Suppr超能文献

慢性肾脏病(CKD)中骨活检与组织形态计量分析的复兴时机:从怀疑主义到实用主义。

Time for Revival of Bone Biopsy with Histomorphometric Analysis in Chronic Kidney Disease (CKD): Moving from Skepticism to Pragmatism.

机构信息

National Research Council (CNR), Institute of Clinical Physiology (IFC), 56124 Pisa, Italy.

Department of Medicine, University of Padova, 35128 Padova, Italy.

出版信息

Nutrients. 2022 Apr 22;14(9):1742. doi: 10.3390/nu14091742.

Abstract

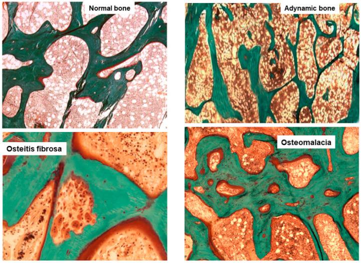
Bone Biopsy (BB) with histomorphometric analysis still represents the gold standard for the diagnosis and classification of different forms of renal osteodystrophy. Bone biopsy is the only technique able to provide comprehensive information on all bone parameters, measuring static and dynamic parameters of turnover, cortical and trabecular microarchitecture, and mineralization defects. In nephrological practice, bone biopsy yields relevant indications to support therapeutic choices in CKD, heavily impacting the management and prognosis of uremic patients. Unfortunately, the use of bone biopsy has decreased; a lack of expertise in performing and interpreting, perceived procedure invasiveness and pain, and reimbursement issues have all contributed to this decline. Nevertheless, both bone biomarkers and instrumental images cannot be considered reliable surrogates for histological findings, being insufficiently accurate to properly evaluate underlying mineral and bone disorders. This is a multidisciplinary position paper from the Nephrology and Osteoporosis Italian Scientific Societies with the purpose of restating the role of bone biopsy in CKD patient management and of providing strong solutions to allow diffusion of this technique in Italy, but potentially also in other countries. The Italian approach through the optimization and standardization of bone biopsy procedure, the construction of the Italian Hub and Spoke network, and a request for adjustment and national homogenization of reimbursement to the Italian Health Ministry has led the way to implement bone biopsy and to improve CKD patient management and prognosis.

摘要

骨活检(BB)联合组织形态计量学分析仍然是诊断和分类不同形式肾性骨营养不良的金标准。骨活检是唯一能够提供所有骨参数全面信息的技术,可测量骨转换的静态和动态参数、皮质和小梁微结构以及矿化缺陷。在肾脏病学实践中,骨活检提供了相关的适应证,支持慢性肾脏病患者的治疗选择,对尿毒症患者的管理和预后有重大影响。不幸的是,骨活检的应用已经减少;缺乏操作和解释方面的专业知识、感知到的程序侵入性和疼痛,以及报销问题都促成了这种下降。然而,骨生物标志物和仪器图像都不能被视为组织学发现的可靠替代物,因为它们的准确性不足以正确评估潜在的矿物质和骨紊乱。这是来自意大利肾脏病学会和骨质疏松学会的多学科立场文件,旨在重申骨活检在慢性肾脏病患者管理中的作用,并提供强有力的解决方案,以允许该技术在意大利,也可能在其他国家推广。意大利的方法是通过优化和标准化骨活检程序、构建意大利放射科医生网络、请求调整和国家统一向意大利卫生部报销,为实施骨活检和改善慢性肾脏病患者的管理和预后铺平了道路。

https://cdn.ncbi.nlm.nih.gov/pmc/blobs/d0de/9103887/bd9dd68ac3dc/nutrients-14-01742-g001.jpg

文献AI研究员

20分钟写一篇综述,助力文献阅读效率提升50倍。

立即体验

用中文搜PubMed

大模型驱动的PubMed中文搜索引擎

马上搜索

文档翻译

学术文献翻译模型,支持多种主流文档格式。

立即体验