Suppr超能文献

黄芪甲苷IV(AS-IV)通过Wnt/β-连环蛋白信号通路减轻肝细胞癌的恶性生物学行为。

Astragaloside IV (AS-IV) alleviates the malignant biological behavior of hepatocellular carcinoma Wnt/β-catenin signaling pathway.

作者信息

Jiang ZhongYu, Mao Zhen

机构信息

Department of Cancer Center, Zhejiang Quhua Hospital Quzhou City Zhejiang Province 324004 China.

Department of Traditional Chinese Medicine, Gansu Provincial Hospital No. 204, Donggang West Road, Chengguan District Lanzhou City Gansu Province 730000 China

出版信息

RSC Adv. 2019 Nov 1;9(61):35473-35482. doi: 10.1039/c9ra05933d. eCollection 2019 Oct 31.

Abstract

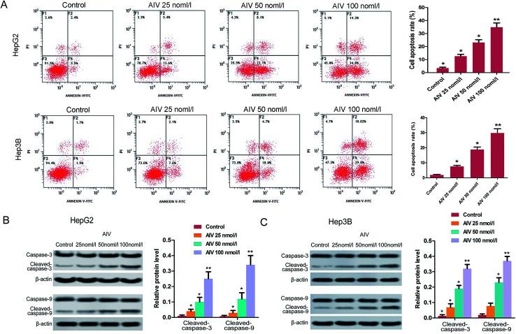
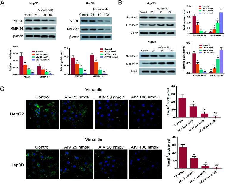
Astragaloside IV (AS-IV) is an active substance isolated from (Fisch.) Bungede, which has been shown to have pharmacological effects in a variety of cancers. However, the effects of AS-IV in hepatocellular carcinoma (HCC) and its related mechanisms have been poorly understood. In this study, we explored the roles of AS-IV on HCC and the underlying signaling pathway. We reported that the appropriate concentrations of AS-IV (25, 50, 100 nmol l) significantly suppressed the proliferation and cell cycle of HepG2 and Hep3B cell lines whilst promoting apoptosis. Besides, a trans-well and wound healing assay showed that AS-IV could markedly inhibit the migration and invasion of HepG2 and Hep3B cells, the expression of E-cadherin was up-regulation but the expression of N-cadherin and vimentin was down-regulation, and the protein levels of cleaved-caspase-3, 9 were increased markedly compared with the corresponding control. Furthermore, animal model treatment revealed that AS-IV could effectively reduce tumor formation. Moreover, AS-IV also significantly weakened the expression of Wnt, β-catenin and TCF-4 and . Taken together, these results suggested that AS-IV inhibited the biological processes of HCC regulating of the Wnt/β-catenin pathway.

摘要

黄芪甲苷IV(AS-IV)是从蒙古黄芪中分离出的一种活性物质,已被证明在多种癌症中具有药理作用。然而,AS-IV在肝细胞癌(HCC)中的作用及其相关机制尚不清楚。在本研究中,我们探讨了AS-IV对HCC的作用及其潜在的信号通路。我们发现,适当浓度的AS-IV(25、50、100 nmol/l)能显著抑制HepG2和Hep3B细胞系的增殖和细胞周期,同时促进细胞凋亡。此外,Transwell和伤口愈合实验表明,AS-IV能显著抑制HepG2和Hep3B细胞的迁移和侵袭,E-钙黏蛋白的表达上调,而N-钙黏蛋白和波形蛋白的表达下调,与相应对照组相比,裂解的半胱天冬酶-3、9的蛋白水平显著增加。此外,动物模型治疗显示,AS-IV能有效减少肿瘤形成。此外,AS-IV还显著减弱了Wnt、β-连环蛋白和TCF-4的表达。综上所述,这些结果表明AS-IV通过调节Wnt/β-连环蛋白通路抑制了HCC的生物学过程。

https://cdn.ncbi.nlm.nih.gov/pmc/blobs/7f18/9074712/e70d03f9021d/c9ra05933d-f1.jpg

文献AI研究员

20分钟写一篇综述,助力文献阅读效率提升50倍。

立即体验

用中文搜PubMed

大模型驱动的PubMed中文搜索引擎

马上搜索

文档翻译

学术文献翻译模型,支持多种主流文档格式。

立即体验