Suppr超能文献

磷酸化调节富含精氨酸的RNA结合蛋白的溶解度和寡聚化。

Phosphorylation regulates arginine-rich RNA-binding protein solubility and oligomerization.

机构信息

Department of Biochemistry, Emory University, Atlanta, Georgia, USA.

Department of Biochemistry, Emory University, Atlanta, Georgia, USA; Department of Neurology, Emory University School of Medicine, Atlanta, Georgia, USA.

出版信息

J Biol Chem. 2021 Nov;297(5):101306. doi: 10.1016/j.jbc.2021.101306. Epub 2021 Oct 19.

Abstract

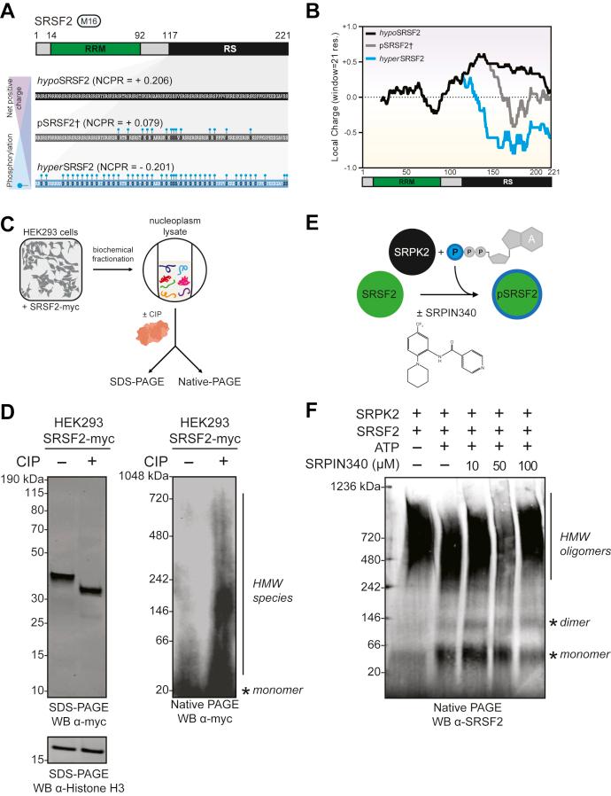
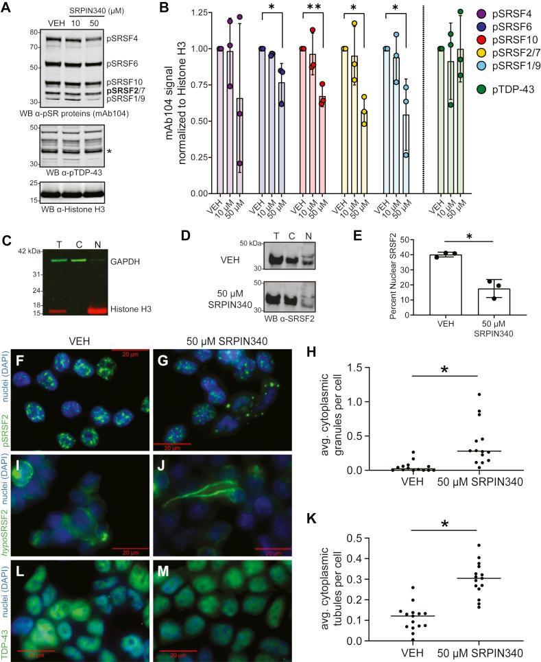
Posttranslational modifications (PTMs) such as phosphorylation of RNA-binding proteins (RBPs) regulate several critical steps in RNA metabolism, including spliceosome assembly, alternative splicing, and mRNA export. Notably, serine-/arginine- (SR)-rich RBPs are densely phosphorylated compared with the remainder of the proteome. Previously, we showed that dephosphorylation of the splicing factor SRSF2 regulated increased interactions with similar arginine-rich RBPs U1-70K and LUC7L3. However, the large-scale functional and structural impact of these modifications on RBPs remains unclear. In this work, we dephosphorylated nuclear extracts using phosphatase in vitro and analyzed equal amounts of detergent-soluble and -insoluble fractions by mass-spectrometry-based proteomics. Correlation network analysis resolved 27 distinct modules of differentially soluble nucleoplasm proteins. We found classes of arginine-rich RBPs that decrease in solubility following dephosphorylation and enrich the insoluble pelleted fraction, including the SR protein family and the SR-like LUC7L RBP family. Importantly, increased insolubility was not observed across broad classes of RBPs. We determined that phosphorylation regulated SRSF2 structure, as dephosphorylated SRSF2 formed high-molecular-weight oligomeric species in vitro. Reciprocally, phosphorylation of SRSF2 by serine/arginine protein kinase 2 (SRPK2) in vitro decreased high-molecular-weight SRSF2 species formation. Furthermore, upon pharmacological inhibition of SRPKs in mammalian cells, we observed SRSF2 cytoplasmic mislocalization and increased formation of cytoplasmic granules as well as cytoplasmic tubular structures that associated with microtubules by immunocytochemical staining. Collectively, these findings demonstrate that phosphorylation may be a critical modification that prevents arginine-rich RBP insolubility and oligomerization.

摘要

翻译后修饰(PTMs),如RNA结合蛋白(RBPs)的磷酸化,可调节RNA代谢中的几个关键步骤,包括剪接体组装、可变剪接和mRNA输出。值得注意的是,与蛋白质组的其他部分相比,富含丝氨酸/精氨酸(SR)的RBPs被高度磷酸化。此前,我们发现剪接因子SRSF2的去磷酸化调节了与类似富含精氨酸的RBPs U1-70K和LUC7L3的相互作用增加。然而,这些修饰对RBPs的大规模功能和结构影响仍不清楚。在这项工作中,我们在体外使用磷酸酶对核提取物进行去磷酸化,并通过基于质谱的蛋白质组学分析等量的去污剂可溶和不可溶部分。相关网络分析解析了27个不同的差异可溶核质蛋白模块。我们发现了一类富含精氨酸的RBPs,它们在去磷酸化后溶解度降低,并富集在不可溶沉淀部分,包括SR蛋白家族和SR样LUC7L RBP家族。重要的是,在广泛的RBPs类别中未观察到溶解度增加。我们确定磷酸化调节了SRSF2的结构,因为去磷酸化的SRSF2在体外形成了高分子量寡聚体。相反,丝氨酸/精氨酸蛋白激酶2(SRPK2)在体外对SRSF2的磷酸化减少了高分子量SRSF2物种的形成。此外,在哺乳动物细胞中对SRPKs进行药理抑制后,我们通过免疫细胞化学染色观察到SRSF2在细胞质中的错误定位以及细胞质颗粒和与微管相关的细胞质管状结构的形成增加。总的来说,这些发现表明磷酸化可能是一种关键修饰,可防止富含精氨酸的RBP不溶性和寡聚化。

https://cdn.ncbi.nlm.nih.gov/pmc/blobs/af29/8569591/fe6803a65f9b/gr1.jpg

文献AI研究员

20分钟写一篇综述,助力文献阅读效率提升50倍。

立即体验

用中文搜PubMed

大模型驱动的PubMed中文搜索引擎

马上搜索

文档翻译

学术文献翻译模型,支持多种主流文档格式。

立即体验