Suppr超能文献

一名系统性红斑狼疮患者的丘疹性脐凹性环状肉芽肿

Papular Umbilicated Granuloma Annulare in a Patient With Systemic Lupus Erythematosus.

作者信息

Matsuo Maho, Niwa Hirofumi, Iwata Hiroaki

机构信息

Dermatology, Gifu University, Gifu, JPN.

出版信息

Cureus. 2023 Oct 24;15(10):e47600. doi: 10.7759/cureus.47600. eCollection 2023 Oct.

Abstract

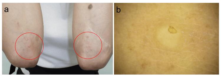
Granuloma annulare (GA) is characterized by palisading granuloma, which is histopathologically distinguished by histiocytes arrayed in a palisade configuration encircling insoluble entities associated with degenerated collagen fibrils. The present case demonstrated multiple cutaneous papules showing palisading granuloma in a patient with SLE. A 39-year-old woman has been taking oral prednisolone daily, hydroxychloroquine sulfate, and belimumab for systemic lupus erythematosus (SLE). A few papules appeared on the lateral side of the left arm and gradually increased around both sides. Physical examination found multiple firm skin-colored papules ranging in diameter from 2 to 3 mm on both forearms. Some of the papules had umbilicated tops. Histopathological examination showed degenerated collagen fibers with mucin deposition surrounded by histiocyte infiltrates in the dermis. These findings are characteristic of palisading granuloma. There are several GA variants, such as generalized, subcutaneous, and perforating GA. We considered several possibilities of the mechanisms underlying characteristic histological changes; atypical generalized GA variants, dermatofibroma, and granuloma associated with cutaneous vasculitis. We made the final diagnosis of papular umbilicated GA in the context of SLE.

摘要

环状肉芽肿(GA)的特征是栅栏状肉芽肿,在组织病理学上,其特征为组织细胞呈栅栏状排列,围绕着与变性胶原纤维相关的不溶性物质。本病例显示,一名系统性红斑狼疮(SLE)患者出现多个表现为栅栏状肉芽肿的皮肤丘疹。一名39岁女性因系统性红斑狼疮(SLE)每日服用口服泼尼松龙、硫酸羟氯喹和贝利木单抗。左侧手臂外侧出现了一些丘疹,并逐渐在双侧增多。体格检查发现双侧前臂有多个坚实的肤色丘疹,直径为2至3毫米。一些丘疹顶部呈脐凹状。组织病理学检查显示真皮内胶原纤维变性,伴有粘蛋白沉积,周围有组织细胞浸润。这些发现是栅栏状肉芽肿的特征。环状肉芽肿有几种变体,如泛发性、皮下型和穿通性环状肉芽肿。我们考虑了特征性组织学改变的几种潜在机制;非典型泛发性环状肉芽肿变体、皮肤纤维瘤和与皮肤血管炎相关的肉芽肿。我们最终诊断为SLE背景下的脐凹状丘疹性环状肉芽肿。

https://cdn.ncbi.nlm.nih.gov/pmc/blobs/0e11/10665771/abc5b4473554/cureus-0015-00000047600-i01.jpg

文献AI研究员

20分钟写一篇综述,助力文献阅读效率提升50倍。

立即体验

用中文搜PubMed

大模型驱动的PubMed中文搜索引擎

马上搜索

文档翻译

学术文献翻译模型,支持多种主流文档格式。

立即体验