Suppr超能文献

同源盒蛋白 SIX1 通过 TGF-β 介导的胶原蛋白调节来破坏抗肿瘤免疫。

Homeoprotein SIX1 compromises antitumor immunity through TGF-β-mediated regulation of collagens.

机构信息

Institute of Systems Medicine, Chinese Academy of Medical Sciences & Peking Union Medical College, Beijing, 100005, China.

Suzhou Institute of Systems Medicine, Suzhou, 215123, China.

出版信息

Cell Mol Immunol. 2021 Dec;18(12):2660-2672. doi: 10.1038/s41423-021-00800-x. Epub 2021 Nov 15.

Abstract

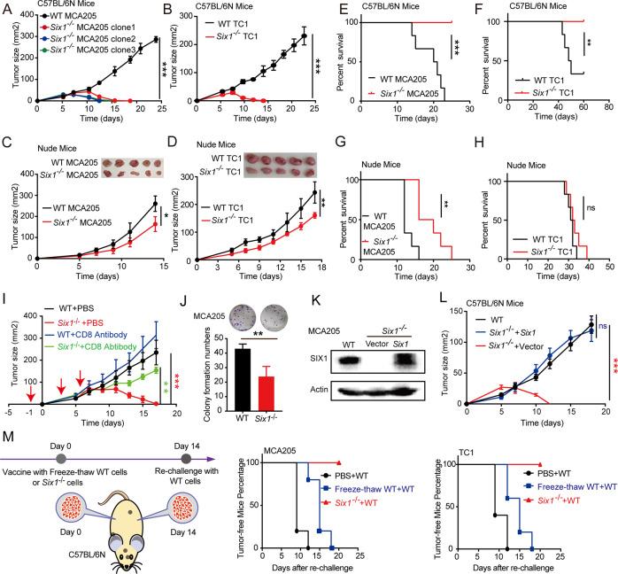
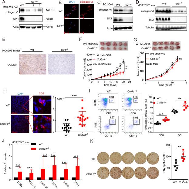
The tumor microenvironment (TME), including infiltrated immune cells, is known to play an important role in tumor growth; however, the mechanisms underlying tumor immunogenicity have not been fully elucidated. Here, we discovered an unexpected role for the transcription factor SIX1 in regulating the tumor immune microenvironment. Based on analyses of patient datasets, we found that SIX1 was upregulated in human tumor tissues and that its expression levels were negatively correlated with immune cell infiltration in the TME and the overall survival rates of cancer patients. Deletion of Six1 in cancer cells significantly reduced tumor growth in an immune-dependent manner with enhanced antitumor immunity in the TME. Mechanistically, SIX1 was required for the expression of multiple collagen genes via the TGFBR2-dependent Smad2/3 activation pathway, and collagen deposition in the TME hampered immune cell infiltration and activation. Thus, our study uncovers a crucial role for SIX1 in modulating tumor immunogenicity and provides proof-of-concept evidence for targeting SIX1 in cancer immunotherapy.

摘要

肿瘤微环境(TME),包括浸润的免疫细胞,已知在肿瘤生长中发挥重要作用;然而,肿瘤免疫原性的机制尚未完全阐明。在这里,我们发现转录因子 SIX1 在调节肿瘤免疫微环境方面具有意想不到的作用。基于对患者数据集的分析,我们发现 SIX1 在人类肿瘤组织中上调,其表达水平与 TME 中免疫细胞浸润和癌症患者的总生存率呈负相关。癌细胞中 Six1 的缺失以免疫依赖的方式显著减少肿瘤生长,并增强 TME 中的抗肿瘤免疫。在机制上,SIX1 通过 TGFBR2 依赖性 Smad2/3 激活途径对多种胶原蛋白基因的表达是必需的,TME 中的胶原蛋白沉积阻碍了免疫细胞的浸润和激活。因此,我们的研究揭示了 SIX1 在调节肿瘤免疫原性中的关键作用,并为在癌症免疫治疗中靶向 SIX1 提供了概念验证证据。

https://cdn.ncbi.nlm.nih.gov/pmc/blobs/c168/8633173/04c65e9d2851/41423_2021_800_Fig1_HTML.jpg

文献AI研究员

20分钟写一篇综述,助力文献阅读效率提升50倍。

立即体验

用中文搜PubMed

大模型驱动的PubMed中文搜索引擎

马上搜索

文档翻译

学术文献翻译模型,支持多种主流文档格式。

立即体验