Suppr超能文献

Krüppel 样因子 9 的缺失通过 Notch1/slug 信号通路促进卵巢癌腹水来源的多细胞球体的干性。

Loss of Krüppel-like factor 9 facilitates stemness in ovarian cancer ascites-derived multicellular spheroids via Notch1/slug signaling.

机构信息

Department of Obstetrics and Gynecology, Qilu Hospital of Shandong University, Ji'nan, China.

出版信息

Cancer Sci. 2021 Oct;112(10):4220-4233. doi: 10.1111/cas.15100. Epub 2021 Aug 20.

Abstract

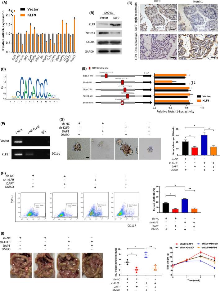
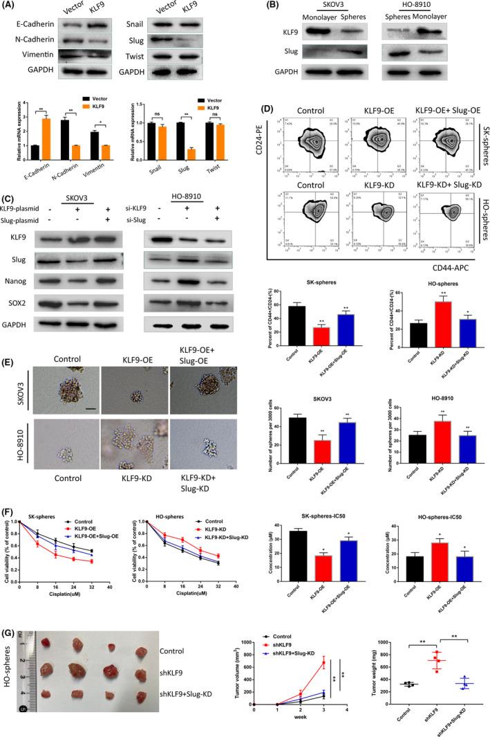
The ascites that develops in advanced OC, both at diagnosis and upon recurrence, is a rich source of multicellular spheroids/aggregates (MCSs/MCAs), which are the major seeds of tumor cell dissemination within the abdominal cavity. However, the molecular mechanism by which specific ascites-derived tumor cells survive and metastasize remains largely unknown. In this study, we elucidated cancer stem cell (CSC) properties of ascites-derived MCSs, concomitant with enhanced malignancy, induced EMT, and low KLF9 (Krüppel-like factor 9) expression, compared with PTCs. KLF9 was also downregulated in OC cell line-derived spheroids and the CD117 CD44 subpopulation in MCSs. Functional experiments demonstrated that KLF9 negatively modulated stem-like properties in OC cells. Mechanistic studies revealed that KLF9 reduced the transcriptional expression of Notch1 by directly binding to the Notch1 promoter, thereby inhibiting the function of slug in a CSL-dependent manner. Clinically, expression of KLF9 was associated with histological grade and loss of KLF9 predicts poor prognosis in OC.

摘要

在晚期 OC 中发展的腹水,无论是在诊断时还是在复发时,都是多细胞球体/聚集物(MCS/MCAs)的丰富来源,这些球体/聚集物是肿瘤细胞在腹腔内扩散的主要种子。然而,特定腹水来源的肿瘤细胞如何存活和转移的分子机制在很大程度上仍然未知。在这项研究中,我们阐明了腹水来源的 MCS 具有癌症干细胞(CSC)特性,与 PTCs 相比,其恶性程度增强,诱导 EMT,并且 KLF9(Krüppel-like factor 9)表达降低。KLF9 在 OC 细胞系衍生的球体中和 MCS 中的 CD117 CD44 亚群中也下调。功能实验表明,KLF9 通过直接结合 Notch1 启动子负调控 OC 细胞的干细胞样特性,从而以 CSL 依赖性方式抑制 slug 的功能。临床研究表明,KLF9 的表达与组织学分级相关,KLF9 的缺失预示着 OC 的预后不良。

https://cdn.ncbi.nlm.nih.gov/pmc/blobs/73bb/8486214/056c800dd08a/CAS-112-4220-g005.jpg

文献AI研究员

20分钟写一篇综述,助力文献阅读效率提升50倍。

立即体验

用中文搜PubMed

大模型驱动的PubMed中文搜索引擎

马上搜索

文档翻译

学术文献翻译模型,支持多种主流文档格式。

立即体验