Suppr超能文献

chi-miR-487b-3p 通过靶向 IRS1/PI3K/Akt 信号通路抑制山羊肌细胞增殖和分化。

chi-miR-487b-3p Inhibits Goat Myoblast Proliferation and Differentiation by Targeting IRS1 through the IRS1/PI3K/Akt Signaling Pathway.

机构信息

Key Laboratory of Animal Genetics, Breeding and Reproduction of Shaanxi Province, College of Animal Science and Technology, Northwest A&F University, Yangling, Xianyang 712100, China.

出版信息

Int J Mol Sci. 2021 Dec 23;23(1):115. doi: 10.3390/ijms23010115.

Abstract

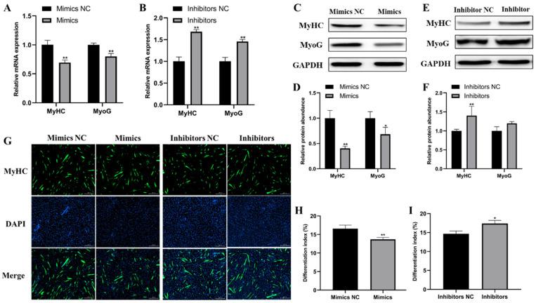
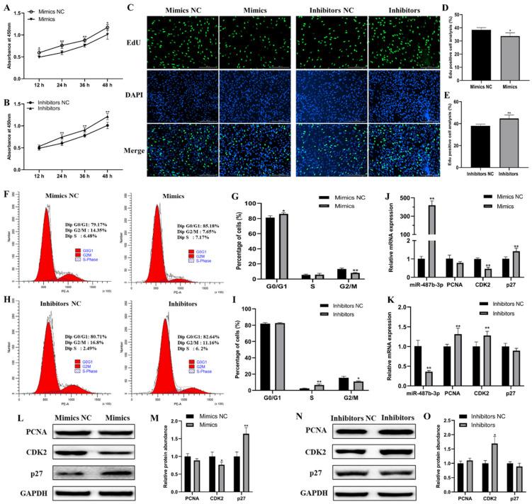
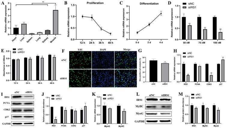
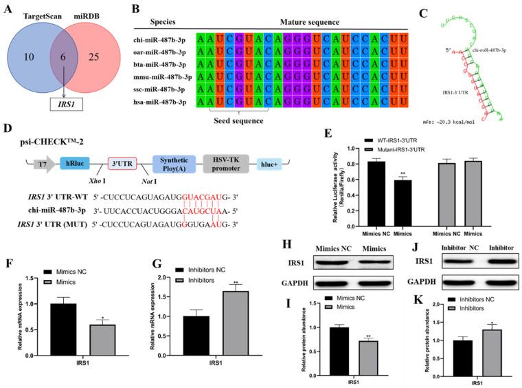
MicroRNAs (miRNAs) are endogenously expressed small noncoding RNAs and play critical roles in the regulation of post-transcriptional gene expression. Our previous study uncovered that chi-miR-487b-3p is widespread in different goat tissues, which is significantly higher in muscle, especially in lamb. Here, we demonstrate the role of chi-miR-487b-3p as a myogenic miRNA that regulates skeletal muscle development. chi-miR-487b-3p overexpression was demonstrated to significantly inhibit goat myoblast proliferation and differentiation, whereas chi-miR-487b-3p inhibition resulted in the opposite effects. Next, chi-miR-487b-3p was predicted to target the 3'UTR of insulin receptor substrate 1 () gene by Target-Scan and miRDB. The results of dual-luciferase assay, RT-qPCR, and western blot all confirmed that might be a direct target of chi-miR-487b-3p as its expression was negatively regulated by chi-miR-487b-3p. siRNA silencing of further demonstrated significant inhibition on goat myoblast proliferation and differentiation, confirming the effect of downregulation by chi-miR-487b-3p in myogenesis. In addition, chi-miR-487b-3p knockout goat myoblast clones were generated using CRISPR/Cas9 technology, and we further illustrated that chi-miR-487b-3p regulates goat myoblast growth through the PI3K/Akt signaling pathway by targeting . Collectively, our work demonstrated that chi-miR-487b-3p is a potent inhibitor of skeletal myogenesis and provided new insights into the mechanisms of miRNA on the regulation of goat growth.

摘要

微小 RNA(miRNAs)是内源性表达的小非编码 RNA,在转录后基因表达调控中发挥关键作用。我们之前的研究表明,chi-miR-487b-3p 在不同的山羊组织中广泛存在,在肌肉组织中尤其是在羔羊中表达水平较高。在这里,我们证明了 chi-miR-487b-3p 作为一种肌源性 miRNA 调控骨骼肌发育的作用。过表达 chi-miR-487b-3p 显著抑制山羊成肌细胞增殖和分化,而抑制 chi-miR-487b-3p 则产生相反的效果。接下来,通过 Target-Scan 和 miRDB 预测 chi-miR-487b-3p 靶向胰岛素受体底物 1()基因的 3'UTR。双荧光素酶报告基因检测、RT-qPCR 和 Western blot 结果均证实,可能是 chi-miR-487b-3p 的直接靶标,其表达受 chi-miR-487b-3p 负调控。进一步沉默 siRNA 证实了 对山羊成肌细胞增殖和分化的显著抑制作用,证实了 chi-miR-487b-3p 下调在肌生成中的作用。此外,还利用 CRISPR/Cas9 技术生成了 chi-miR-487b-3p 敲除山羊成肌细胞克隆,并进一步表明 chi-miR-487b-3p 通过靶向 调节 PI3K/Akt 信号通路来调控山羊成肌细胞的生长。综上所述,我们的工作表明 chi-miR-487b-3p 是骨骼肌生成的有效抑制剂,并为 miRNA 调控山羊生长的机制提供了新的见解。

https://cdn.ncbi.nlm.nih.gov/pmc/blobs/040c/8745444/9b9d7a5f8b63/ijms-23-00115-g001.jpg

文献AI研究员

20分钟写一篇综述,助力文献阅读效率提升50倍。

立即体验

用中文搜PubMed

大模型驱动的PubMed中文搜索引擎

马上搜索

文档翻译

学术文献翻译模型,支持多种主流文档格式。

立即体验