Suppr超能文献

Circ_0026416下调通过富集miR-545-3p消耗MYO6表达来阻断结直肠癌的发展。

Circ_0026416 downregulation blocks the development of colorectal cancer through depleting MYO6 expression by enriching miR-545-3p.

作者信息

Zhang Lei, Yu Ranran, Li Chunhua, Dang Yu, Yi Xiaoyu, Wang Lei

机构信息

Department of General Surgery, The Second Affiliated Hospital of Shandong University of Traditional Chinese Medicine, Jingba Road, Shizhong District, Jinan City, 250001, Shandong Province, China.

Department of Pathology, The Second Affiliated Hospital of Shandong University of Traditional Chinese Medicine, Jingba Road, Shizhong District, Jinan City, 250001, Shandong Province, China.

出版信息

World J Surg Oncol. 2021 Oct 14;19(1):299. doi: 10.1186/s12957-021-02407-y.

Abstract

BACKGROUND

Emerging evidence reveals that the initiation and development of human cancers, including colorectal cancer (CRC), are associated with the deregulation of circular RNAs (circRNAs). Our study intended to disclose the role of circ_0026416 in the malignant behaviors of CRC.

METHODS

The detection for circ_0026416 expression, miR-545-3p expression, and myosin VI (MYO6) mRNA expression was performed using quantitative real-time PCR (qPCR). CCK-8 assay, colony formation assay, transwell assay, and flow cytometry assay were applied for functional analysis to monitor cell proliferation, migration, invasion, and apoptosis. The protein levels of MYO6 and epithelial mesenchymal-transition (EMT) markers were detected by western blot. Mouse models were used to determine the role of circ_0026416 in vivo. The potential relationship between miR-545-3p and circ_0026416 or MYO6 was verified by dual-luciferase reporter assay and RIP assay.

RESULTS

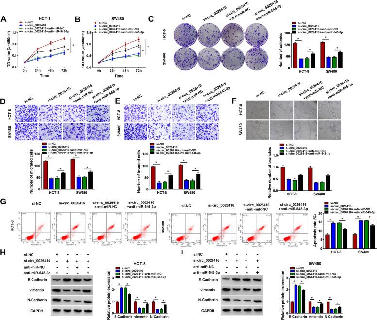
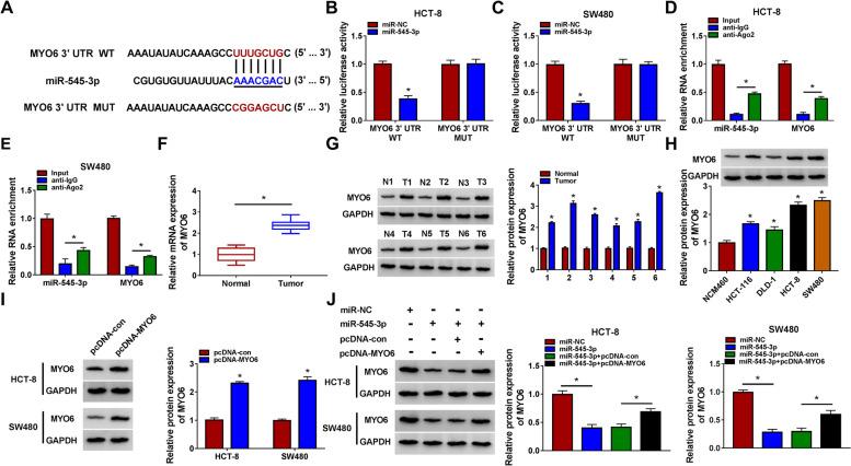
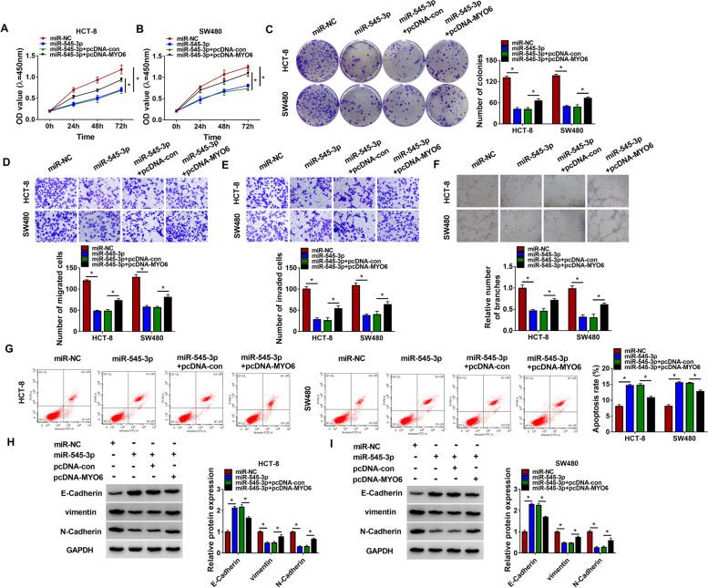
The expression of circ_0026416 was increased in CRC tumor tissues and cell lines. Circ_0026416 downregulation inhibited CRC cell proliferation, colony formation, migration, invasion, and EMT but induced cell apoptosis in vitro, and circ_0026416 knockdown also blocked tumor growth in vivo. MiR-545-3p was a target of circ_0026416, and rescue experiments indicated that circ_0026416 knockdown blocked CRC development by enriching miR-545-3p. In addition, miR-545-3p targeted MYO6 and inhibited MYO6 expression. MiR-545-3p enrichment suppressed CRC cell malignant behaviors by sequestering MYO6. Importantly, circ_0026416 knockdown depleted MYO6 expression by enriching miR-545-3p.

CONCLUSION

Circ_0026416 downregulation blocked the development of CRC through depleting MYO6 expression by enriching miR-545-3p.

HIGHLIGHTS

  1. Circ_0026416 downregulation inhibits CRC development in vitro and in vivo. 2. Circ_0026416 regulates the expression of MYO6 by targeting miR-545-3p. 3. Circ_0026416 governs the miR-545-3p/MYO6 axis to regulate CRC progression.
摘要

背景

新出现的证据表明,包括结直肠癌(CRC)在内的人类癌症的发生和发展与环状RNA(circRNA)的失调有关。我们的研究旨在揭示circ_0026416在CRC恶性行为中的作用。

方法

采用定量实时PCR(qPCR)检测circ_0026416表达、miR-545-3p表达和肌球蛋白VI(MYO6)mRNA表达。应用CCK-8法、集落形成法、Transwell法和流式细胞术检测法进行功能分析,以监测细胞增殖、迁移、侵袭和凋亡。通过蛋白质印迹法检测MYO6和上皮间质转化(EMT)标志物的蛋白质水平。使用小鼠模型确定circ_0026416在体内的作用。通过双荧光素酶报告基因检测法和RNA免疫沉淀(RIP)检测法验证miR-545-3p与circ_0026416或MYO6之间的潜在关系。

结果

circ_0026416在CRC肿瘤组织和细胞系中的表达增加。circ_0026416下调抑制了CRC细胞的增殖、集落形成、迁移、侵袭和EMT,但在体外诱导了细胞凋亡,circ_0026416基因敲低在体内也抑制了肿瘤生长。miR-545-3p是circ_0026416的靶标,挽救实验表明,circ_0026416基因敲低通过富集miR-545-3p来阻断CRC的发展。此外,miR-545-3p靶向MYO6并抑制MYO6表达。miR-545-3p富集通过隔离MYO6抑制CRC细胞的恶性行为。重要的是,circ_0026416基因敲低通过富集miR-545-3p降低了MYO6的表达。

结论

circ_0026416下调通过富集miR-545-3p降低MYO6表达来阻断CRC的发展。

要点

  1. circ_0026416下调在体外和体内均抑制CRC的发展。2. circ_0026416通过靶向miR-545-3p调节MYO6的表达。3. circ_0026416通过调控miR-545-3p/MYO6轴来调节CRC进展。
https://cdn.ncbi.nlm.nih.gov/pmc/blobs/a613/8515727/d0270997a0ce/12957_2021_2407_Fig1_HTML.jpg

文献AI研究员

20分钟写一篇综述,助力文献阅读效率提升50倍。

立即体验

用中文搜PubMed

大模型驱动的PubMed中文搜索引擎

马上搜索

文档翻译

学术文献翻译模型,支持多种主流文档格式。

立即体验