Suppr超能文献

微小RNA-451a通过调节YTHDC1介导的N6-甲基腺嘌呤甲基化以激活AKT/雷帕霉素靶蛋白信号通路,从而促进骨肉瘤细胞的生长、迁移和上皮-间质转化。

MiR-451a promotes cell growth, migration and EMT in osteosarcoma by regulating YTHDC1-mediated m6A methylation to activate the AKT/mTOR signaling pathway.

作者信息

Cao Dong, Ge Shanshan, Li Mengchun

机构信息

The Physical Examination Center, First Hospital of Shanxi Medical University, Taiyuan 030001, Shanxi, China.

Department of Nuclear Medicine, First Hospital of Shanxi Medical University, Taiyuan 030001, Shanxi, China.

出版信息

J Bone Oncol. 2022 Jan 19;33:100412. doi: 10.1016/j.jbo.2022.100412. eCollection 2022 Apr.

Abstract

BACKGROUND

Osteosarcoma is the most prevalent primary malignant bone tumor containing mesenchymal cells with poor prognosis. Being a hot spot of anti-tumor therapy researches, AKT/mammalian target of rapamycin (mTOR) signaling pathway could affect various cellular processes including transcription, protein synthesis, apoptosis, autophagy and growth.

MATERIALS AND METHODS

The levels of RNA and protein were detected by quantitative real-time polymerase chain reaction (q-PCR) and western blot analyses respectively. Functional assays were carried out to analyze the malignant phenotypes of osteosarcoma cells. RNA-binding protein immunoprecipitation (RIP), Co-immunoprecipitation (Co-IP), RNA pulldown, luciferase reporter and in vitro kinase assays were conducted to uncover the specific mechanism of microRNA-451a (miR-451a) in osteosarcoma cells.

RESULTS

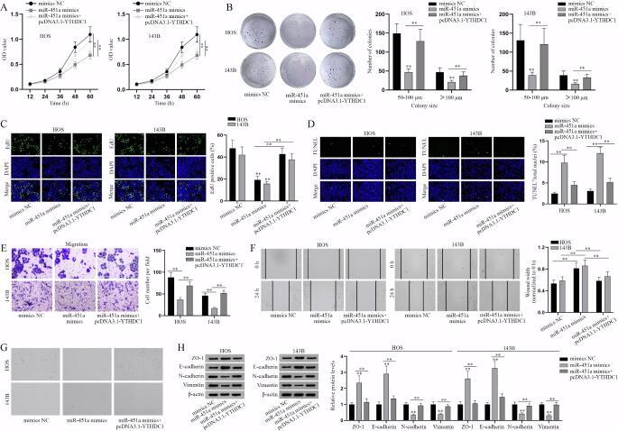
Functionally, miR-451a represses the malignant progression of osteosarcoma. Mechanically, miR-451a could curb the AKT/mTOR pathway via 3-phosphoinositide dependent protein kinase 1 (PDPK1)-mediated phosphorylation modification. After the certification that YTH domain containing 1 (YTHDC1) regulates the m6A phosphorylation modification of PDPK1 mRNA, we further proved that miR-451a-mediated YTHDC1 stabilizes PDPK1 mRNA via m6A-dependent regulation.

CONCLUSION

This study demonstrated that miR-451a regulates YTHDC1-mediated m6A methylation to activate the AKT/mTOR pathway, stimulating the malignancy of osteosarcoma.

摘要

背景

骨肉瘤是最常见的原发性恶性骨肿瘤,由间充质细胞构成,预后较差。作为抗肿瘤治疗研究的热点,AKT/雷帕霉素哺乳动物靶蛋白(mTOR)信号通路可影响包括转录、蛋白质合成、凋亡、自噬和生长在内的各种细胞过程。

材料与方法

分别通过定量实时聚合酶链反应(q-PCR)和蛋白质免疫印迹分析检测RNA和蛋白质水平。进行功能分析以分析骨肉瘤细胞的恶性表型。进行RNA结合蛋白免疫沉淀(RIP)、免疫共沉淀(Co-IP)、RNA下拉、荧光素酶报告基因和体外激酶分析,以揭示微小RNA-451a(miR-451a)在骨肉瘤细胞中的具体机制。

结果

在功能上,miR-451a抑制骨肉瘤的恶性进展。在机制上,miR-451a可通过3-磷酸肌醇依赖性蛋白激酶1(PDPK1)介导的磷酸化修饰抑制AKT/mTOR通路。在证实含YTH结构域蛋白1(YTHDC1)调节PDPK1 mRNA的m6A磷酸化修饰后,我们进一步证明miR-451a介导的YTHDC1通过m6A依赖性调节稳定PDPK1 mRNA。

结论

本研究表明,miR-451a通过调节YTHDC1介导的m6A甲基化激活AKT/mTOR通路,促进骨肉瘤的恶性发展。

https://cdn.ncbi.nlm.nih.gov/pmc/blobs/32ab/8842083/8678845a2918/ga1.jpg

文献AI研究员

20分钟写一篇综述,助力文献阅读效率提升50倍。

立即体验

用中文搜PubMed

大模型驱动的PubMed中文搜索引擎

马上搜索

文档翻译

学术文献翻译模型,支持多种主流文档格式。

立即体验