Suppr超能文献

一名老年糖尿病男性患者的环状肉芽肿性皮疹

Eruptive Granuloma Annulare in an Elderly Man With Diabetes.

作者信息

Al Ameer Mohammed A, Al-Natour Sahar H, Alsahaf Hassan Ahmed A, Alakloby Ghada Omar, Alqahtani Jamal M

机构信息

Department of Dermatology, King Fahad Hospital Hofuf, Al-Ahsa, SAU.

Department of Dermatology, College of Medicine, Imam Abdulrahman Bin Faisal University, Dammam, SAU.

出版信息

Cureus. 2022 Jan 14;14(1):e21242. doi: 10.7759/cureus.21242. eCollection 2022 Jan.

Abstract

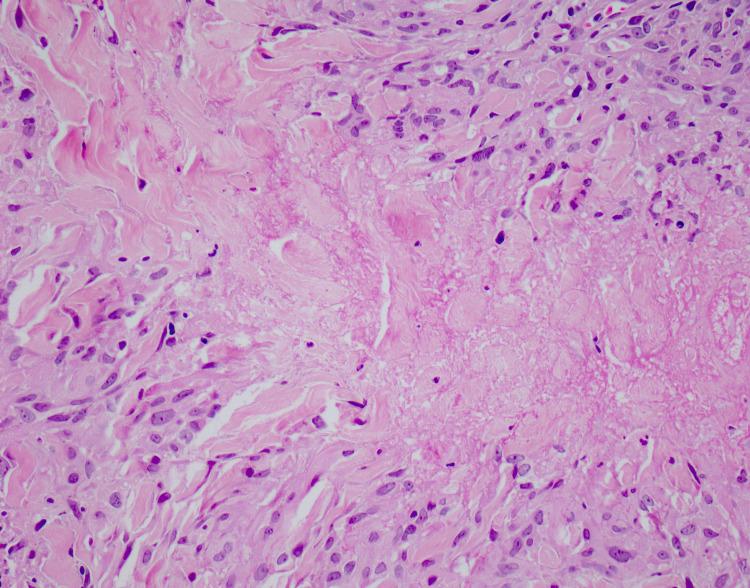
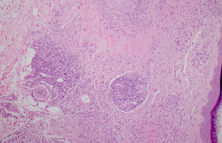
Although the etiology of granuloma annulare (GA) remains unknown, it has been associated with many reported triggers, including chronic medical illnesses and malignancy. Herein, we present a case of an elderly man with diabetes who has a generalized variant of granuloma annulare. The patient had a six-month history of multiple skin-colored, scattered, itchy papules disseminated over the trunk. Clinical features with histological findings are described. Therefore, this case report aimed to present a rare type of diffuse, eruptive granuloma annulare.

摘要

尽管环状肉芽肿(GA)的病因尚不清楚,但已有报道称它与许多诱发因素有关,包括慢性疾病和恶性肿瘤。在此,我们报告一例患有环状肉芽肿全身型的老年糖尿病男性患者。该患者有6个月的病史,躯干上散布着多个肤色、散在、瘙痒的丘疹。本文描述了其临床特征及组织学 findings。因此,本病例报告旨在呈现一种罕见的弥漫性、发疹性环状肉芽肿。

https://cdn.ncbi.nlm.nih.gov/pmc/blobs/f7b4/8841041/2abd54b593af/cureus-0014-00000021242-i01.jpg

文献AI研究员

20分钟写一篇综述,助力文献阅读效率提升50倍。

立即体验

用中文搜PubMed

大模型驱动的PubMed中文搜索引擎

马上搜索

文档翻译

学术文献翻译模型,支持多种主流文档格式。

立即体验