Suppr超能文献

叶酸补充剂对肉鸡肝脏基因表达影响的转录组分析

Transcriptome Analysis of Effects of Folic Acid Supplement on Gene Expression in Liver of Broiler Chickens.

作者信息

Zhang Yujie, Zhang Ningbo, Liu Lin, Wang Yan, Xing Jinyi, Li Xiuling

机构信息

School of Life Sciences, Linyi University, Linyi, China.

School of Agriculture and Forestry Sciences, Linyi University, Linyi, China.

出版信息

Front Vet Sci. 2021 Sep 16;8:686609. doi: 10.3389/fvets.2021.686609. eCollection 2021.

Abstract

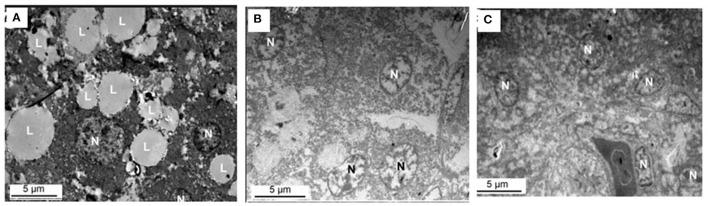
Folic acid is a water-soluble B vitamin, and plays an important role in regulating gene expression and methylation. The liver is the major site of lipid biosynthesis in the chicken. Nevertheless, how gene expression and regulatory networks are affected by folic acid in liver of broilers are poorly understood. This paper conducted the RNA-seq technology on the liver of broilers under folic acid challenge investigation. First, 405 differentially expressed genes (DEGs), including 157 significantly upregulated and 248 downregulated, were detected between the control group (C) and the 5 mg folic acid group (M). Second, 68 upregulated DEGs and 142 downregulated DEGs were determined between C group and 10 mg folic acid group (H). Third, there were 165 upregulated genes and 179 downregulated genes between M and H groups. Of these DEGs, 903 DEGs were successfully annotated in the public databases. The functional classification based on GO and KEEGG showed that "general function prediction only" represented the largest functional classes, "cell cycle" (C vs. M; M vs. H), and "neuroactive ligand-receptor interaction" (C vs. H) were the highest unique sequences among three groups. SNP analysis indicated that numbers of C, M and H groups were 145,450, 146,131, and 123,004, respectively. Total new predicted alternative splicing events in C, M, and H groups were 9,521, 9,328, and 8,929, respectively. A protein-protein interaction (PPI) network was constructed, and the top 10 hub genes were evaluated among three groups. The results of real time PCR indicated that mRNA abundance of γ and in abdominal fat of M and H groups were reduced compared with the C group ( < 0.05). Ultramicroscopy results showed that folic acid could reduce lipid droplets in livers from chickens. Finally, contents of LPL, PPARγ, and FAS in abdominal fat were decreased with the folic acid supplmented diets ( < 0.01). These findings reveal the effects of folic acid supplemention on gene expression in liver of broilers, which can provide information for understanding the molecular mechanisms of folic acid regulating liver lipid metabolism.

摘要

叶酸是一种水溶性B族维生素,在调节基因表达和甲基化方面发挥着重要作用。肝脏是鸡体内脂质生物合成的主要场所。然而,叶酸如何影响肉鸡肝脏中的基因表达和调控网络却知之甚少。本文采用RNA测序技术对叶酸应激条件下的肉鸡肝脏进行了研究。首先,在对照组(C)和5mg叶酸组(M)之间检测到405个差异表达基因(DEG),其中157个显著上调,248个下调。其次,在C组和10mg叶酸组(H)之间确定了68个上调的DEG和142个下调的DEG。第三,M组和H组之间有165个上调基因和179个下调基因。在这些DEG中,有903个DEG在公共数据库中成功注释。基于GO和KEEGG的功能分类表明,“仅一般功能预测”代表最大的功能类别,“细胞周期”(C组与M组;M组与H组)以及“神经活性配体-受体相互作用”(C组与H组)是三组中最高的独特序列。SNP分析表明,C组、M组和H组的数量分别为145,450、146,131和123,004。C组、M组和H组新预测的总可变剪接事件分别为9,521、9,328和8,929。构建了蛋白质-蛋白质相互作用(PPI)网络,并在三组中评估了前10个枢纽基因。实时PCR结果表明,与C组相比,M组和H组腹部脂肪中γ和的mRNA丰度降低(P<0.05)。超微结构结果表明,叶酸可以减少鸡肝脏中的脂滴。最后,随着叶酸添加日粮,腹部脂肪中LPL、PPARγ和FAS的含量降低(P<0.01)。这些发现揭示了叶酸添加对肉鸡肝脏基因表达的影响,可为理解叶酸调节肝脏脂质代谢的分子机制提供信息。

https://cdn.ncbi.nlm.nih.gov/pmc/blobs/5b9d/8481781/5338c7639d64/fvets-08-686609-g0001.jpg

文献AI研究员

20分钟写一篇综述,助力文献阅读效率提升50倍。

立即体验

用中文搜PubMed

大模型驱动的PubMed中文搜索引擎

马上搜索

文档翻译

学术文献翻译模型,支持多种主流文档格式。

立即体验