Suppr超能文献

高温孵化对鬣蜥性别重编程的发育动力学影响

Developmental dynamics of sex reprogramming by high incubation temperatures in a dragon lizard.

作者信息

Whiteley Sarah L, Holleley Clare E, Georges Arthur

机构信息

Institute for Applied Ecology, University of Canberra, Canberra, Australia.

Australian National Wildlife Collection, CSIRO, Canberra, Australia.

出版信息

BMC Genomics. 2022 Apr 22;23(1):322. doi: 10.1186/s12864-022-08544-2.

Abstract

BACKGROUND

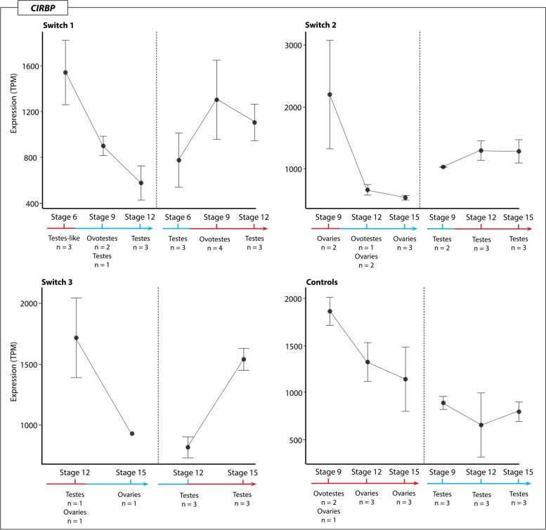
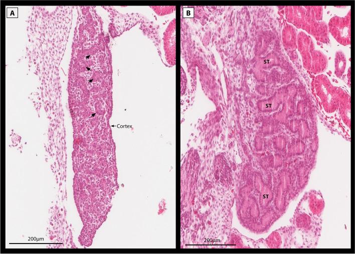
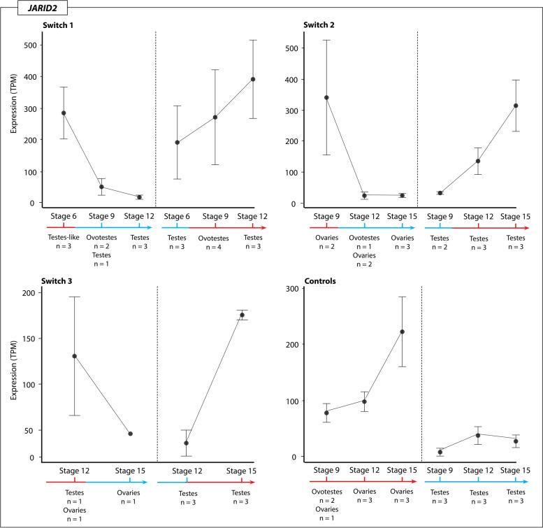
In some vertebrate species, gene-environment interactions can determine sex, driving bipotential gonads to differentiate into either ovaries or testes. In the central bearded dragon (Pogona vitticeps), the genetic influence of sex chromosomes (ZZ/ZW) can be overridden by high incubation temperatures, causing ZZ male to female sex reversal. Previous research showed ovotestes, a rare gonadal phenotype with traits of both sexes, develop during sex reversal, leading to the hypothesis that sex reversal relies on high temperature feminisation to outcompete the male genetic cue. To test this, we conducted temperature switching experiments at key developmental stages, and analysed the effect on gonadal phenotypes using histology and transcriptomics.

RESULTS

We found sexual fate is more strongly influenced by the ZZ genotype than temperature. Any exposure to low temperatures (28 °C) caused testes differentiation, whereas sex reversal required longer exposure to high temperatures. We revealed ovotestes exist along a spectrum of femaleness to male-ness at the transcriptional level. We found inter-individual variation in gene expression changes following temperature switches, suggesting both genetic sensitivity to, and the timing and duration of the temperature cue influences sex reversal.

CONCLUSIONS

These findings bring new insights to the mechanisms underlying sex reversal, improving our understanding of thermosensitive sex systems in vertebrates.

摘要

背景

在一些脊椎动物物种中,基因与环境的相互作用可以决定性别,促使具有双向分化潜能的性腺分化为卵巢或睾丸。在中部鬃狮蜥(鬃狮蜥)中,性染色体(ZZ/ZW)的遗传影响会被高温孵化所掩盖,导致ZZ雄性发生性反转成为雌性。先前的研究表明,卵睾体是一种罕见的具有两性特征的性腺表型,在性反转过程中发育,这导致了一种假设,即性反转依赖于高温雌性化来战胜雄性遗传信号。为了验证这一点,我们在关键发育阶段进行了温度转换实验,并使用组织学和转录组学分析了对性腺表型的影响。

结果

我们发现性别命运受ZZ基因型的影响比受温度的影响更强。任何暴露于低温(28°C)都会导致睾丸分化,而性反转则需要更长时间暴露于高温。我们发现在转录水平上,卵睾体存在从雌性到雄性的一系列状态。我们发现温度转换后基因表达变化存在个体间差异,这表明对温度信号的遗传敏感性以及温度信号的时机和持续时间都会影响性反转。

结论

这些发现为性反转的潜在机制带来了新的见解,增进了我们对脊椎动物热敏性别系统的理解。

https://cdn.ncbi.nlm.nih.gov/pmc/blobs/658d/9034607/ef2d9729ac42/12864_2022_8544_Fig1_HTML.jpg

文献AI研究员

20分钟写一篇综述,助力文献阅读效率提升50倍。

立即体验

用中文搜PubMed

大模型驱动的PubMed中文搜索引擎

马上搜索

文档翻译

学术文献翻译模型,支持多种主流文档格式。

立即体验