Suppr超能文献

载米托蒽醌的纳米铁蛋白可减缓皮下胰腺癌小鼠模型中的肿瘤生长并提高总生存率。

Mitoxantrone-Loaded Nanoferritin Slows Tumor Growth and Improves the Overall Survival Rate in a Subcutaneous Pancreatic Cancer Mouse Model.

作者信息

Conti Giamaica, Pitea Martina, Ossanna Riccardo, Opri Roberta, Tisci Giada, Falvo Elisabetta, Innamorati Giulio, Ghanem Esther, Sbarbati Andrea, Ceci Pierpaolo, Fracasso Giulio

机构信息

Department of Neurological and Movement Sciences, University of Verona, 37134 Verona, Italy.

Department of Biochemical Sciences, University Sapienza, 00185 Rome, Italy.

出版信息

Biomedicines. 2021 Nov 5;9(11):1622. doi: 10.3390/biomedicines9111622.

Abstract

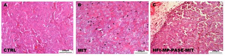
Pancreatic cancer (PC) represents an intriguing topic for researchers. To date, the prognosis of metastasized PC is poor with just 7% of patients exceeding a five-year survival period. Thus, molecular modifications of existing drugs should be developed to change the course of the disease. Our previously generated nanocages of Mitoxantrone (MIT) encapsulated in human H-chain Ferritin (HFt), designated as HFt-MP-PASE-MIT, has shown excellent tumor distribution and extended serum half-life meriting further investigation for PC treatment. Thus, in this study, we used the same nano-formulation to test its cytotoxicity using both in vitro and in vivo assays. Interestingly, both encapsulated and free-MIT drugs demonstrated similar killing capabilities on PaCa44 cell line. Conversely, in vivo assessment in a subcutaneous PaCa44 tumor model of PC demonstrated a remarkable capability for encapsulated MIT to control tumor growth and improve mouse survival with a median survival rate of 65 vs. 33 days for loaded and free-MIT, respectively. Interestingly, throughout the course of mice treatment, MIT encapsulation did not present any adverse side effects as confirmed by histological analysis of various murine tissue organs and body mass weights. Our results are promising and pave the way to effective PC targeted chemotherapy using our HFt nanodelivery platforms.

摘要

胰腺癌(PC)是研究人员感兴趣的一个课题。迄今为止,转移性胰腺癌的预后很差,只有7%的患者能存活超过五年。因此,应开发现有药物的分子修饰物来改变疾病进程。我们之前制备的包裹有米托蒽醌(MIT)的纳米笼,其被封装在人H链铁蛋白(HFt)中,命名为HFt-MP-PASE-MIT,已显示出优异的肿瘤分布和延长的血清半衰期,值得进一步研究用于胰腺癌治疗。因此,在本研究中,我们使用相同的纳米制剂,通过体外和体内试验来测试其细胞毒性。有趣的是,包裹型和游离型MIT药物对PaCa44细胞系显示出相似的杀伤能力。相反,在胰腺癌皮下PaCa44肿瘤模型中的体内评估表明,包裹型MIT具有显著的控制肿瘤生长和提高小鼠存活率的能力,负载型和游离型MIT的中位存活率分别为65天和33天。有趣的是,在小鼠治疗过程中,通过对各种小鼠组织器官的组织学分析和体重测量证实,MIT封装未出现任何不良副作用。我们的结果很有前景,为使用我们的HFt纳米递送平台进行有效的胰腺癌靶向化疗铺平了道路。

https://cdn.ncbi.nlm.nih.gov/pmc/blobs/3d29/8615572/f6e2989e01ba/biomedicines-09-01622-g001.jpg

文献AI研究员

20分钟写一篇综述,助力文献阅读效率提升50倍。

立即体验

用中文搜PubMed

大模型驱动的PubMed中文搜索引擎

马上搜索

文档翻译

学术文献翻译模型,支持多种主流文档格式。

立即体验