Suppr超能文献

一种基于阳离子两亲性罗非鱼杀鱼菌素4肽的抗菌制剂可促进细菌性阴道病相关细菌生物膜的清除。

A Cationic Amphipathic Tilapia Piscidin 4 Peptide-Based Antimicrobial Formulation Promotes Eradication of Bacterial Vaginosis-Associated Bacterial Biofilms.

作者信息

Lin Wen-Chun, Chen Yun-Ru, Chuang Chi-Mu, Chen Jyh-Yih

机构信息

Marine Research Station, Institute of Cellular and Organismic Biology, Academia Sinica, Jiaushi, Taiwan.

Academia Sinica Protein Clinic, Institute of Biological Chemistry, Academia Sinica, Taipei, Taiwan.

出版信息

Front Microbiol. 2022 Mar 23;13:806654. doi: 10.3389/fmicb.2022.806654. eCollection 2022.

Abstract

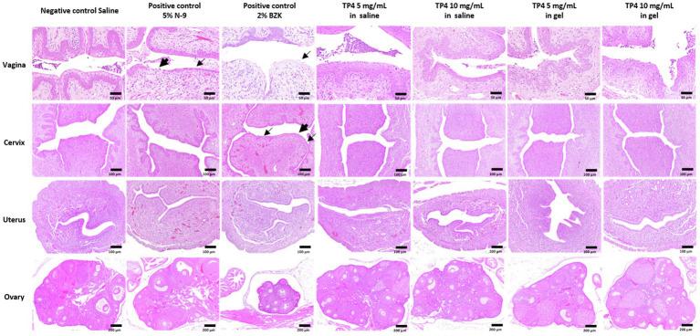
Bacterial vaginosis (BV) is prevalent among women of reproductive age and has a high rate of recurrence, which can be largely attributed to ineffective BV biofilm eradication by current first-line antibiotics. In this study, we report that the Nile tilapia piscidin 4 (TP4) exhibits broad-spectrum antimicrobial and antibiofilm activity against BV-associated bacteria, but not beneficial lactobacilli. In addition, BV-associated remains susceptible to TP4 even after continual exposure to the peptide for up to 22 passages. and are both biofilm-forming BV-associated bacteria, and we found that combining TP4 peptide and disodium EDTA with the biofilm-disrupting agent, chitosan, can eradicate biofilms formed by single or mixed and . In addition, long-term storage of TP4 peptide in chitosan did not diminish its bactericidal activity toward . Preformulation studies were performed using High performance liquid chromatography (HPLC) and Circular Dichroism (CD). The long-term stability of TP4 peptide was assessed under various conditions, such as different temperatures and ionic strengths, and in the presence of HO and lactic acid. When exposed to sodium dodecyl sulfate (SDS), TP4 maintained its secondary structure at various temperatures, salt and disodium EDTA concentrations. Furthermore, the TP4 microbicide formulation significantly reduced the colonization density of BV-associated bacteria in mice infected with single or mixed bacteria ( and ). The TP4 microbicide formulation showed biocompatibility with beneficial human vaginal lactobacilli and female reproductive tissues in C57BL/6 mice. These results suggest that the TP4 microbicide formulation could be a promising topical microbicide agent for BV treatment.

摘要

细菌性阴道病(BV)在育龄女性中普遍存在,且复发率高,这在很大程度上可归因于当前一线抗生素对BV生物膜的清除效果不佳。在本研究中,我们报告尼罗罗非鱼抗菌肽4(TP4)对与BV相关的细菌具有广谱抗菌和抗生物膜活性,但对有益的乳酸杆菌无此活性。此外,即使将与BV相关的细菌连续暴露于该肽长达22代,它们仍对TP4敏感。[细菌名称1]和[细菌名称2]都是形成生物膜的与BV相关的细菌,我们发现将TP4肽和乙二胺四乙酸二钠与生物膜破坏剂壳聚糖联合使用,可以清除由单一或混合的[细菌名称1]和[细菌名称2]形成的生物膜。此外,TP4肽在壳聚糖中长期储存不会降低其对[细菌名称1]的杀菌活性。使用高效液相色谱(HPLC)和圆二色性(CD)进行了预制剂研究。在不同条件下,如不同温度、离子强度以及存在过氧化氢和乳酸的情况下,评估了TP4肽的长期稳定性。当暴露于十二烷基硫酸钠(SDS)时,TP4在不同温度、盐浓度和乙二胺四乙酸二钠浓度下均保持其二级结构。此外,TP4杀微生物剂制剂显著降低了感染单一或混合细菌([细菌名称1]和[细菌名称2])的小鼠体内与BV相关细菌的定植密度。TP4杀微生物剂制剂在C57BL/6小鼠中显示出与有益的人阴道乳酸杆菌和雌性生殖组织的生物相容性。这些结果表明,TP4杀微生物剂制剂可能是一种有前景的用于治疗BV的局部杀微生物剂。

https://cdn.ncbi.nlm.nih.gov/pmc/blobs/36db/9015711/2faf2a59b9ac/fmicb-13-806654-g001.jpg

文献AI研究员

20分钟写一篇综述,助力文献阅读效率提升50倍。

立即体验

用中文搜PubMed

大模型驱动的PubMed中文搜索引擎

马上搜索

文档翻译

学术文献翻译模型,支持多种主流文档格式。

立即体验