Suppr超能文献

二甲双胍治疗通过刺激多种抗氧化和抗炎途径,逆转高脂饮食诱导的非酒精性脂肪性肝病和血脂异常。

Metformin treatment reverses high fat diet- induced non-alcoholic fatty liver diseases and dyslipidemia by stimulating multiple antioxidant and anti-inflammatory pathways.

作者信息

Yasmin Tahmina, Rahman Md Mizanur, Khan Ferdous, Kabir Fariha, Nahar Kamrun, Lasker Shoumen, Islam Md Didarul, Hossain Mohammad Maqsud, Hasan Raquibul, Rana Sohel, Alam Md Ashraful

机构信息

Department of Pharmaceutical Sciences, North South University, Dhaka, 1229, Bangladesh.

Department of Biochemistry and Microbiology and NSU Genome Research Institute (NGRI), North South University, Dhaka, 1229, Bangladesh.

出版信息

Biochem Biophys Rep. 2021 Nov 17;28:101168. doi: 10.1016/j.bbrep.2021.101168. eCollection 2021 Dec.

Abstract

PURPOSE

This current study investigated the effect of metformin treatment on hepatic oxidative stress and inflammation associated with nonalcoholic fatty liver disease (NADLD) in high fat diet (HFD) fed rats.

METHOD

Wistar rats were fed with a HFD or laboratory chow diet for 8 weeks. Metformin was administered orally at a dose of 200 mg/kg. Body weight, food and water intake were recorded on daily basis. Oral glucose tolerance test (OGTT), biochemical analysis and histological examinations were conducted on plasma and tissue samples. Antioxidant and anti-inflammatory mRNA expression was analyzed using reverse transcription polymeric chain reaction (RT-PCR).

RESULTS

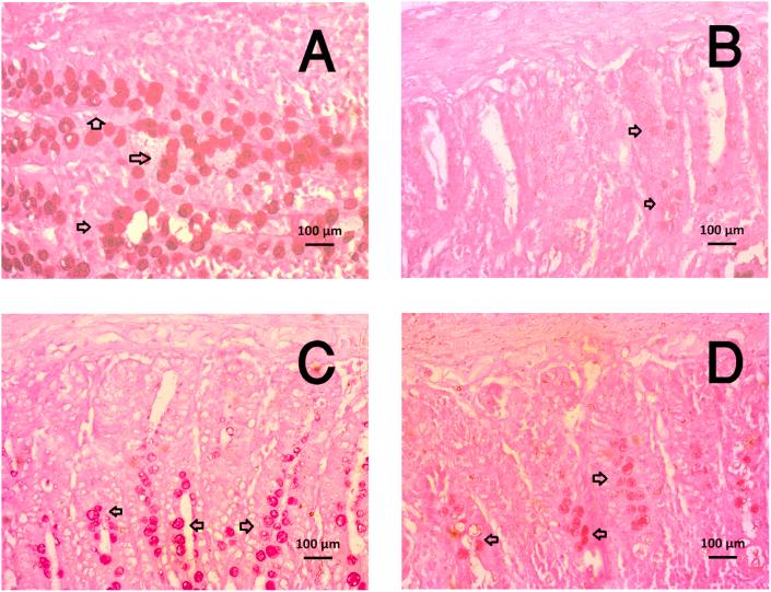
Metformin treatment for 8 weeks prevented HFD-induced weight gain and decreased fat deposition in HFD fed rats. Biochemical analysis revealed that metformin treatment significantly attenuated nitro-oxidative stress markers malondialdehyde (MDA), advanced protein oxidation product (APOP), and excessive nitric oxide (NO) levels in the liver of HFD fed rats. Gene expression analysis demonestrated that metformin treatment was associated with an enhanced expression of antioxidant genes such as Nrf-2, HO-1, SOD and catalase in liver of HFD fed rats. Metformin treatment also found to modulate the expression of fat metabolizing and anti-inflammatory genes including PPAR--γ, C/EBP-α, SREBP1c, FAS, AMPK and GLUT-4. Consistent with the biochemical and gene expression data, the histopathological examination unveiled that metformin treatment attenuated inflammatory cells infiltration, steatosis, hepatocyte necrosis, collagen deposition, and fibrosis in the liver of HFD fed rats.

CONCLUSION

In conclusion, this study suggests that metformin might be effective in the prevention and treatment of HFD-induced steatosis by reducing hepatic oxidative stress and inflammation in the liver.

摘要

目的

本研究调查了二甲双胍治疗对高脂饮食(HFD)喂养大鼠非酒精性脂肪性肝病(NAFLD)相关的肝脏氧化应激和炎症的影响。

方法

将Wistar大鼠用HFD或实验室普通饲料喂养8周。二甲双胍以200mg/kg的剂量口服给药。每天记录体重、食物和水的摄入量。对血浆和组织样本进行口服葡萄糖耐量试验(OGTT)、生化分析和组织学检查。使用逆转录聚合酶链反应(RT-PCR)分析抗氧化和抗炎mRNA表达。

结果

二甲双胍治疗8周可防止HFD喂养大鼠体重增加,并减少脂肪沉积。生化分析显示,二甲双胍治疗显著降低了HFD喂养大鼠肝脏中的硝基氧化应激标志物丙二醛(MDA)、晚期蛋白质氧化产物(APOP)和过量一氧化氮(NO)水平。基因表达分析表明,二甲双胍治疗与HFD喂养大鼠肝脏中抗氧化基因如Nrf-2、HO-1、SOD和过氧化氢酶的表达增强有关。还发现二甲双胍治疗可调节脂肪代谢和抗炎基因的表达,包括PPAR-γ、C/EBP-α、SREBP1c、FAS、AMPK和GLUT-4。与生化和基因表达数据一致,组织病理学检查表明,二甲双胍治疗减轻了HFD喂养大鼠肝脏中的炎症细胞浸润、脂肪变性、肝细胞坏死、胶原沉积和纤维化。

结论

总之,本研究表明二甲双胍可能通过降低肝脏氧化应激和炎症,有效预防和治疗HFD诱导的脂肪变性。

https://cdn.ncbi.nlm.nih.gov/pmc/blobs/66f4/8605070/a255f7bd034c/gr1.jpg

文献AI研究员

20分钟写一篇综述,助力文献阅读效率提升50倍。

立即体验

用中文搜PubMed

大模型驱动的PubMed中文搜索引擎

马上搜索

文档翻译

学术文献翻译模型,支持多种主流文档格式。

立即体验