Suppr超能文献

白细胞介素20受体A在结直肠癌中的表达及其临床意义。

Interleukin 20 receptor A expression in colorectal cancer and its clinical significance.

作者信息

Liu Rui, Yin Honghao, Sun Xin, Liu Songyi, Wang Ang, Wu Ying, Yuan Yuan, Gong Yuehua, Xing Chengzhong

机构信息

Key Laboratory of Cancer Etiology and Prevention in Liaoning Education Department, the First Hospital of China Medical University, Shenyang, China.

Tumor Etiology and Screening Department of Cancer Institute and General Surgery, the First Hospital of China Medical University, Shenyang, China.

出版信息

PeerJ. 2021 Nov 16;9:e12467. doi: 10.7717/peerj.12467. eCollection 2021.

Abstract

BACKGROUND

Interleukin 20 receptor A (IL20RA) has been shown to play a role in the establishment and progression of multiple tumors. However, the expression of this protein in colorectal cancer (CRC) and its correlation with the clinicopathological parameters of CRC have remained unclear.

METHODS

A total of 323 paraffin sections including CRC tissues and adjacent normal tissues after surgery were collected. IL20RA protein expression was detected by immunohistochemical staining. The difference expression of IL20RA mRNA between CRC and normal tissues was also explored in the Oncomine and GEO databases. In addition, the IL20RA-related differentially expressed genes were analyzed in TCGA database and enrichment analysis was conducted to explore the cell functions and pathways related to IL20RA expression.

RESULTS

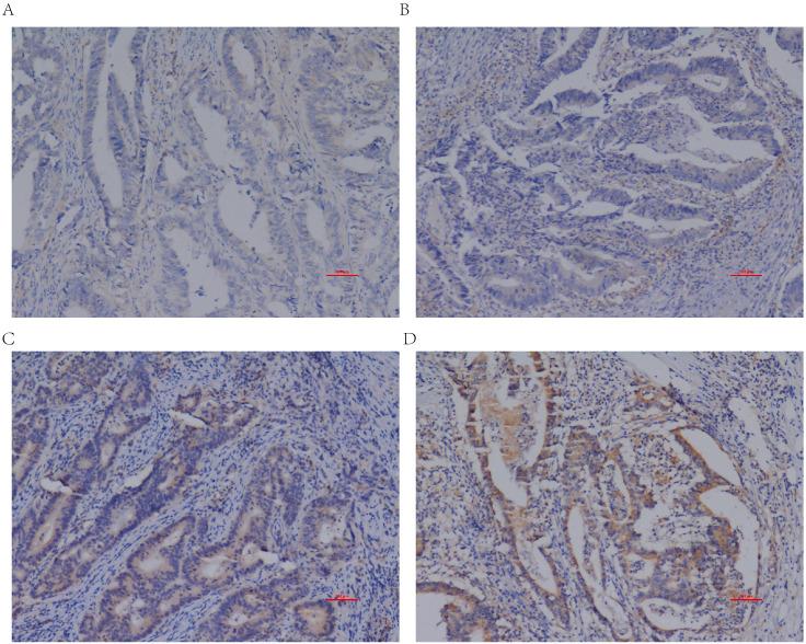
There was increased IL20RA expression in CRC compared with that in normal tissues. High IL20RA expression was associated with greater tumor diameter, lymph node metastasis, and poor TNM stage in CRC, while also being suggestive of poor prognosis. The main pathways of IL20RA-related differentially expressed genes in TCGA were protein heterodimerization activity, oxygen binding, oxygen transporter activity, hormone activity, and lipid transporter activity. Meanwhile, IL20RA-related differentially expressed genes were mainly enriched in peroxidase, nucleotide stimulant repair, fatty acid metabolism, basal transcription factor, and RNA degradation.

CONCLUSIONS

IL20RA might have a role as a biomarker for CRC. Its upregulation might contribute to an aggressive phenotype in CRC. IL20RA's involvement in the development and progression of CRC might occur through it affecting fatty acid metabolism, oxygen binding, oxygen transport, and hormone activity.

摘要

背景

白细胞介素20受体A(IL20RA)已被证明在多种肿瘤的发生和发展中起作用。然而,该蛋白在结直肠癌(CRC)中的表达及其与CRC临床病理参数的相关性仍不清楚。

方法

共收集323例手术后的CRC组织及癌旁正常组织石蜡切片。采用免疫组织化学染色检测IL20RA蛋白表达。还在Oncomine和GEO数据库中探讨了CRC与正常组织之间IL20RA mRNA的差异表达。此外,在TCGA数据库中分析了IL20RA相关的差异表达基因,并进行富集分析以探索与IL20RA表达相关的细胞功能和途径。

结果

与正常组织相比,CRC中IL20RA表达增加。高IL20RA表达与CRC中更大的肿瘤直径、淋巴结转移及较差的TNM分期相关,同时也提示预后不良。TCGA中IL20RA相关差异表达基因的主要途径是蛋白质异二聚化活性、氧结合、氧转运活性、激素活性和脂质转运活性。同时,IL20RA相关差异表达基因主要富集于过氧化物酶、核苷酸刺激修复、脂肪酸代谢、基础转录因子和RNA降解。

结论

IL20RA可能作为CRC的生物标志物。其上调可能导致CRC的侵袭性表型。IL20RA参与CRC的发生和发展可能是通过影响脂肪酸代谢、氧结合、氧转运和激素活性来实现的。

https://cdn.ncbi.nlm.nih.gov/pmc/blobs/0b00/8603834/eba67c128876/peerj-09-12467-g001.jpg

文献AI研究员

20分钟写一篇综述,助力文献阅读效率提升50倍。

立即体验

用中文搜PubMed

大模型驱动的PubMed中文搜索引擎

马上搜索

文档翻译

学术文献翻译模型,支持多种主流文档格式。

立即体验