Suppr超能文献

PRC2 抑制在癌症治疗中的疗效基础是衰老相关 secretory phenotype 的诱导。

Induction of senescence-associated secretory phenotype underlies the therapeutic efficacy of PRC2 inhibition in cancer.

机构信息

Gene Editing Center, School of Life Science and Technology, ShanghaiTech University, Shanghai, 201210, China.

Hubei Key Laboratory of Cell Homeostasis, College of Life Sciences, Wuhan University, Wuhan, China.

出版信息

Cell Death Dis. 2022 Feb 15;13(2):155. doi: 10.1038/s41419-022-04601-6.

Abstract

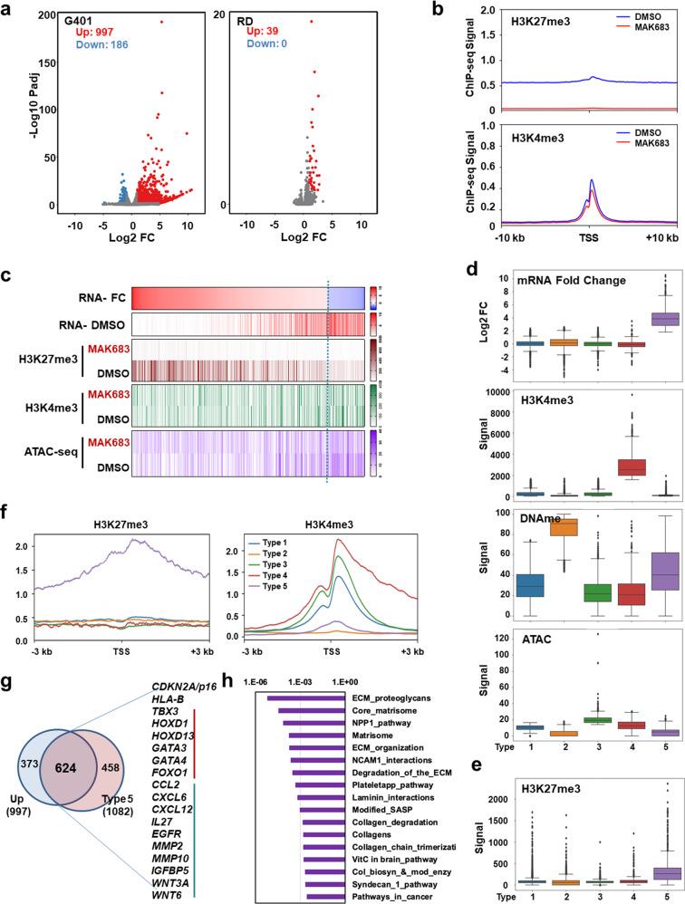
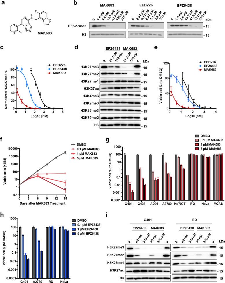
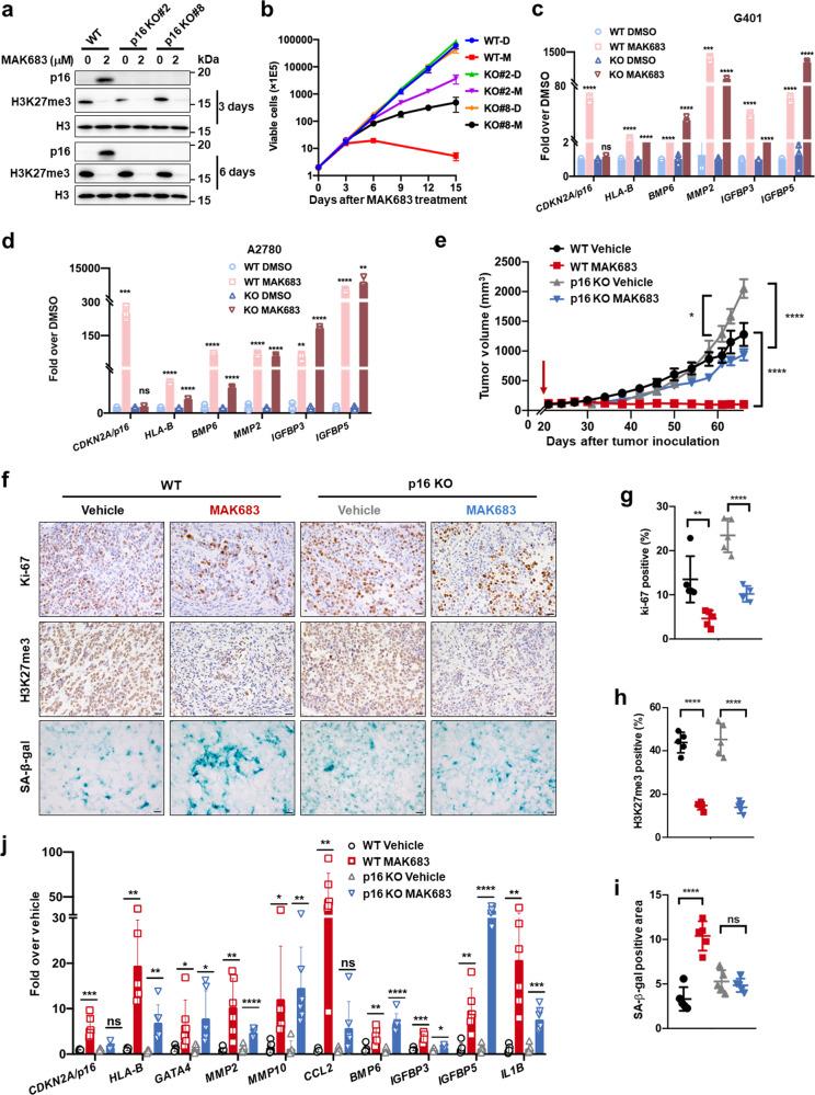
The methyltransferase Polycomb Repressive Complex 2 (PRC2), composed of EZH2, SUZ12, and EED subunits, is associated with transcriptional repression via tri-methylation of histone H3 on lysine 27 residue (H3K27me3). PRC2 is a valid drug target, as the EZH2 gain-of-function mutations identified in patient samples drive tumorigenesis. PRC2 inhibitors have been discovered and demonstrated anti-cancer efficacy in clinic. However, their pharmacological mechanisms are poorly understood. MAK683 is a potent EED inhibitor in clinical development. Focusing on MAK683-sensitive tumors with SMARCB1 or ARID1A loss, we identified a group of PRC2 target genes with high H3K27me3 signal through epigenomic and transcriptomic analysis. Multiple senescence-associated secretory phenotype (SASP) genes, such as GATA4, MMP2/10, ITGA2 and GBP1, are in this group besides previously identified CDKN2A/p16. Upon PRC2 inhibition, the de-repression of SASP genes is detected in multiple sensitive models and contributes to decreased Ki67+, extracellular matrix (ECM) reorganization, senescence associated inflammation and tumor regression even in CDKN2A/p16 knockout tumor. And the combination of PRC2 inhibitor and CDK4/6 inhibitor leads to better effect. The genes potential regulated by PRC2 in neuroblastoma samples exhibited significant enrichment of ECM and senescence associated inflammation, supporting the clinical relevance of our results. Altogether, our results unravel the pharmacological mechanism of PRC2 inhibitors and propose a combination strategy for MAK683 and other PRC2 drugs.

摘要

多梳抑制复合物 2(PRC2)由 EZH2、SUZ12 和 EED 亚基组成,通过组蛋白 H3 赖氨酸 27 位三甲基化(H3K27me3)与转录抑制相关。PRC2 是一个有效的药物靶点,因为在患者样本中鉴定的 EZH2 功能获得性突变驱动肿瘤发生。已经发现了 PRC2 抑制剂,并在临床中证明了其抗癌疗效。然而,它们的药理机制尚不清楚。MAK683 是一种在临床开发中具有强大 EED 抑制作用的化合物。我们专注于 SMARCB1 或 ARID1A 缺失的 MAK683 敏感肿瘤,通过表观基因组学和转录组学分析,确定了一组具有高 H3K27me3 信号的 PRC2 靶基因。除了先前鉴定的 CDKN2A/p16 之外,该组还包括多个衰老相关分泌表型(SASP)基因,如 GATA4、MMP2/10、ITGA2 和 GBP1。在 PRC2 抑制后,在多个敏感模型中检测到 SASP 基因的去抑制,这导致 Ki67+减少、细胞外基质(ECM)重组、衰老相关炎症和肿瘤消退,即使在 CDKN2A/p16 敲除肿瘤中也是如此。并且 PRC2 抑制剂和 CDK4/6 抑制剂的联合使用会产生更好的效果。在神经母细胞瘤样本中受 PRC2 潜在调控的基因表现出 ECM 和衰老相关炎症的显著富集,支持了我们结果的临床相关性。总之,我们的结果揭示了 PRC2 抑制剂的药理机制,并提出了 MAK683 和其他 PRC2 药物的联合治疗策略。

https://cdn.ncbi.nlm.nih.gov/pmc/blobs/cc48/8847585/5a6f9e048df3/41419_2022_4601_Fig1_HTML.jpg

文献AI研究员

20分钟写一篇综述,助力文献阅读效率提升50倍。

立即体验

用中文搜PubMed

大模型驱动的PubMed中文搜索引擎

马上搜索

文档翻译

学术文献翻译模型,支持多种主流文档格式。

立即体验