-钙黏蛋白内化。ACE2/ACEI诱导的这些变化与NSCLC患者相对较低的转移率和良好的预后相关。

https://cdn.ncbi.nlm.nih.gov/pmc/blobs/698f/8242235/3a646f579abf/fonc-11-663671-g001.jpg

文献AI研究员

20分钟写一篇综述,助力文献阅读效率提升50倍。

立即体验

用中文搜PubMed

大模型驱动的PubMed中文搜索引擎

马上搜索

文档翻译

学术文献翻译模型,支持多种主流文档格式。

立即体验