Suppr超能文献

环状 RNA 蛋白酪氨酸激酶 2(circPTK2)促进结直肠癌的增殖、迁移、侵袭和化疗耐药性。

Circular RNA protein tyrosine kinase 2 (circPTK2) promotes colorectal cancer proliferation, migration, invasion and chemoresistance.

机构信息

Department of Gastrointestinal Surgery, The Sixth Affiliated Hospital of Sun Yat-sen University, Guangdong Institute of Gastroenterology, Guangdong Provincial Key Laboratory of Colorectal and Pelvic Floor Diseases, Guangzhou, Guangdong, China.

出版信息

Bioengineered. 2022 Jan;13(1):810-823. doi: 10.1080/21655979.2021.2012952.

Abstract

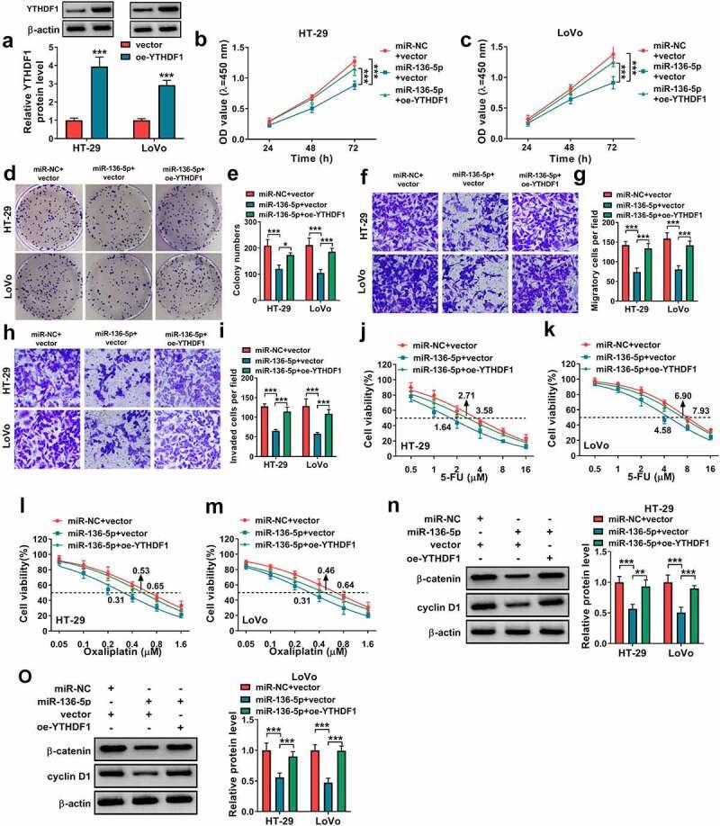
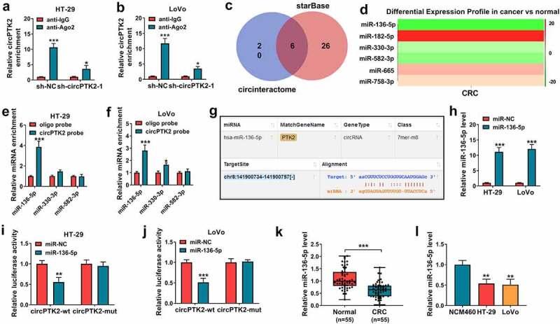
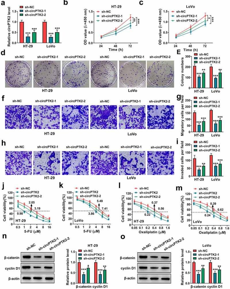
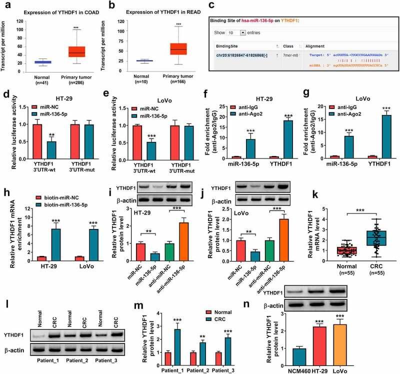
The dysregulated circular RNAs (circRNAs) are linked to progression and chemoresistance in colorectal cancer (CRC). However, the role of circRNA protein tyrosine kinase 2 (circPTK2) in CRC progression and chemoresistance is uncertain. The circPTK2, microRNA (miR)-136-5p, m6A 'reader' protein YTH domain family protein 1 (YTHDF1), β-catenin and cyclin D1 abundances were examined via quantitative reverse transcription PCR or Western blotting. The progression was investigated by cell counting kit-8 (CCK-8), colony formation, transwell and xenograft analysis. The resistance to 5-fluorouracil (5-FU) and oxaliplatin was analyzed via detecting cell viability and apoptosis using CCK-8 analysis and flow cytometry. The binding relationship was examined through dual-luciferase reporter, RNA immunoprecipitation and pull-down analysis. In our study, circPTK2 abundance was enhanced in CRC and associated with liver metastasis, clinical stage and chemoresistance. CircPTK2 knockdown constrained cell proliferation, migration, invasion, resistance to 5-FU and oxaliplatin, and the Wnt/β-catenin signaling. MiR-136-5p was bound with circPTK2 and downregulated in CRC. MiR-136-5p knockdown attenuated the influence of circPTK2 silence on CRC progression and chemoresistance. YTHDF1 was targeted via miR-136-5p and upregulated in CRC samples and cells. MiR-136-5p targeted YTHDF1 to restrain CRC progression and chemoresistance. In addition, we confirmed that circPTK2 silence reduced xenograft tumor growth. In conclusion, circPTK2 interference suppressed CRC proliferation, migration, invasion and chemoresistance via regulating miR-136-5p and YTHDF1. circRNAs: circular RNAs; CRC: colorectal cancer; circPTK2: circRNA protein tyrosine kinase 2; miR: microRNA; YTHDF1: YTH domain family protein 1; CCK-8: cell counting kit-8; 5-FU: 5-fluorouracil; RIP: RNA immunoprecipitation.

摘要

失调的环状 RNA(circRNA)与结直肠癌(CRC)的进展和化疗耐药有关。然而,环状 RNA 蛋白酪氨酸激酶 2(circPTK2)在 CRC 进展和化疗耐药中的作用尚不确定。通过定量逆转录 PCR 或 Western blot 检测 circPTK2、microRNA(miR)-136-5p、m6A“读取器”蛋白 YTH 结构域家族蛋白 1(YTHDF1)、β-连环蛋白和细胞周期蛋白 D1 的丰度。通过细胞计数试剂盒-8(CCK-8)、集落形成、transwell 和异种移植分析研究进展。通过 CCK-8 分析和流式细胞术检测细胞活力和细胞凋亡分析 5-氟尿嘧啶(5-FU)和奥沙利铂的耐药性。通过双荧光素酶报告、RNA 免疫沉淀和下拉分析检测结合关系。在我们的研究中,circPTK2 的丰度在 CRC 中增加,并与肝转移、临床分期和化疗耐药有关。circPTK2 敲低抑制细胞增殖、迁移、侵袭、对 5-FU 和奥沙利铂的耐药性以及 Wnt/β-连环蛋白信号。miR-136-5p 与 circPTK2 结合并在 CRC 中下调。miR-136-5p 敲低减弱了 circPTK2 沉默对 CRC 进展和化疗耐药的影响。YTHDF1 通过 miR-136-5p 靶向并在 CRC 样本和细胞中上调。miR-136-5p 靶向 YTHDF1 以抑制 CRC 进展和化疗耐药。此外,我们证实 circPTK2 沉默减少了异种移植肿瘤的生长。总之,circPTK2 干扰通过调节 miR-136-5p 和 YTHDF1 抑制 CRC 增殖、迁移、侵袭和化疗耐药。circRNAs:环状 RNA;CRC:结直肠癌;circPTK2:环状 RNA 蛋白酪氨酸激酶 2;miR:microRNA;YTHDF1:YTH 结构域家族蛋白 1;CCK-8:细胞计数试剂盒-8;5-FU:5-氟尿嘧啶;RIP:RNA 免疫沉淀。

https://cdn.ncbi.nlm.nih.gov/pmc/blobs/9352/8805883/bca9897c3dab/KBIE_A_2012952_F0001_OC.jpg

文献AI研究员

20分钟写一篇综述,助力文献阅读效率提升50倍。

立即体验

用中文搜PubMed

大模型驱动的PubMed中文搜索引擎

马上搜索

文档翻译

学术文献翻译模型,支持多种主流文档格式。

立即体验